Skip to main content

Human Lysosomal alpha-Glucosidase Antibody

R&D Systems, part of Bio-Techne | Catalog # MAB83291

Recombinant Monoclonal Antibody.
R&D Systems, part of Bio-Techne

Key Product Details

Species Reactivity

Human

Applications

Immunohistochemistry, Western Blot

Label

Unconjugated

Antibody Source

Recombinant Monoclonal Rabbit IgG Clone # 2489B

Product Specifications

Immunogen

Human embryonic kidney cell HEK293-derived human Lysosomal alpha-Glucosidase
Ala70-Cys952
Accession # P10253

Specificity

Detects human Lysosomal alpha-Glucosidase in direct ELISAs. Detects only 76Kda cleaved band.

Clonality

Monoclonal

Host

Rabbit

Isotype

IgG

Scientific Data Images for Human Lysosomal alpha-Glucosidase Antibody

Detection of Human Lysosomal a-Glucosidase antibody by Western Blot.

Detection of Human Lysosomal alpha‑Glucosidase by Western Blot.

Western blot shows lysates of T47D human breast cancer cell line and human peripheral blood mononuclear cells (PBMC). PVDF membrane was probed with 1 µg/mL of Rabbit Anti-Human Lysosomal a-Glucosidase Monoclonal Antibody (Catalog # MAB83291) followed by HRP-conjugated Anti-Rabbit IgG Secondary Antibody (Catalog # HAF008). Specific bands were detected for Lysosomal a-Glucosidase at approximately 75 kDa and 105 kDa (as indicated). This experiment was conducted under reducing conditions and using Immunoblot Buffer Group 1.
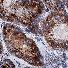
Lysosomal a-Glucosidase antibody in Human Kidney by Immunohistochemistry (IHC-P).

Lysosomal alpha‑Glucosidase in Human Kidney.

Lysosomal a-Glucosidase was detected in immersion fixed paraffin-embedded sections of human kidney using Rabbit Anti-Human Lysosomal a-Glucosidase Monoclonal Antibody (Catalog # MAB83291) at 3 µg/mL for 1 hour at room temperature followed by incubation with the Anti-Rabbit IgG VisUCyte™ HRP Polymer Antibody (Catalog # VC003). Before incubation with the primary antibody, tissue was subjected to heat-induced epitope retrieval using Antigen Retrieval Reagent-Basic (Catalog # CTS013). Tissue was stained using DAB (brown) and counterstained with hematoxylin (blue). Specific staining was localized to cytoplasm. View our protocol for IHC Staining with VisUCyte HRP Polymer Detection Reagents.

Applications for Human Lysosomal alpha-Glucosidase Antibody

Application
Recommended Usage

Immunohistochemistry

3-25 µg/mL
Sample: Immersion fixed paraffin-embedded sections of human kidney

Western Blot

1 µg/mL
Sample: T47D human breast cancer cell line and Human peripheral blood mononuclear cells (PBMC)

Reviewed Applications

Read 1 review rated 5 using MAB83291 in the following applications:

Formulation, Preparation, and Storage

Purification

Protein A or G purified from cell culture supernatant

Reconstitution

Reconstitute at 0.5 mg/mL in sterile PBS. For liquid material, refer to CoA for concentration.

Reconstitution Buffer Available:
Size / Price
Qty
Loading...

Formulation

Lyophilized from a 0.2 μm filtered solution in PBS with Trehalose. *Small pack size (SP) is supplied either lyophilized or as a 0.2 µm filtered solution in PBS.

Shipping

Lyophilized product is shipped at ambient temperature. Liquid small pack size (-SP) is shipped with polar packs. Upon receipt, store immediately at the temperature recommended below.

Stability & Storage

Use a manual defrost freezer and avoid repeated freeze-thaw cycles.
  • 12 months from date of receipt, -20 to -70 °C as supplied.
  • 1 month, 2 to 8 °C under sterile conditions after reconstitution.
  • 6 months, -20 to -70 °C under sterile conditions after reconstitution.

Background: Lysosomal alpha-Glucosidase

Acid alpha-glucosidase (GAA) is an enzyme that is essential in the degradation of glycogen to glucose in the lysosome (1). Defects in GAA are the cause of glycogen storage disease II, also known as Pompe's disease, which is a rare autosomal recessive metabolic disorder that damages muscle and nerve cells throughout the body, primarily due to the accumulation of glycogen in the lysosome (2). Pompe disease occurs in babies, children, and adults who inherit a defective GAA gene and affects an estimated 5,000 to 10,000 people worldwide (3). Enzyme replacement therapy (ERT) is used to treat patients with this disease (4, 5).

References

  1. Hoefsloot L.H. et al. (1988) EMBO J. 7:1697.
  2. Wan, L. et al. (2008) J. Neurol. 255:831.
  3. Fukuda, T. et al. (2007) Curr. Neurol. Neurosci. Rep. 7:71.
  4. Van Gelder, C.M. et al. (2014) J Inherit Metab Dis. In press.
  5. Toscano, A. and Schoser, B. (2013) J. Neurol. 260:951.

Long Name

Glucosidase, Alpha; Acid

Alternate Names

Acid alpha-Glucosidase, Acid Maltase, GAA, LYAG, Lysosomal alphaGlucosidase

Entrez Gene IDs

2548 (Human); 14387 (Mouse); 367562 (Rat); 102141245 (Cynomolgus Monkey)

Gene Symbol

GAA

UniProt

Additional Lysosomal alpha-Glucosidase Products

Product Documents for Human Lysosomal alpha-Glucosidase Antibody

Certificate of Analysis

To download a Certificate of Analysis, please enter a lot number in the search box below.

Note: Certificate of Analysis not available for kit components.

Product Specific Notices for Human Lysosomal alpha-Glucosidase Antibody

For research use only

Loading...
Loading...
Loading...
Loading...