Skip to main content

Key Product Details

Species Reactivity

Human

Applications

Immunohistochemistry, Western Blot, Simple Western

Label

Unconjugated

Antibody Source

Monoclonal Mouse IgG1 Clone # 893438

Product Specifications

Immunogen

HEK293 human embryonic kidney cell line transfected with human Melanotransferrin/CD228
Met1-Gly711
Accession # P08582

Specificity

Detects human Melanotransferrin/CD228 in ELISAs.

Clonality

Monoclonal

Host

Mouse

Isotype

IgG1

Scientific Data Images for Human Melanotransferrin/CD228 Antibody

Detection of Human Melanotransferrin/CD228 antibody by Western Blot.

Detection of Human Melanotransferrin/CD228 by Western Blot.

Western blot shows lysates of SK-Mel-28 human malignant melanoma cell line and Hs 294T human melanoma cell line. PVDF membrane was probed with 1 µg/mL of Mouse Anti-Human Melanotransferrin/CD228 Monoclonal Antibody (Catalog # MAB8175) followed by HRP-conjugated Anti-Mouse IgG Secondary Antibody (Catalog # HAF018). A specific band was detected for Melanotransferrin/CD228 at approximately 90-95 kDa (as indicated). This experiment was conducted under reducing conditions and using Immunoblot Buffer Group 1.
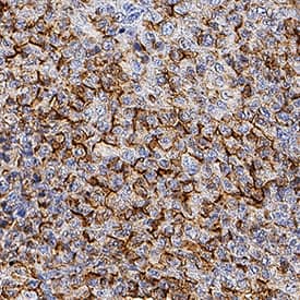
Melanotransferrin/CD228 antibody in Human Melanoma Tissue by Immunohistochemistry (IHC-Fr).

Melanotransferrin/CD228 in Human Melanoma Tissue.

Melanotransferrin/CD228 was detected in perfusion fixed frozen sections of human melanoma tissue using Mouse Anti-Human Melanotransferrin/CD228 Monoclonal Antibody (Catalog # MAB8175) at 5 µg/mL for 1 hour at room temperature followed by incubation with the Anti-Mouse IgG VisUCyte™ HRP Polymer Antibody (Catalog # VC001). Tissue was stained using DAB (brown) and counterstained with hematoxylin (blue). Specific staining was localized to plasma membrane and cytoplasm. View our protocol for IHC Staining with VisUCyte HRP Polymer Detection Reagents.
Detection of Human Melanotransferrin/CD228 antibody by Simple WesternTM.

Detection of Human Melanotransferrin/CD228 by Simple WesternTM.

Simple Western lane view shows lysates of SK‑Mel‑28 human malignant melanoma cell line, loaded at 0.5 mg/mL. A specific band was detected for Melanotransferrin/CD228 at approximately 109 kDa (as indicated) using 10 µg/mL of Mouse Anti-Human Melanotransferrin/CD228 Monoclonal Antibody (Catalog # MAB8175) . This experiment was conducted under reducing conditions and using the 12-230 kDa separation system.

Applications for Human Melanotransferrin/CD228 Antibody

Application
Recommended Usage

Immunohistochemistry

5-25 µg/mL
Sample: Perfusion fixed frozen sections of human melanoma tissue

Simple Western

10 µg/mL
Sample: SK‑Mel‑28 human malignant melanoma cell line

Western Blot

1 µg/mL
Sample: SK‑Mel‑28 human malignant melanoma cell line and Hs 294T human melanoma cell line

Reviewed Applications

Read 1 review rated 5 using MAB8175 in the following applications:

Formulation, Preparation, and Storage

Purification

Protein A or G purified from hybridoma culture supernatant

Reconstitution

Reconstitute at 0.5 mg/mL in sterile PBS. For liquid material, refer to CoA for concentration.

Reconstitution Buffer Available:
Size / Price
Qty
Loading...

Formulation

Lyophilized from a 0.2 μm filtered solution in PBS with Trehalose. *Small pack size (SP) is supplied either lyophilized or as a 0.2 µm filtered solution in PBS.

Shipping

Lyophilized product is shipped at ambient temperature. Liquid small pack size (-SP) is shipped with polar packs. Upon receipt, store immediately at the temperature recommended below.

Stability & Storage

Use a manual defrost freezer and avoid repeated freeze-thaw cycles.
  • 12 months from date of receipt, -20 to -70 °C as supplied.
  • 1 month, 2 to 8 °C under sterile conditions after reconstitution.
  • 6 months, -20 to -70 °C under sterile conditions after reconstitution.

Background: Melanotransferrin/CD228

Melanotransferrin, also known as MTF, CD228, melanoma-associated antigen p97, MAP97 and MFI2, is a 90-97 kDa sialoglycoprotein member of the transferrin family. Unlike other transferrins, which are secreted, MTF is usually found tethered to the cell membrane by a glycosyl phosphatidyl inositol anchor, with only small amounts of soluble protein detected. MTF is highly expressed on melanoma cells, and at lower levels in salivary gland, pancreas, kidney and testis. Like other transferrins, MTF is an iron-binding protein, and may play roles in cellular proliferation, tumorigenesis, metastasis and migration. Full-length human, mouse and rat MTF is 738 amino acids (aa). Over aa 1-711, human MTF shares 85 and 86% aa identity with mouse and rat MTF, respectively.

Alternate Names

CD228, MAP97, MFI2, MTF, p97

Entrez Gene IDs

4241 (Human); 30060 (Mouse); 288038 (Rat)

Gene Symbol

MELTF

UniProt

Additional Melanotransferrin/CD228 Products

Product Documents for Human Melanotransferrin/CD228 Antibody

Certificate of Analysis

To download a Certificate of Analysis, please enter a lot number in the search box below.

Note: Certificate of Analysis not available for kit components.

Product Specific Notices for Human Melanotransferrin/CD228 Antibody

For research use only

Loading...
Loading...
Loading...
Loading...