Skip to main content

Key Product Details

Species Reactivity

Validated:

Human

Cited:

Rat, Hamster

Applications

Validated:

Immunohistochemistry, Western Blot, Immunocytochemistry

Cited:

Western Blot, Neutralization, Immunocytochemistry

Label

Unconjugated

Antibody Source

Polyclonal Goat IgG

Product Specifications

Immunogen

Mouse myeloma cell line NS0-derived recombinant human LRP‑1 Cluster II
Arg786-Leu1165
Accession # Q07954

Specificity

Detects human LRP‑1 Cluster II in direct ELISAs and Western blots.

Clonality

Polyclonal

Host

Goat

Isotype

IgG

Scientific Data Images for Human LRP-1 Cluster II Antibody

LRP-1 Cluster II antibody in HepG2 Human Cell Line by Immunocytochemistry (ICC).

LRP‑1 Cluster II in HepG2 Human Cell Line.

LRP-1 Cluster II was detected in immersion fixed HepG2 human hepatocellular carcinoma cell line using Goat Anti-Human LRP-1 Cluster II Antigen Affinity-purified Polyclonal Antibody (Catalog # AF2368) at 3 µg/mL for 3 hours at room temperature. Cells were stained using the NorthernLights™ 557-conjugated Anti-Goat IgG Secondary Antibody (red; NL001) and counterstained with DAPI (blue). Specific staining was localized to cytoplasm and nuclei. View our protocol for Fluorescent ICC Staining of Cells on Coverslips.
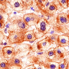
LRP-1 Cluster II antibody in Human Liver by Immunohistochemistry (IHC-P).

LRP‑1 Cluster II in Human Liver.

LRP-1 Cluster II was detected in immersion fixed paraffin-embedded sections of human liver using Goat Anti-Human LRP-1 Cluster II Antigen Affinity-purified Polyclonal Antibody (Catalog # AF2368) at 3 µg/mL for 1 hour at room temperature followed by incubation with the Anti-Goat IgG VisUCyte™ HRP Polymer Antibody (VC004). Tissue was stained using DAB (brown) and counterstained with hematoxylin (blue). Specific staining was localized to cell membranes and cytoplasm. View our protocol for IHC Staining with VisUCyte HRP Polymer Detection Reagents.

Applications for Human LRP-1 Cluster II Antibody

Application
Recommended Usage

Immunocytochemistry

3-15 µg/mL
Sample: Immersion fixed HepG2 human hepatocellular carcinoma cell line

Immunohistochemistry

3-15 µg/mL
Sample: Immersion fixed paraffin-embedded sections of human liver

Western Blot

0.1 µg/mL
Sample: Recombinant Human LRP-1 Cluster II Fc Chimera (Catalog # 2368-L2)

Formulation, Preparation, and Storage

Purification

Antigen Affinity-purified

Reconstitution

Reconstitute at 0.2 mg/mL in sterile PBS. For liquid material, refer to CoA for concentration.

Reconstitution Buffer Available:
Size / Price
Qty
Loading...

Formulation

Lyophilized from a 0.2 μm filtered solution in PBS with Trehalose. *Small pack size (SP) is supplied either lyophilized or as a 0.2 µm filtered solution in PBS.

Shipping

Lyophilized product is shipped at ambient temperature. Liquid small pack size (-SP) is shipped with polar packs. Upon receipt, store immediately at the temperature recommended below.

Stability & Storage

Use a manual defrost freezer and avoid repeated freeze-thaw cycles.
  • 12 months from date of receipt, -20 to -70 °C as supplied.
  • 1 month, 2 to 8 °C under sterile conditions after reconstitution.
  • 6 months, -20 to -70 °C under sterile conditions after reconstitution.

Background: LRP-1 Cluster II

LDL receptor-related protein 1 (LRP-1), also known as CD91 and the alpha2‑macroglobulin receptor, is a type I transmembrane protein in the LDL receptor superfamily. It is expressed on neurons, hepatocytes, adipocytes, vascular smooth muscle cells, fibroblasts, keratinocytes, macrophages, and megakaryocytes. LRP-1 is important for the clearance of a large number of circulating molecules involved in fatty acid metabolism and the inhibition of serine proteases (1‑4). LRP-1 also associates, or through intracellular scaffold proteins, with other membrane associated proteins on the same cell. This allows LRP-1 to modulate the activity or internalization of PDGF R beta, NMDA receptor subunits, TGF-beta receptors, Frizzled-1, various integrins, and the prion protein PrPC (1, 5‑10). Human LRP‑1 is N glycosylated and sialylated, and cleaved in the Golgi to produce an 85 kDa transmembrane beta chain, and a 515 kDa alpha chain. Both associate noncovalently, with the beta chain remaining completely extracellular (11, 12). The alpha chain of LRP 1 contains 31 LDLR class A repeats, 34 LDLR class B repeats, and 22 EGF-like repeats (13). The LDLR domains are clustered in four regions throughout the protein (13). Cluster II (aa 786 - 1165) contains one EGF-like and eight LDLR class A repeats (14, 15). Cluster II contains binding sites for Apolipoprotein E, LPL, LRPAP/RAP, alpha 2 Macroglobulin, Coagulation Factor VIII light chain, Lactoferrin, PAI-1, tPA-PAI-1 complexes, Pro‑uPA, and TFPI (14, 15). Within this region, human LRP-1 shares 99% aa sequence identity with mouse and rat LRP-1. A shed soluble form of LRP-1 circulates in the serum and retains ligand binding properties (16).

References

  1. Lillis, A.P. et al. (2008) Physiol. Rev. 88:887.
  2. Galliano, M.-F. et al. (2008) PLoS ONE 3:e2729.
  3. Bouchard, B.A. et al. (2007) J. Thromb. Haemost. 6:638.
  4. Sendra, J. et al. (2008) Cardiovasc. Res. 78:581.
  5. Takayama, Y. et al. (2005) J. Biol. Chem. 280:18504.
  6. Martin, A.M. et al. (2008) J. Biol. Chem. 283:12004.
  7. Cabello-Verugio, C. and E. Brandan (2007) J. Biol. Chem. 282:18842.
  8. Zilberberg, A. et al. (2004) J. Biol. Chem. 279:17535.
  9. Taylor, D.R. and N.M. Hooper (2007) Biochem. J. 402:17.
  10. Parkyn, C.J. et al. (2007) J. Cell Sci. 121:773.
  11. Herz, J. et al. (1990) EMBO J. 9:1769.
  12. Strickland, D.K. et al. (1990) J. Biol. Chem. 265:17401.
  13. Herz, J. et al. (1988) EMBO J. 7:4119.
  14. Horn, I.R. et al. (1997) J. Biol. Chem. 272:13608.
  15. Neels, J.G. et al. (1999) J. Biol. Chem. 274:31305.
  16. Quinn, K.A. et al. (1999) Exp. Cell Res. 251:433.

Long Name

LDL Receptor-related Protein 1, Cluster II

Alternate Names

A2MR, Alpha-2-Macroglobulin Receptor, APOER, APR, CD91, LRP1, LRP1 Cluster II, TGFBR5

Entrez Gene IDs

4035 (Human); 16971 (Mouse); 299858 (Rat)

Gene Symbol

LRP1

UniProt

Additional LRP-1 Cluster II Products

Product Documents for Human LRP-1 Cluster II Antibody

Certificate of Analysis

To download a Certificate of Analysis, please enter a lot number in the search box below.

Note: Certificate of Analysis not available for kit components.

Product Specific Notices for Human LRP-1 Cluster II Antibody

For research use only

Loading...
Loading...
Loading...
Loading...