Skip to main content

Key Product Details

Species Reactivity

Validated:

Human, Mouse

Cited:

Human, Mouse

Applications

Validated:

Immunohistochemistry, ELISA Capture (Matched Antibody Pair)

Cited:

Immunohistochemistry, Immunohistochemistry-Paraffin, Western Blot, Immunocytochemistry, ELISA Capture

Label

Unconjugated

Antibody Source

Monoclonal Mouse IgG2A Clone # 85816

Product Specifications

Immunogen

Mouse myeloma cell line NS0-derived recombinant human Angiopoietin-2
Asp68-Phe496
Accession # O15123

Specificity

Detects human and mouse Angiopoietin-2 in ELISAs. In ELISAs, no cross-reactivity or interference with recombinant human (rh) Ang‑1, rhAng-4, rhAng-X, recombinant mouse (rm) Ang-3, rmANGPTL-3, rhTie-1, rhTie-2, and rmTie-2 is observed.

Clonality

Monoclonal

Host

Mouse

Isotype

IgG2A

Scientific Data Images for Human/Mouse Angiopoietin-2 Antibody

Angiopoietin-2 antibody in Human Hepatocellular Carcinoma Tissue by Immunohistochemistry (IHC-P).

Angiopoietin‑2 in Human Hepatocellular Carcinoma Tissue.

Angiopoietin-2 was detected in immersion fixed paraffin-embedded sections of human hepatocellular carcinoma tissue (right panel; positive stain) using Mouse Anti-Human/Mouse Angiopoietin-2 Monoclonal Antibody (Catalog # MAB098) at 5 µg/mL for 1 hour at room temperature followed by incubation with the Anti-Mouse IgG VisUCyte™ HRP Polymer Antibody (Catalog # VC001). Before incubation with the primary antibody, tissue was subjected to heat-induced epitope retrieval using Antigen Retrieval Reagent-Basic (Catalog # CTS013). Tissue was stained using DAB (brown) and counterstained with hematoxylin (blue). Specific staining was localized to secreted and plasma membrane. View our protocol for IHC Staining with VisUCyte HRP Polymer Detection Reagents.
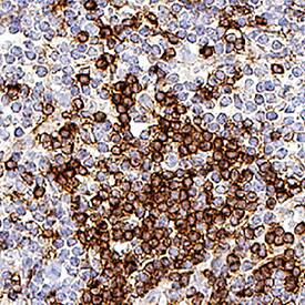
Angiopoietin-2 antibody in Mouse Lymph Node Tissue by Immunohistochemistry (IHC-Fr).

Angiopoietin-2 in Mouse Lymph Node Tissue.

Angiopoietin-2 was detected in perfusion fixed frozen sections of mouse lymph node tissue using Mouse Anti-Human/Mouse Angiopoietin-2 Monoclonal Antibody (Catalog # MAB098) at 1 µg/mL overnight at 4 °C. Before incubation with the primary antibody, tissue was subjected to heat-induced epitope retrieval using Antigen Retrieval Reagent-Basic (Catalog # CTS013). Tissue was stained using the Anti-Mouse IgG VisUCyte™ HRP Polymer Antibody (brown; Catalog # VC001) and counterstained with hematoxylin (blue). Specific staining was localized to cell membrane. View our protocol for IHC Staining with VisUCyte HRP Polymer Detection Reagents.
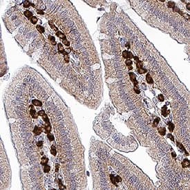
Angiopoietin-2 antibody in Mouse Colon Tissue by Immunohistochemistry (IHC-Fr).

Angiopoietin-2 in Mouse Colon Tissue.

Angiopoietin-2 was detected in perfusion fixed frozen sections of mouse colon tissue using Mouse Anti-Human/Mouse Angiopoietin-2 Monoclonal Antibody (Catalog # MAB098) at 1 µg/mL overnight at 4 °C. Before incubation with the primary antibody, tissue was subjected to heat-induced epitope retrieval using Antigen Retrieval Reagent-Basic (Catalog # CTS013). Tissue was stained using the Anti-Mouse IgG VisUCyte™ HRP Polymer Antibody (brown; Catalog # VC001) and counterstained with hematoxylin (blue). Specific staining was localized to lymphocytes in colon mucosa. View our protocol for IHC Staining with VisUCyte HRP Polymer Detection Reagents.

Applications for Human/Mouse Angiopoietin-2 Antibody

Application
Recommended Usage

Immunohistochemistry

1-25 µg/mL
Sample: Immersion fixed paraffin-embedded sections of human hepatocellular carcinoma tissue, perfusion fixed frozen sections of mouse lymph node tissue, and perfusion fixed frozen sections of mouse colon tissue

Human Angiopoietin-2 Sandwich Immunoassay

ELISA Capture (Matched Antibody Pair)
Recommended Concentration: 2-8 µg/mL
Use in combination with these reagents:
  • Detection Reagent: Human Angiopoietin‑2 Biotinylated Antibody (Catalog # BAM0981)
  • Standard: Recombinant Human Angiopoietin-2 Protein (Catalog # 623-AN)
Please Note: Optimal dilutions of this antibody should be experimentally determined.

Reviewed Applications

Read 6 reviews rated 4.3 using MAB098 in the following applications:

Formulation, Preparation, and Storage

Purification

Protein A or G purified from hybridoma culture supernatant

Reconstitution

Reconstitute at 0.5 mg/mL in sterile PBS. For liquid material, refer to CoA for concentration.

Reconstitution Buffer Available:
Size / Price
Qty
Loading...

