Skip to main content

Key Product Details

Species Reactivity

Validated:

Human, Mouse

Cited:

Human, Mouse, Rat

Applications

Validated:

Immunohistochemistry

Cited:

Immunohistochemistry, Immunocytochemistry

Label

Unconjugated

Antibody Source

Monoclonal Rat IgG2A Clone # 883622

Product Specifications

Immunogen

E. coli-derived recombinant mouse Obestatin/Ghrelin prepropeptide
Gly24-Lys117
Accession # Q9EQX0

Specificity

Detects mouse and human Ghrelin/Obestatin prepropeptide in ELISA. Detects human Ghrelin peptides (acylated and de-acylated) in ELISA.

Clonality

Monoclonal

Host

Rat

Isotype

IgG2A

Scientific Data Images for Human/Mouse Ghrelin Antibody

Ghrelin antibody in Mouse Stomach by Immunohistochemistry (IHC-Fr).

Ghrelin in Mouse Stomach.

Ghrelin was detected in immersion fixed frozen sections of mouse stomach using Rat Anti-Human/Mouse Ghrelin Monoclonal Antibody (Catalog # MAB8200) at 10 µg/mL overnight at 4 °C. Tissue was stained using the NorthernLights™ 557-conjugated Anti-Mouse IgG Secondary Antibody (red; Catalog # NL007) and counterstained with DAPI (blue). Specific staining is shown at both 60x magnification (upper panel) and 20x magnification (lower panel). Staining was localized to cytoplasm and gastric endocrine cells, respectively. View our protocol for Fluorescent IHC Staining of Frozen Tissue Sections.
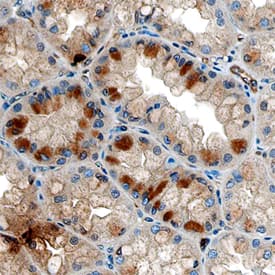
Ghrelin antibody in Human Stomach by Immunohistochemistry (IHC-P).

Ghrelin in Human Stomach.

Ghrelin was detected in immersion fixed paraffin-embedded sections of human stomach using Rat Anti-Human/Mouse Ghrelin Monoclonal Antibody (Catalog # MAB8200) at 15 µg/mL overnight at 4 °C. Tissue was stained using the Anti-Rat HRP-DAB Cell & Tissue Staining Kit (brown; Catalog # CTS017) and counterstained with hematoxylin (blue). Specific staining was localized to glandular epithelial cells. View our protocol for Chromogenic IHC Staining of Paraffin-embedded Tissue Sections.

Applications for Human/Mouse Ghrelin Antibody

Application
Recommended Usage

Immunohistochemistry

8-25 µg/mL
Sample: Immersion fixed frozen sections of mouse stomach and paraffin-embedded sections of human stomach

Formulation, Preparation, and Storage

Purification

Protein A or G purified from hybridoma culture supernatant

Reconstitution

Reconstitute at 0.5 mg/mL in sterile PBS. For liquid material, refer to CoA for concentration.

Reconstitution Buffer Available:
Size / Price
Qty
Loading...

Formulation

Lyophilized from a 0.2 μm filtered solution in PBS with Trehalose. *Small pack size (SP) is supplied either lyophilized or as a 0.2 µm filtered solution in PBS.

Shipping

Lyophilized product is shipped at ambient temperature. Liquid small pack size (-SP) is shipped with polar packs. Upon receipt, store immediately at the temperature recommended below.

Stability & Storage

Use a manual defrost freezer and avoid repeated freeze-thaw cycles.
  • 12 months from date of receipt, -20 to -70 °C as supplied.
  • 1 month, 2 to 8 °C under sterile conditions after reconstitution.
  • 6 months, -20 to -70 °C under sterile conditions after reconstitution.

Background: Ghrelin

GHRL (Ghrelin/Obestatin Prepropeptide) is a 117 aa precursor peptide that is processed into two chains, Ghrelin (aa24-51) and Obestatin (aa76-98).  The 18 kDa prepropeptide is cleaved into proGhrelin, and then further processed into mature Ghrelin by prohormone convertases.  Mature Ghrelin is modified with an N-octanoyl group on serine 3 which is required for receptor binding.  Ghrelin and Obestatin are predominantly synthesized in the gastric mucosa.  Ghrelin plays a role in growth factor release and appetite suppression as well as many other functions in a variety of organs.  Obestatin is a putative hormone that has been suggested to have opposite effects on growth factor release and appetite as Ghrelin. 

Alternate Names

GHRL, Motilin-related Peptide, Protein M46

Entrez Gene IDs

51738 (Human); 58991 (Mouse); 59301 (Rat)

Gene Symbol

GHRL

UniProt

Additional Ghrelin Products

Product Documents for Human/Mouse Ghrelin Antibody

Certificate of Analysis

To download a Certificate of Analysis, please enter a lot number in the search box below.

Note: Certificate of Analysis not available for kit components.

Product Specific Notices for Human/Mouse Ghrelin Antibody

For research use only

Loading...
Loading...
Loading...
Loading...
Loading...