Skip to main content

Human Megalin/LRP2 Antibody

R&D Systems, part of Bio-Techne | Catalog # MAB9578

R&D Systems, part of Bio-Techne

Key Product Details

Species Reactivity

Validated:

Human

Cited:

Human

Applications

Validated:

Immunohistochemistry, Flow Cytometry, CyTOF-ready

Cited:

Immunohistochemistry

Label

Unconjugated

Antibody Source

Monoclonal Mouse IgG1 Clone # 545606

Product Specifications

Immunogen

Mouse myeloma cell line NS0-derived recombinant human Megalin/LRP2
Pro3510-Lys3964
Accession # P98164

Specificity

Detects human Megalin/LRP2 in direct ELISAs.

Clonality

Monoclonal

Host

Mouse

Isotype

IgG1

Scientific Data Images for Human Megalin/LRP2 Antibody

Detection of Megalin/LRP2 antibody in CaCo-2 Human Cell Line antibody by Flow Cytometry.

Detection of Megalin/LRP2 in CaCo-2 Human Cell Line by Flow Cytometry.

CaCo2 human cell line was stained with Mouse Anti-Human Megalin/LRP2 Monoclonal Antibody (Catalog # MAB9578, filled histogram) or isotype control antibody (Catalog # MAB002, open histogram), followed by Phycoerythrin-conjugated Anti-Mouse IgG Secondary Antibody (Catalog # F0102B). View our protocol for Staining Membrane-associated Proteins.
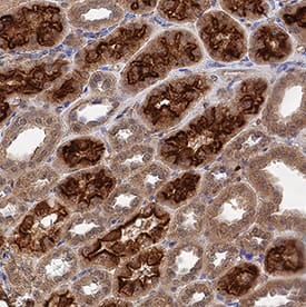
Megalin/LRP2 antibody in Human Kidney by Immunohistochemistry (IHC-P).

Megalin/LRP2 in Human Kidney.

Megalin/LRP2 was detected in immersion fixed paraffin-embedded sections of human kidney using Mouse Anti-Human Megalin/LRP2 Monoclonal Antibody (Catalog # MAB9578) at 5 µg/mL for 1 hour at room temperature followed by incubation with the Anti-Mouse IgG VisUCyte™ HRP Polymer Antibody (Catalog # VC001). Tissue was stained using DAB (brown) and counterstained with hematoxylin (blue). Specific staining was localized to convoluted tubules. View our protocol for IHC Staining with VisUCyte HRP Polymer Detection Reagents.

Applications for Human Megalin/LRP2 Antibody

Application
Recommended Usage

CyTOF-ready

Ready to be labeled using established conjugation methods. No BSA or other carrier proteins that could interfere with conjugation.

Flow Cytometry

0.25 µg/106 cells
Sample: CaCo-2 human cell line

Immunohistochemistry

5-25 µg/mL
Sample:

Immersion fixed paraffin-embedded sections of human kidney

Reviewed Applications

Read 1 review rated 5 using MAB9578 in the following applications:

Formulation, Preparation, and Storage

Purification

Protein A or G purified from ascites

Reconstitution

Reconstitute at 0.5 mg/mL in sterile PBS. For liquid material, refer to CoA for concentration.

Reconstitution Buffer Available:
Size / Price
Qty
Loading...

Formulation

Lyophilized from a 0.2 μm filtered solution in PBS with Trehalose. *Small pack size (SP) is supplied either lyophilized or as a 0.2 µm filtered solution in PBS.

Shipping

Lyophilized product is shipped at ambient temperature. Liquid small pack size (-SP) is shipped with polar packs. Upon receipt, store immediately at the temperature recommended below.

Stability & Storage

Use a manual defrost freezer and avoid repeated freeze-thaw cycles.
  • 12 months from date of receipt, -20 to -70 °C as supplied.
  • 1 month, 2 to 8 °C under sterile conditions after reconstitution.
  • 6 months, -20 to -70 °C under sterile conditions after reconstitution.

Background: Megalin/LRP2

Megalin, also known as the low-density lipoprotein receptor-related protein 2 (LRP2), is a large type I transmembrane cell surface protein. This glycoprotein is a multi‑ligand endocytic receptor that is expressed in many different tissues but primarily in absorptive epithilial tissues such as the kidney (1). The Megalin protein is critical for the re-uptake of numerous ligands, including lipoproteins, sterols, vitamin-binding proteins, and hormones. This protein also has a role in cell-signaling. Mutations in this gene cause Donnai-Barrow Syndrome (DBS) and Facio-Oculoacoustico-Renal Syndrome (FOAR) (1). Megalin is consisting of a 25 amino acid (aa) probable N‑terminal signal peptide sequence, a 4400 aa extracellular region, a 22 aa single transmembrane domain, and a 213 aa C‑terminal cytoplasmic tail. The entire extracellular region is made up of 36 class A motifs of putative ligand-binding domains arranged in four distinct clusters, 16 growth factor repeats separated by 8 YWTD spacer regions, and 1 epidermal growth factor-like repeat (2). The extracellular ligand-binding-domains bind diverse macromolecules including albumin, apolipoproteins B and E, and lipoprotein lipase (3). The amino acid 3510-3964 encodes the fourth class A motif cluster in human Megalin, termed Megalin C4. Human Megalin C4 shares 77% and 74% identity with mouse and rat Megalin C4.

References

  1. Christensen, E. I. and Birn, H. (2002) Nat. Rev. Mol. Cell Biol 3:256.
  2. Saito, A. et al. (1994) Proc.Natl. Aca. Sci. U. S. A. 91:9725.
  3. Kantarci, S. et al. (2007) Nat. Genet 39:957.

Long Name

LDL Receptor-related Protein 2

Alternate Names

DBS, gp330, LRP-2, LRP2

Entrez Gene IDs

4036 (Human); 14725 (Mouse); 29216 (Rat)

Gene Symbol

LRP2

UniProt

Additional Megalin/LRP2 Products

Product Documents for Human Megalin/LRP2 Antibody

Certificate of Analysis

To download a Certificate of Analysis, please enter a lot number in the search box below.

Note: Certificate of Analysis not available for kit components.

Product Specific Notices for Human Megalin/LRP2 Antibody

For research use only

Loading...
Loading...
Loading...
Loading...
Loading...