Skip to main content

Human LRP-4 Antibody

R&D Systems, part of Bio-Techne | Catalog # MAB5948

R&D Systems, part of Bio-Techne
Catalog #
Availability
Size / Price
Qty
Loading...
MAB5948
MAB5948-SP

Key Product Details

Species Reactivity

Human

Applications

Immunohistochemistry, Western Blot

Label

Unconjugated

Antibody Source

Monoclonal Mouse IgG1 Clone # 741704

Product Specifications

Immunogen

E. coli-derived recombinant human LRP-4
Gly18-Ser344
Accession # O75096

Specificity

Detects human LRP-4 in direct ELISAs and Western blots. In direct ELISAs and Western blots, no cross-reactivity with recombinant human (rh) LRP-5 or rhLRP-6 is observed.

Clonality

Monoclonal

Host

Mouse

Isotype

IgG1

Scientific Data Images for Human LRP-4 Antibody

Detection of Human and Rat LRP-4 antibody by Western Blot.

Detection of Human and Rat LRP‑4 by Western Blot.

Western blot shows lysates of rat embryonic cortical glial cells and human brain (cortex) tissue. PVDF membrane was probed with 2 µg/mL of Mouse Anti-Human LRP-4 Monoclonal Antibody (Catalog # MAB5948) followed by HRP-conjugated Anti-Mouse IgG Secondary Antibody (Catalog # HAF007). A specific band was detected for LRP-4 at approximately 220 kDa (as indicated). This experiment was conducted under reducing conditions and using Immunoblot Buffer Group 1.
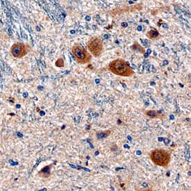
LRP-4 antibody in Human Brain by Immunohistochemistry (IHC-P).

LRP‑4 in Human Brain.

LRP-4 was detected in immersion fixed paraffin-embedded sections of human brain (medulla) using Mouse Anti-Human LRP-4 Monoclonal Antibody (Catalog # MAB5948) at 15 µg/mL overnight at 4 °C. Before incubation with the primary antibody, tissue was subjected to heat-induced epitope retrieval using Antigen Retrieval Reagent-Basic (Catalog # CTS013). Tissue was stained using the Anti-Mouse HRP-DAB Cell & Tissue Staining Kit (brown; Catalog # CTS002) and counter-stained with hematoxylin (blue). Specific staining was localized to cytoplasm of neurons. View our protocol for Chromogenic IHC Staining of Paraffin-embedded Tissue Sections.

Applications for Human LRP-4 Antibody

Application
Recommended Usage

Immunohistochemistry

8-25 µg/mL
Sample: Immersion fixed paraffin-embedded sections of human brain (medulla)

Western Blot

2 µg/mL
Sample: Rat embryonic cortical glial cells and human brain (cortex) tissue

Formulation, Preparation, and Storage

Purification

Protein A or G purified from hybridoma culture supernatant

Reconstitution

Sterile PBS to a final concentration of 0.5 mg/mL. For liquid material, refer to CoA for concentration.

Reconstitution Buffer Available:
Size / Price
Qty
Loading...

Formulation

Lyophilized from a 0.2 μm filtered solution in PBS with Trehalose. See Certificate of Analysis for details.
*Small pack size (-SP) is supplied either lyophilized or as a 0.2 µm filtered solution in PBS.

Shipping

Lyophilized product is shipped at ambient temperature. Liquid small pack size (-SP) is shipped with polar packs. Upon receipt, store immediately at the temperature recommended below.

Stability & Storage

Use a manual defrost freezer and avoid repeated freeze-thaw cycles.
  • 12 months from date of receipt, -20 to -70 °C as supplied.
  • 1 month, 2 to 8 °C under sterile conditions after reconstitution.
  • 6 months, -20 to -70 °C under sterile conditions after reconstitution.

Background: LRP-4

LRP‑4 (Low density lipoprotein-related protein #4; also MEGF7 and LRP13) is a 220-270 kDa glycoprotein, member of the LDLR family of proteins. It is expressed on neurons, oocytes, spermatogonia and skeletal muscle cells and binds multiple ligands including WISE, apoE, MuSK and neuronal Agrin. It serves to negatively regulate Wnt signaling during development and to cluster AChRs at neuromuscular junctions. Mature human LRP‑4 is an 1885 amino acid (aa) type I transmembrane glycoprotein. It contains a 1705 aa extracellular domain (ECD) (aa 21-1725) plus a 159 aa cytoplasmic region (aa 1747-1905). In the ECD, there are eight LDLR class A repeats (aa 26-350), two EGF-like repeats (aa 354-434) and 20 LDLR class B repeats that contain an intervening EGF-like domain (aa 480-1610). Over aa 18-344, human LRP‑4 shares 97% aa identity with both mouse and rat LRP‑4. MAB5948 detects the correct rat band in Western Blot. Immunohistochemistry was not tested in rat samples.  

Long Name

LDL Receptor-related Protein 4

Alternate Names

LRP10, LRP4

Entrez Gene IDs

4038 (Human); 228357 (Mouse); 83469 (Rat)

Gene Symbol

LRP4

UniProt

Additional LRP-4 Products

Product Documents for Human LRP-4 Antibody

Certificate of Analysis

To download a Certificate of Analysis, please enter a lot number in the search box below.

Note: Certificate of Analysis not available for kit components.

Product Specific Notices for Human LRP-4 Antibody

For research use only

Loading...
Loading...
Loading...
Loading...