Skip to main content

Key Product Details

Species Reactivity

Validated:

Human

Cited:

Human, Rabbit

Applications

Validated:

Immunohistochemistry, Western Blot, Immunoprecipitation

Cited:

Immunohistochemistry, Western Blot, ELISA Development

Label

Unconjugated

Antibody Source

Polyclonal Goat IgG

Product Specifications

Immunogen

Mouse myeloma cell line NS0-derived recombinant human MMP-13
Leu20-Cys471
Accession # P45452

Specificity

Detects human MMP-13 in Western blots. In direct ELISAs, less than 5% cross-reactivity with recombinant human (rh) MMP-3 and rhMMP-8 is observed.

Clonality

Polyclonal

Host

Goat

Isotype

IgG

Scientific Data Images for Human MMP-13 Antibody

MMP-13 antibody in Human Ovarian Cancer Tissue by Immunohistochemistry (IHC-P).

MMP-13 in Human Ovarian Cancer Tissue.

MMP-13 was detected in immersion fixed paraffin-embedded sections of human ovarian cancer tissue using 15 µg/mL Goat Anti-Human MMP-13 Antigen Affinity-purified Polyclonal Antibody (Catalog # AF511) overnight at 4 °C. Tissue was stained with the Anti-Goat HRP-DAB Cell & Tissue Staining Kit (brown; Catalog # CTS008) and counterstained with hematoxylin (blue). View our protocol for Chromogenic IHC Staining of Paraffin-embedded Tissue Sections.
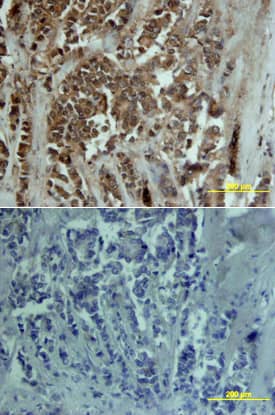
MMP-13 antibody in Human Breast by Immunohistochemistry (IHC-P).

MMP‑13 in Human Breast.

MMP-13 was detected in immersion fixed paraffin-embedded sections of human breast array using Goat Anti-Human MMP-13 Antigen Affinity-purified Polyclonal Antibody (Catalog # AF511) at 15 µg/mL overnight at 4 °C. Tissue was stained using the Anti-Goat HRP-DAB Cell & Tissue Staining Kit (brown; Catalog # CTS008) and counterstained with hematoxylin (blue). Lower panel shows a lack of labeling if primary antibodies are omitted and tissue is stained only with secondary antibody followed by incubation with detection reagents. View our protocol for Chromogenic IHC Staining of Paraffin-embedded Tissue Sections.
Detection of MMP-13 by Western Blot

Detection of MMP-13 by Western Blot

HS6ST2 could regulate the matrix degradation depending on the activity of p38 Malka SW1353 cells were transfected by si-HS6ST2 or negative control (si-NC) with or without TNF-alpha for 24 h, and the protein expression of p-p38 and p38 was detected by western blotting. Asterisk (*): compared with the si-NC group. b Under stimulation with TNF-alpha, SW1353 cells were transfected by empty vector (FLAG-Ctrl) or pcDNA3.1-FLAG-HS6ST2 vector (FLAG-HS6ST2) under treatment with mimic miR-23b-3p, and p-p38 and total p38 were determined by western blotting. Asterisk (*): compared with the mimic NC group. c SW1353 cells were transfected with HS6ST2 siRNA with or without p38 MAPK inhibitor SB203580 (10 μM) after treatment of TNF-alpha, and the protein expression of MMP13 was determined by western blotting. Each relative expression of phosphorylation form was normalized by the total form. d Schematic representation of miR-23b-3p–HS6ST2 axis-mediated catabolic effects in human chondrocyte. GAPDH was used as internal controls in western blotting detection. Mann–Whitney U test was used to identify statistical differences between two groups. Asterisk (*) or hash (#) stands for P value <0.05. NS stands for not significant Image collected and cropped by CiteAb from the following open publication (https://pubmed.ncbi.nlm.nih.gov/29899528), licensed under a CC-BY license. Not internally tested by R&D Systems.

Applications for Human MMP-13 Antibody

Application
Recommended Usage

Immunohistochemistry

5-15 µg/mL
Sample: Immersion fixed paraffin-embedded sections of human ovarian cancer tissue and human breast array

Immunoprecipitation

25 µg/mL
Sample: Conditioned cell culture medium spiked with Recombinant Human MMP‑13 (Catalog # 511‑MM), see our available Western blot detection antibodies

Western Blot

0.1 µg/mL
Sample: Recombinant Human MMP-13 Western Blot Standard (Catalog # WBC020)

Reviewed Applications

Read 3 reviews rated 4 using AF511 in the following applications:

Formulation, Preparation, and Storage

Purification

Antigen Affinity-purified

Reconstitution

Reconstitute at 0.2 mg/mL in sterile PBS. For liquid material, refer to CoA for concentration.

Reconstitution Buffer Available:
Size / Price
Qty
Loading...

Formulation

Lyophilized from a 0.2 μm filtered solution in PBS with Trehalose. *Small pack size (SP) is supplied either lyophilized or as a 0.2 µm filtered solution in PBS.

Shipping

Lyophilized product is shipped at ambient temperature. Liquid small pack size (-SP) is shipped with polar packs. Upon receipt, store immediately at the temperature recommended below.

Stability & Storage

Use a manual defrost freezer and avoid repeated freeze-thaw cycles.
  • 12 months from date of receipt, -20 to -70 °C as supplied.
  • 1 month, 2 to 8 °C under sterile conditions after reconstitution.
  • 6 months, -20 to -70 °C under sterile conditions after reconstitution.

Background: MMP-13

Matrix metalloproteinases are a family of zinc and calcium dependent endopeptidases with the combined ability to degrade all the components of the extracellular matrix. MMP-13 (Collagenase-3) has been demonstrated to degrade a range of extracellular matrix proteins, including collagen types I, II, III, IV, IX, X and XIV, gelatin, aggrecan, perlecan and fibronectin. MMP-13 is distinguished from the other human collagenases by its effecient degradation of type II collagen. MMP-13 is expressed by fibroblasts, chrondrocytes and squamous epithelial cells. Structurally, MMP-13 may be divided into several distinct domains; a pro-domain which is cleaved upon activation; a catalytic domain containing the zinc binding site; a short hinge region and a carboxyl terminal (hemopexin-like) domain.

References

  1. Jeffery, J.J. (1998) in Collagenase 3. A.J. Barrett, et al. (eds): Handbook of Proteolytic Enzymes, San Diego: Academic Press, p. 1167.

Long Name

Matrix Metalloproteinase 13

Alternate Names

MMP13

Entrez Gene IDs

4322 (Human)

Gene Symbol

MMP13

UniProt

Additional MMP-13 Products

Product Documents for Human MMP-13 Antibody

Certificate of Analysis

To download a Certificate of Analysis, please enter a lot number in the search box below.

Note: Certificate of Analysis not available for kit components.

Product Specific Notices for Human MMP-13 Antibody

For research use only

Loading...
Loading...
Loading...
Loading...