Formulation

Lyophilized from a 0.2 μm filtered solution in PBS with Trehalose. *Small pack size (SP) is supplied either lyophilized or as a 0.2 µm filtered solution in PBS.

Shipping

Lyophilized product is shipped at ambient temperature. Liquid small pack size (-SP) is shipped with polar packs. Upon receipt, store immediately at the temperature recommended below.

Stability & Storage

Use a manual defrost freezer and avoid repeated freeze-thaw cycles.
  • 12 months from date of receipt, -20 to -70 °C as supplied.
  • 1 month, 2 to 8 °C under sterile conditions after reconstitution.
  • 6 months, -20 to -70 °C under sterile conditions after reconstitution.

Background: Angiopoietin-2

Angiopoietin-2 (Ang-2; also ANGPT2) is a secreted glycoprotein that plays a complex role in angiogenesis and inflammation (1, 2). Mature Ang-2 is 478 amino acids (aa) in length. It contains one coiled-coil domain (aa 166 - 248) that mediates multimerization, and a C-terminal fibrinogen-like domain (aa 275 - 495) that mediates receptor binding. Under reducing conditions, secreted monomeric Ang-2 is 65 - 66 kDa in size. Under nonreducing conditions, both natural and recombinant Ang-2 form 140 kDa dimers, 200 kDa trimers, and 250 - 300 kDa tetramers and pentamers (3 - 6). Alternate splicing generates a short isoform that lacks 52 amino acids (aa) preceding the coiled-coil domain (4). Mature human Ang-2 shares 86% aa sequence identity with mouse and rat Ang-2. Ang-2 is widely expressed during development, but it is restricted postnatally to highly angiogenic tissues such as the placenta, ovaries, and uterus (3). It is particularly abundant in vascular endothelial cells (EC) where it is stored in intracellular Weibel-Palade bodies (1, 3, 7). Both Ang-2 and the related Angiopoietin-1 (Ang-1) are ligands for the receptor tyrosine kinase Tie-2 (2). While Ang-1 is a potent Tie-2 agonist, Ang-2 may act as either a Tie-2 antagonist or agonist, depending upon its state of multimerization. The higher the order of oligomer, the more effective Ang-2 becomes as a Tie-2 agonist (3, 8 - 11). The short isoform appears to block the binding of either Ang-1 or full-length Ang-2 to Tie-2 (4). Ang-2 functions as a pro-angiogenic factor, although it can also induce EC death and vessel regression (12, 13). Upon its release from quiescent EC, it regulates vascular remodeling by promoting EC survival, proliferation, and migration and destabilizing the interaction between EC and perivascular cells (8, 13, 14). Ang-2 is required for postnatal vascular remodeling, and it cooperates with Ang-1 during lymphatic vessel development (7, 15). It mediates the upregulation of ICAM-1 and VCAM-1 on EC, which facilitates the adhesion of leukocytes during inflammation (16). Ang-2 is upregulated in both the endothelium and tumor cells of several cancers as well as in ischemic tissue (17 - 20). Its direct interaction with Integrins promotes tumor cell invasion (21, 22). Ang-2 also promotes the neuronal differentiation and migration of subventricular zone progenitor cells (20).

References

  1. Augustin, H.G. et al. (2009) Nat. Rev. Mol. Cell Biol. 10:165.
  2. Murdoch, C. et al. (2007) J. Immunol. 178:7405.
  3. Maisonpierre, P.C. et al. (1997) Science 27:55.
  4. Kim, I. et al. (2000) J. Biol. Chem. 275:18550.
  5. Procopio, W.N. et al. (1999) J. Biol. Chem. 274:30196.
  6. Kim, K-T. et al. (2005) J. Biol. Chem. 280:20126.
  7. Gale, N.W. et al. (2002) Dev. Cell 3:411.
  8. Yuan, H.T. et al. (2009) Mol. Cell. Biol. 29:2011.
  9. Falcon, B.L. et al. (2009) Am. J. Pathol. 175:2159.
  10. Kim, H-Z. et al. (2009) Biochim. Biophys. Acta 1793:772.
  11. Kim, I. et al. (2001) Cardiovasc. Res. 49:872.
  12. Lobov, I.B. et al. (2002) Proc. Natl. Acad. Sci. 99:11205.
  13. Cao, Y. et al. (2007) Cancer Res. 67:3835.
  14. Nasarre, P. et al. (2009) Cancer Res. 69:1324.
  15. Dellinger, M. et al. (2008) Dev. Biol. 319:309.
  16. Fiedler, U. et al. (2006) Nat. Med. 12:235.
  17. Koga, K. et al. (2001) Cancer Res. 61:6248.
  18. Etoh, T. et al. (2001) Cancer Res. 61:2145.
  19. Tressel, S.L. et al. (2008) Arterioscler. Thromb. Vasc. Biol. 28:1989.
  20. Liu, X.S. et al. (2009) J. Biol. Chem. 284:22680.
  21. Hu, B. et al. (2006) Cancer Res. 66:775.
  22. Imanishi, Y. et al. (2007) Cancer Res. 67:4254.

Alternate Names

ANGPT2

Entrez Gene IDs

285 (Human); 11601 (Mouse); 89805 (Rat); 396730 (Porcine); 101925495 (Cynomolgus Monkey)

Gene Symbol

ANGPT2

UniProt

Additional Angiopoietin-2 Products

Product Documents for Human/Mouse Angiopoietin-2 Antibody

Certificate of Analysis

To download a Certificate of Analysis, please enter a lot number in the search box below.

Note: Certificate of Analysis not available for kit components.

Product Specific Notices for Human/Mouse Angiopoietin-2 Antibody

For research use only

Loading...
Loading...
Loading...
Loading...