Skip to main content

Key Product Details

Species Reactivity

Validated:

Human, Mouse

Cited:

Human, Mouse

Applications

Validated:

Immunohistochemistry, Western Blot, Simple Western, Immunoprecipitation

Cited:

Immunohistochemistry-Paraffin, Western Blot, Bioassay

Label

Unconjugated

Antibody Source

Polyclonal Goat IgG

Product Specifications

Immunogen

E. coli-derived recombinant mouse Bcl-2

Specificity

Detects human and mouse Bcl-2 in Western blots.

Clonality

Polyclonal

Host

Goat

Isotype

IgG

Scientific Data Images for Human/Mouse Bcl-2 Antibody

Detection of Human/Mouse Bcl-2 antibody by Western Blot.

Detection of Human/Mouse Bcl‑2 by Western Blot.

Western blot shows lysates of KG-1 human myeloid leukemia cell line and M-NFS-60 mouse myelogenous leukemia lymphoblast cell line. PVDF membrane was probed with 1 µg/mL of Goat Anti-Human/Mouse Bcl-2 Antigen Affinity-purified Polyclonal Antibody (Catalog # AF810) followed by HRP-conjugated Anti-Goat IgG Secondary Antibody (Catalog # HAF017). A specific band was detected for Bcl-2, at approximately 25 kDa (as indicated). This experiment was conducted under reducing conditions and using Immunoblot Buffer Group 2.
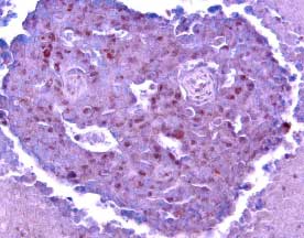
Bcl-2 antibody in Human Breast Cancer Tissue by Immunohistochemistry (IHC-P).

Bcl-2 in Human Breast Cancer Tissue.

Bcl‑2 was detected in immersion fixed paraffin-embedded sections of human breast cancer tissue using 15 µg/mL Goat Anti-Human/ Mouse Bcl‑2 Antigen Affinity-purified Polyclonal Antibody (Catalog # AF810) overnight at 4 °C. Tissue was stained (red) and counterstained with hematoxylin (blue). View our protocol for Chromogenic IHC Staining of Paraffin-embedded Tissue Sections.
Immunoprecipitation of Mouse Bcl‑2.

Immunoprecipitation of Mouse Bcl‑2.

Bcl‑2 was immunoprecipitated from lysates (3 x 106cells) of M‑NFS‑60 mouse myelogenous leukemia lymphoblast cell line following incubation with 3 µg Goat Anti-Human/Mouse Bcl‑2 Antigen Affinity-purified Polyclonal Antibody (Catalog # AF810) for 1 hour at 4 °C. Bcl‑2-antibody complexes were absorbed using Protein G (Sigma). Immunoprecipitated Bcl‑2 was detected by Western blot using 1 µg/mL Goat Anti-Human/Mouse Bcl‑2 Antigen Affinity-purified Polyclonal Antibody (Catalog # AF810). View our recommended buffer recipes for immunoprecipitation.

Applications for Human/Mouse Bcl-2 Antibody

Application
Recommended Usage

Immunohistochemistry

5-15 µg/mL
Sample: Immersion fixed paraffin-embedded sections of human breast cancer tissue

Immunoprecipitation

1 µg/106 cells
Sample: M-NFS-60 mouse myelogenous luekemia lymphoblast cell line, see our available Western blot detection antibodies

Simple Western

50 µg/mL
Sample: KG‑1 human acute myelogenous leukemia cell line

Western Blot

1 µg/mL
Sample: KG‑1 human myeloid leukemia cell line and M‑NFS‑60 mouse myelogenous leukemia lymphoblast cell line

Reviewed Applications

Read 2 reviews rated 5 using AF810 in the following applications:

Formulation, Preparation, and Storage

Purification

Antigen Affinity-purified

Reconstitution

Reconstitute at 0.2 mg/mL in sterile PBS. For liquid material, refer to CoA for concentration.

Reconstitution Buffer Available:
Size / Price
Qty
Loading...

Formulation

Lyophilized from a 0.2 μm filtered solution in PBS with Trehalose. *Small pack size (SP) is supplied either lyophilized or as a 0.2 µm filtered solution in PBS.

Shipping

Lyophilized product is shipped at ambient temperature. Liquid small pack size (-SP) is shipped with polar packs. Upon receipt, store immediately at the temperature recommended below.

Stability & Storage

Use a manual defrost freezer and avoid repeated freeze-thaw cycles.
  • 12 months from date of receipt, -20 to -70 °C as supplied.
  • 1 month, 2 to 8 °C under sterile conditions after reconstitution.
  • 6 months, -20 to -70 °C under sterile conditions after reconstitution.

Background: Bcl-2

Bcl-2 is a member of a family of proteins that regulates outer mitochondrial membrane permeability (1, 2). Bcl-2 is an anti-apoptotic member that prevents release of cytochrome c from the mitochondria intermembrane space into the cytosol. Bcl-2 is present on the outer mitochondrial membrane and is also found on other membranes in some cell types. Natural Bcl-2 contains a carboxyl-terminal mitochondria targeting sequence. Recombinant Bcl-2, missing the mitochondrial targeting sequence, maintains its ability to neutralize pro-apoptotic Bcl-2 family members. Neutralization by Bcl-2 appears to be through binding the BH3 region of pro-apoptotic Bcl-2 family members. This activity does not require the mitochondrial targeting sequence.

 

References

  1. Gross, A. et al. (1999) Genes and Develop. 13:1899.
  2. Kroemer, G. (1997) Nature Med. 3:614.

Long Name

B Cell Lymphoma/Leukemia 2

Alternate Names

Bcl2

Entrez Gene IDs

596 (Human); 12043 (Mouse); 24224 (Rat)

Gene Symbol

BCL2

Additional Bcl-2 Products

Product Documents for Human/Mouse Bcl-2 Antibody

Certificate of Analysis

To download a Certificate of Analysis, please enter a lot number in the search box below.

Note: Certificate of Analysis not available for kit components.

Product Specific Notices for Human/Mouse Bcl-2 Antibody

For research use only

Loading...
Loading...
Loading...
Loading...