Skip to main content

Key Product Details

Species Reactivity

Human

Applications

Immunohistochemistry, Western Blot

Label

Unconjugated

Antibody Source

Polyclonal Sheep IgG

Product Specifications

Immunogen

E. coli-derived recombinant human MERIT40
Asn182-Val329
Accession # Q9NWV8

Specificity

Detects human MERIT40 in Western blots.

Clonality

Polyclonal

Host

Sheep

Isotype

IgG

Scientific Data Images for Human MERIT40 Antibody

Detection of Human MERIT40 antibody by Western Blot.

Detection of Human MERIT40 by Western Blot.

Western blot shows lysates of Jurkat human acute T cell leukemia cell line. Gel was loaded with 20 µg of cytoplasmic (Cyto) and 10 µg of nuclear extracts (Nuc). PVDF Membrane was probed with 1 µg/mL of Human MERIT40 Antigen Affinity-purified Polyclonal Antibody (Catalog # AF6604) followed by HRP-conjugated Anti-Sheep IgG Secondary Antibody (Catalog # HAF016). A specific band was detected for MERIT40 at approximately 40 kDa (as indicated). This experiment was conducted under reducing conditions and using Immunoblot Buffer Group 1.
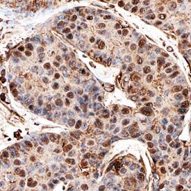
MERIT40 antibody in Human Breast Cancer Tissue by Immunohistochemistry (IHC-P).

MERIT40 in Human Breast Cancer Tissue.

MERIT40 was detected in immersion fixed paraffin-embedded sections of human breast cancer tissue using Human MERIT40 Antigen Affinity-purified Polyclonal Antibody (Catalog # AF6604) at 10 µg/mL overnight at 4 °C. Before incubation with the primary antibody, tissue was subjected to heat-induced epitope retrieval using Antigen Retrieval Reagent-Basic (Catalog # CTS013). Tissue was stained using the Anti-Sheep HRP-DAB Cell & Tissue Staining Kit (brown; Catalog # CTS019) and counterstained with hematoxylin (blue). Specific staining was localized to glandular epithelial cells. View our protocol for Chromogenic IHC Staining of Paraffin-embedded Tissue Sections.

Applications for Human MERIT40 Antibody

Application
Recommended Usage

Immunohistochemistry

5-15 µg/mL
Sample: Immersion fixed paraffin-embedded sections of human breast cancer tissue

Western Blot

1 µg/mL
Sample: HeLa human cervical epithelial carcinoma cell line and Jurkat human acute T cell leukemia cell line

Formulation, Preparation, and Storage

Purification

Antigen Affinity-purified

Reconstitution

Sterile PBS to a final concentration of 0.2 mg/mL. For liquid material, refer to CoA for concentration.

Reconstitution Buffer Available:
Size / Price
Qty
Loading...

Formulation

Lyophilized from a 0.2 μm filtered solution in PBS with Trehalose. *Small pack size (SP) is supplied either lyophilized or as a 0.2 µm filtered solution in PBS.

Shipping

Lyophilized product is shipped at ambient temperature. Liquid small pack size (-SP) is shipped with polar packs. Upon receipt, store immediately at the temperature recommended below.

Stability & Storage

Use a manual defrost freezer and avoid repeated freeze-thaw cycles.
  • 12 months from date of receipt, -20 to -70 °C as supplied.
  • 1 month, 2 to 8 °C under sterile conditions after reconstitution.
  • 6 months, -20 to -70 °C under sterile conditions after reconstitution.

Background: MERIT40

MERIT40 (MEdiator of Rap80 Interactions and Targeting subunit of 40 kDa; also NBA1 and c19orf62 and HSPC142) is a 40 kDa member of the MERIT40 family of proteins. It is ubiquitously expressed, and participates in the DNA damage response. At sites of double strand breaks, histones are phosphorylated, ubiquitinated, and deubiquitinated, with repairs performed by a sequentially formed complex that contains BRCA1, Rap80 and BRE. MERIT40 apparently serves as a scaffold protein that maintains the integrity of the complex. Human MERIT40 is 329 amino acids (aa) in length. It contains one VWF-A domain (aa 95-298) and six utilized Ser/Thr phosphorylation sites. There are three potential splice variants. One shows a 13 aa substitution for aa 234-329, a second possesses a 105 aa substitution for aa 263‑329, while a third shows a 37 aa substitution for aa 1-115, coupled to a deletion of aa 263-329. Over aa 182-329, human MERIT40 shares 95% aa identity with mouse MERIT40.

Long Name

Mediator of RAP80 Interactions and Targeting Subunit of 40 kDa

Alternate Names

BABAM1, C19orf62, HSPC142, NBA1

Entrez Gene IDs

29086 (Human); 68251 (Mouse); 290631 (Rat)

Gene Symbol

BABAM1

UniProt

Additional MERIT40 Products

Product Documents for Human MERIT40 Antibody

Certificate of Analysis

To download a Certificate of Analysis, please enter a lot number in the search box below.

Note: Certificate of Analysis not available for kit components.

Product Specific Notices for Human MERIT40 Antibody

For research use only

Loading...
Loading...
Loading...
Loading...