Skip to main content

Human/Mouse/Bovine Insulin Antibody

R&D Systems, part of Bio-Techne | Catalog # MAB1417

R&D Systems, part of Bio-Techne
Catalog #
Availability
Size / Price
Qty
Loading...
MAB1417
MAB1417-SP

Key Product Details

Species Reactivity

Validated:

Human, Mouse, Bovine

Cited:

Mouse, Transgenic Mouse

Applications

Validated:

Immunohistochemistry, Immunocytochemistry

Cited:

Immunohistochemistry, Immunohistochemistry-Paraffin, Immunohistochemistry-Frozen, Flow Cytometry, Immunocytochemistry

Label

Unconjugated

Antibody Source

Monoclonal Rat IgG2A Clone # 182410

Product Specifications

Immunogen

E. coli-derived recombinant human Insulin

Specificity

Detects bovine, human, and mouse insulin.

Clonality

Monoclonal

Host

Rat

Isotype

IgG2A

Scientific Data Images for Human/Mouse/Bovine Insulin Antibody

Insulin antibody in  betaTC-6 Mouse Cell Line by Immunocytochemistry (ICC).

Insulin in betaTC‑6 Mouse Cell Line.

Insulin was detected in immersion fixed betaTC-6 mouse beta cell insulinoma cell line using Human/Mouse/Bovine Insulin Monoclonal Antibody (Catalog # MAB1417) at 10 µg/mL for 3 hours at room temperature. Cells were stained using the NorthernLights™ 557-conjugated Anti-Rat IgG Secondary Antibody (red; NL013) and counterstained with DAPI (blue). View our protocol for Fluorescent ICC Staining of Cells on Coverslips.

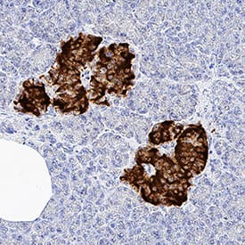
Insulin in Human Pancreas.

Insulin was detected in immersion fixed paraffin-embedded sections of human pancreas using Rat Anti-Human/Mouse/Bovine Insulin Monoclonal Antibody (Catalog # MAB1417) at 0.5 µg/mL for 1 hour at room temperature followed by incubation with the Anti-Rat IgG VisUCyte™ HRP Polymer Antibody (VC005). Before incubation with the primary antibody, tissue was subjected to heat-induced epitope retrieval using Antigen Retrieval Reagent-Basic (CTS013). Tissue was stained using DAB (brown) and counterstained with hematoxylin (blue). Specific staining was localized to cytoplasm and plasma membrane in islet cells. Staining was performed using our protocol for IHC Staining with VisUCyte HRP Polymer Detection Reagents.

Applications for Human/Mouse/Bovine Insulin Antibody

Application
Recommended Usage

Immunocytochemistry

8-25 µg/mL
Sample: Immersion fixed beta TC-6 mouse beta cell insulinoma cell line

Immunohistochemistry

0.5-25 µg/mL
Sample: Immersion fixed paraffin-embedded sections of human pancreas

Formulation, Preparation, and Storage

Purification

Protein A or G purified from hybridoma culture supernatant

Reconstitution

Reconstitute at 0.5 mg/mL in sterile PBS. For liquid material, refer to CoA for concentration.

Reconstitution Buffer Available:
Size / Price
Qty
Loading...

Formulation

Lyophilized from a 0.2 μm filtered solution in PBS with Trehalose. See Certificate of Analysis for details.
*Small pack size (-SP) is supplied either lyophilized or as a 0.2 µm filtered solution in PBS.

Shipping

Lyophilized product is shipped at ambient temperature. Liquid small pack size (-SP) is shipped with polar packs. Upon receipt, store immediately at the temperature recommended below.

Stability & Storage

Use a manual defrost freezer and avoid repeated freeze-thaw cycles.
  • 12 months from date of receipt, -20 to -70 °C as supplied.
  • 1 month, 2 to 8 °C under sterile conditions after reconstitution.
  • 6 months, -20 to -70 °C under sterile conditions after reconstitution.

Background: Insulin

Insulin is a disulfide-linked heterodimeric protein secreted by the pancreatic Islets of Langerhans. Mature insulin is generated by the proteolytic removal of a peptide from proinsulin. It is involved in the regulation of glucose metabolism through interactions with the Insulin Receptor.

Alternate Names

IDDM2, ILPR, INS, IRDN, MODY10

Entrez Gene IDs

3630 (Human); 16333 (Mouse); 397415 (Porcine); 280829 (Bovine); 483665 (Canine)

Gene Symbol

INS

Additional Insulin Products

Product Documents for Human/Mouse/Bovine Insulin Antibody

Certificate of Analysis

To download a Certificate of Analysis, please enter a lot number in the search box below.

Note: Certificate of Analysis not available for kit components.

Product Specific Notices for Human/Mouse/Bovine Insulin Antibody

For research use only

Loading...
Loading...
Loading...
Loading...