Skip to main content

Human MICA/B Antibody

R&D Systems, part of Bio-Techne | Catalog # MAB13001

R&D Systems, part of Bio-Techne
Catalog #
Availability
Size / Price
Qty
Loading...
MAB13001-100
MAB13001-500
MAB13001-SP

Key Product Details

Species Reactivity

Validated:

Human

Cited:

Human

Applications

Validated:

Immunohistochemistry, Blockade of Receptor-ligand Interaction, Flow Cytometry, CyTOF-ready

Cited:

Immunohistochemistry, Western Blot, Neutralization, Flow Cytometry, Immunocytochemistry, Immunoprecipitation

Label

Unconjugated

Antibody Source

Monoclonal Mouse IgG2A Clone # 159207

Product Specifications

Immunogen

BaF3 mouse pro-B cell line transfected with human MICA
Accession # Q29983

Specificity

Detects human MICA/B in direct ELISAs.

Clonality

Monoclonal

Host

Mouse

Isotype

IgG2A

Endotoxin Level

<0.10 EU per 1 μg of the antibody by the LAL method.

Scientific Data Images for Human MICA/B Antibody

Detection of MICA/B antibody in K562 Human Cell Line antibody by Flow Cytometry.

Detection of MICA/B in K562 Human Cell Line by Flow Cytometry.

K562 human chronic myelogenous leukemia cell line was stained with Mouse Anti-Human MICA/B Monoclonal Antibody (Catalog # MAB13001, filled histogram) or isotype control antibody (Catalog # MAB003, open histogram), followed by Phycoerythrin-conjugated Anti-Mouse IgG Secondary Antibody (Catalog # F0102B). View our protocol for Staining Membrane-associated Proteins.
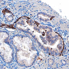
MICA/B antibody in Human Pancreas by Immunohistochemistry (IHC-P).

MICA/B in Human Pancreas.

MICA/B was detected in immersion fixed paraffin-embedded sections of human pancreas using Mouse Anti-Human MICA/B Monoclonal Antibody (Catalog # MAB13001) at 15 µg/mL overnight at 4 °C. Before incubation with the primary antibody, tissue was subjected to heat-induced epitope retrieval using Antigen Retrieval Reagent-Basic (Catalog # CTS013). Tissue was stained using the Anti-Mouse HRP-DAB Cell & Tissue Staining Kit (brown; Catalog # CTS002) and counterstained with hematoxylin (blue). Specific staining was localized to exocrine cells. View our protocol for Chromogenic IHC Staining of Paraffin-embedded Tissue Sections.

Applications for Human MICA/B Antibody

Application
Recommended Usage

Blockade of Receptor-ligand Interaction

In a functional ELISA, 0.03-0.1 µg/mL of this antibody will block 50% of the binding of 50 ng/mL of Recombinant Biotinylated Human MICA Fc Chimera to immobilized Recombinant Human NKG2D Fc Chimera (Catalog # 1299‑NK) coated at 2 µg/mL (100 µL/well). At 0.4 μg/mL, this antibody will block >90% of the binding.

CyTOF-ready

Ready to be labeled using established conjugation methods. No BSA or other carrier proteins that could interfere with conjugation.

Flow Cytometry

0.25 µg/106 cells
Sample: K562 human chronic myelogenous leukemia cell line

Immunohistochemistry

8-25 µg/mL
Sample: Immersion fixed paraffin-embedded sections of human pancreas

Formulation, Preparation, and Storage

Purification

Protein A or G purified from hybridoma culture supernatant

Reconstitution

Reconstitute at 0.5 mg/mL in sterile PBS. For liquid material, refer to CoA for concentration.

Reconstitution Buffer Available:
Size / Price
Qty
Loading...

Formulation

Lyophilized from a 0.2 μm filtered solution in PBS with Trehalose. *Small pack size (SP) is supplied either lyophilized or as a 0.2 µm filtered solution in PBS.

Shipping

Lyophilized product is shipped at ambient temperature. Liquid small pack size (-SP) is shipped with polar packs. Upon receipt, store immediately at the temperature recommended below.

Stability & Storage

Use a manual defrost freezer and avoid repeated freeze-thaw cycles.
  • 12 months from date of receipt, -20 to -70 °C as supplied.
  • 1 month, 2 to 8 °C under sterile conditions after reconstitution.
  • 6 months, -20 to -70 °C under sterile conditions after reconstitution.

Background: MICA/B

MICA and MICB are stress-induced type I transmembrane proteins that function as ligands for NKG2D. They are distantly related to MHC class I proteins and are expressed on epithelial tumors and in response to infections.

Long Name

MHC Class I-related Protein A and B

Alternate Names

MHC class I chain-related protein A, MHC class I chain-related protein B, MIC, MICA, MICB, PERB11, PERB11.1, PERB11.2

Entrez Gene IDs

4276 (Human)

Gene Symbol

MICA

UniProt

Additional MICA/B Products

Product Documents for Human MICA/B Antibody

Certificate of Analysis

To download a Certificate of Analysis, please enter a lot number in the search box below.

Note: Certificate of Analysis not available for kit components.

Product Specific Notices for Human MICA/B Antibody

For research use only

Loading...
Loading...
Loading...
Loading...
Loading...