Skip to main content

Key Product Details

Species Reactivity

Human, Mouse

Applications

Immunohistochemistry, Western Blot

Label

Unconjugated

Antibody Source

Polyclonal Sheep IgG

Product Specifications

Immunogen

E. coli-derived recombinant human EMX2
Asn49-Ser143
Accession # Q04743

Specificity

Detects human EMX2 in Western blots.

Clonality

Polyclonal

Host

Sheep

Isotype

IgG

Scientific Data Images for Human/Mouse EMX2 Antibody

Detection of Human and Mouse EMX2 antibody by Western Blot.

Detection of Human and Mouse EMX2 by Western Blot.

Western blot shows lysates of HepG2 human hepatocellular carcinoma cell line and NIH-3T3 mouse embryonic fibroblast cell line. PVDF Membrane was probed with 1 µg/mL of Human EMX2 Antigen Affinity-purified Polyclonal Antibody (Catalog # AF6470) followed by HRP-conjugated Anti-Sheep IgG Secondary Antibody (HAF016). A specific band was detected for EMX2 at approximately 33 kDa (as indicated). This experiment was conducted under reducing conditions and using Immunoblot Buffer Group 1.

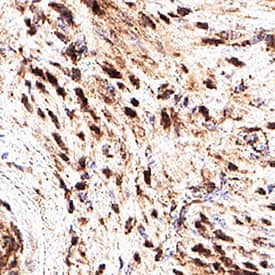
Detection of EMX2 in Uterus.

EMX2 was detected in immersion fixed paraffin-embedded sections of uterus using Sheep Anti-Human/Mouse EMX2 Antigen Affinity-purified Polyclonal Antibody (Catalog # AF6470) at 1 µg/ml overnight at 4 °C. Before incubation with the primary antibody, tissue was subjected to heat-induced epitope retrieval using VisUCyte Antigen Retrieval Reagent-Basic (Catalog # VCTS021). Tissue was stained using the Anti-Sheep HRP-DAB Cell & Tissue Staining Kit (brown; Catalog # CTS019) and counterstained with hematoxylin (blue). Specific staining was localized to nucleus. View our protocol for Chromogenic IHC Staining of Paraffin-embedded Tissue Sections.

Applications for Human/Mouse EMX2 Antibody

Application
Recommended Usage

Immunohistochemistry

5-15 µg/mL
Sample:

Immersion fixed paraffin-embedded sections of uterus

Western Blot

1 µg/mL
Sample: HepG2 human hepatocellular carcinoma cell line and NIH‑3T3 mouse embryonic fibroblast cell line

Formulation, Preparation, and Storage

Purification

Antigen Affinity-purified

Reconstitution

Sterile PBS to a final concentration of 0.2 mg/mL. For liquid material, refer to CoA for concentration.

Reconstitution Buffer Available:
Size / Price
Qty
Loading...

Formulation

Lyophilized from a 0.2 μm filtered solution in PBS with Trehalose. *Small pack size (SP) is supplied either lyophilized or as a 0.2 µm filtered solution in PBS.

Shipping

Lyophilized product is shipped at ambient temperature. Liquid small pack size (-SP) is shipped with polar packs. Upon receipt, store immediately at the temperature recommended below.

Stability & Storage

Use a manual defrost freezer and avoid repeated freeze-thaw cycles.
  • 12 months from date of receipt, -20 to -70 °C as supplied.
  • 1 month, 2 to 8 °C under sterile conditions after reconstitution.
  • 6 months, -20 to -70 °C under sterile conditions after reconstitution.

Background: EMX2

EMX-2 (also Empty spiracles homolog 2) is a 30-33 kDa member of the EMX homeobox family of molecules. It is expressed in embryonic neural stem and progenitor cells, and promotes their commitment to a neuronal phenotype. In a more global sense, it also promotes the formation of networks that favor visual sensation. In the adult, EMX-2 is found in neural stem cells where it acts to maintain a pool of available stem cells. Human EMX-2 is 252 amino acids (aa) in length. It contains one poly-Ala region (aa 54-59) and a DNA-binding homeobox domain (aa 154-213). There is one potential splice variant that shows a 33 aa substitution for aa 137-252. Over aa 59-143, human EMX-2 shares 98% aa identity with mouse EMX-2.

Long Name

Empty Spiracles Homeobox 2

Alternate Names

empty spiracles homeobox 2, Empty spiracles homolog 2, empty spiracles homolog 2 (Drosophila), Empty spiracles-like protein 2, homeobox protein EMX2

Entrez Gene IDs

2018 (Human); 13797 (Mouse); 499380 (Rat)

Gene Symbol

EMX2

UniProt

Additional EMX2 Products

Product Documents for Human/Mouse EMX2 Antibody

Certificate of Analysis

To download a Certificate of Analysis, please enter a lot number in the search box below.

Note: Certificate of Analysis not available for kit components.

Product Specific Notices for Human/Mouse EMX2 Antibody

For research use only

Loading...
Loading...
Loading...
Loading...