Skip to main content

Key Product Details

Species Reactivity

Validated:

Human

Cited:

Human, Mouse, Bovine

Applications

Validated:

Immunohistochemistry, Western Blot, Simple Western

Cited:

Immunohistochemistry, Immunohistochemistry-Paraffin, Western Blot

Label

Unconjugated

Antibody Source

Polyclonal Goat IgG

Product Specifications

Immunogen

Mouse myeloma cell line NS0-derived recombinant human Lumican
Gln19-Asn338
Accession # P51884

Specificity

Detects human Lumican in direct ELISAs and Western blots. In direct ELISAs, approximately 10% cross‑reactivity with recombinant mouse Lumican is observed.

Clonality

Polyclonal

Host

Goat

Isotype

IgG

Scientific Data Images for Human Lumican Antibody

Detection of Human Lumican antibody by Western Blot.

Detection of Human Lumican by Western Blot.

Western blot shows lysates of human colon tissue. PVDF membrane was probed with 1 µg/mL of Goat Anti-Human Lumican Antigen Affinity-purified Polyclonal Antibody (Catalog # AF2846) followed by HRP-conjugated Anti-Goat IgG Secondary Antibody (Catalog # HAF019). A specific band was detected for Lumican at approximately 60-85 kDa (as indicated). This experiment was conducted under reducing conditions and using Immunoblot Buffer Group 1.
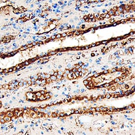
Lumican antibody in Human Kidney by Immunohistochemistry (IHC-P).

Lumican in Human Kidney.

Lumican was detected in immersion fixed paraffin-embedded sections of human kidney using Goat Anti-Human Lumican Antigen Affinity-purified Polyclonal Antibody (Catalog # AF2846) at 15 µg/mL overnight at 4 °C. Tissue was stained using the Anti-Goat HRP-DAB Cell & Tissue Staining Kit (brown; Catalog # CTS008) and counterstained with hematoxylin (blue). Specific staining was localized to convoluted tubules. View our protocol for Chromogenic IHC Staining of Paraffin-embedded Tissue Sections.

Detection of Human Lumican by Simple WesternTM.

Simple Western shows lysates of human colon tissue, loaded at 0.5 mg/ml. A specific band was detected for Lumican at approximately 100-180 kDa (as indicated) using 10 µg/mL of Goat Anti-Human Lumican Antigen Affinity-purified Polyclonal Antibody (Catalog # AF2846). This experiment was conducted under reducing conditions and using the 12-230kDa separation system.

Applications for Human Lumican Antibody

Application
Recommended Usage

Immunohistochemistry

5-15 µg/mL
Sample: Immersion fixed paraffin-embedded sections of human kidney

Simple Western

10 µg/mL
Sample: Human colon tissue

Western Blot

1 µg/mL
Sample: Human colon tissue

Formulation, Preparation, and Storage

Purification

Antigen Affinity-purified

Reconstitution

Reconstitute at 0.2 mg/mL in sterile PBS. For liquid material, refer to CoA for concentration.

Reconstitution Buffer Available:
Size / Price
Qty
Loading...

Formulation

Lyophilized from a 0.2 μm filtered solution in PBS with Trehalose. See Certificate of Analysis for details.
*Small pack size (-SP) is supplied either lyophilized or as a 0.2 µm filtered solution in PBS.

Shipping

Lyophilized product is shipped at ambient temperature. Liquid small pack size (-SP) is shipped with polar packs. Upon receipt, store immediately at the temperature recommended below.

Stability & Storage

Use a manual defrost freezer and avoid repeated freeze-thaw cycles.
  • 12 months from date of receipt, -20 to -70 °C as supplied.
  • 1 month, 2 to 8 °C under sterile conditions after reconstitution.
  • 6 months, -20 to -70 °C under sterile conditions after reconstitution.

Background: Lumican

Lumican is a 40 kDa member of the family of small leucine-rich repeat proteoglycans (SLRPs) and the class II subfamily (1). Human Lumican is synthesized as a 338 amino acid (aa) precursor that contains an 18 aa signal sequence and a 320 aa mature chain. The mature chain contains a negatively charged N-terminal domain containing sulfated tyrosine and disulfide bonds, 12 leucine-rich repeats (LRRs), four potential sites of N-linked glycosylation, and a carboxyl terminal domain containing two conserved cysteines (1). Mature human Lumican is 88%, 87%, and 70% aa identical to mature mouse, rat, and chick Lumican, respectively. SLRPs constitute an important fraction of noncollagenous extracellular matrix proteins (ECM) proteins (1, 2). Lumican is expressed in a variety of tissues, including skin, artery, lung, cornea, kidney, bone, aorta, and articular cartilage (1). Lumican’s role in vivo has been found using Lumican null mice. These mice have functional deficits including corneal opacity as well as skin and tendon fragility associated with disorganized and loosely packed collagen fibers (1, 3‑6). The abnormal connective tissue phenotype seen in the Lumican null mice shows the importance of the role of Lumican in collagen fibrillogenesis (1). In addition to the control of collagen fibril assembly, Lumican has been shown to play a role in the regulation of cell proliferation (7, 8), migration (8, 9), and adhesion (9). Lumican’s overexpression has been reported in carcinoid tumor, breast, colorectal, neuroendocrine, uterine cervical and pancreatic cancers (10).

References

  1. Nikitovic, D. et al. (2008) IUBMB Life 60:818.
  2. Blochberger, T.C. et al. (1992) J. Biol. Chem. 267:347.
  3. Chakravarti, S. et al. (1998) J. Cell Biol. 141:1277.
  4. Chakravarti, S. et al. (2000) Invest. Ophthalmol. Vis. Sci. 41:3365.
  5. Jepsen, K.J. et al. (2002) J. Biol. Chem. 277:35532.
  6. Chakravarti, S. et al. (2003) Invest. Ophthalmol. Vis. Sci. 44:2422.
  7. Vuillermoz, B. et al. (2004) Exp. Cell Res. 296:294.
  8. Nikitovic, D. et al. (2008) FEBS J. 275:350.
  9. D’Onofrio, M.F. et al. (2008) Biochem. Biophys. Res. Commun. 365:266.
  10. Ishiwata, T. et al. (2007) Oncol. Rep. 18:537.

Alternate Names

LDC, LUM, SLRR2D

Entrez Gene IDs

4060 (Human); 17022 (Mouse)

Gene Symbol

LUM

UniProt

Additional Lumican Products

Product Documents for Human Lumican Antibody

Certificate of Analysis

To download a Certificate of Analysis, please enter a lot number in the search box below.

Note: Certificate of Analysis not available for kit components.

Product Specific Notices for Human Lumican Antibody

For research use only

Loading...
Loading...
Loading...
Loading...