Skip to main content

Key Product Details

Species Reactivity

Validated:

Human

Cited:

Human

Applications

Validated:

Immunohistochemistry, Western Blot

Cited:

ELISA (Capture)

Label

Unconjugated

Antibody Source

Polyclonal Sheep IgG

Product Specifications

Immunogen

Human embryonic kidney cell line HEK293-derived recombinant human LRG1
Val36-Gln347
Accession # P02750

Specificity

Detects human LRG1 in direct ELISAs and Western blots.

Clonality

Polyclonal

Host

Sheep

Isotype

IgG

Scientific Data Images for Human LRG1 Antibody

Detection of Human LRG1 antibody by Western Blot.

Detection of Human LRG1 by Western Blot.

Western blot shows human plasma. PVDF membrane was probed with 2 µg/mL of Sheep Anti-Human LRG1 Antigen Affinity-purified Polyclonal Antibody (Catalog # AF7890) followed by HRP-conjugated Anti-Sheep IgG Secondary Antibody (Catalog # HAF016). A specific band was detected for LRG1 at approximately 48-50 kDa (as indicated). This experiment was conducted under reducing conditions and using Immunoblot Buffer Group 1.
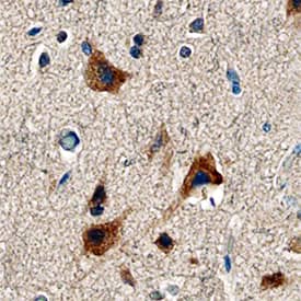
LRG1 antibody in Human Brain by Immunohistochemistry (IHC-P).

LRG1 in Human Brain.

LRG1 was detected in immersion fixed paraffin-embedded sections of human brain (cortex) using Sheep Anti-Human LRG1 Antigen Affinity-purified Polyclonal Antibody (Catalog # AF7890) at 3 µg/mL overnight at 4 °C. Tissue was stained using the Anti-Sheep HRP-DAB Cell & Tissue Staining Kit (brown; Catalog # CTS019) and counterstained with hematoxylin (blue). Specific staining was localized to neurons. View our protocol for Chromogenic IHC Staining of Paraffin-embedded Tissue Sections.

Applications for Human LRG1 Antibody

Application
Recommended Usage

Immunohistochemistry

5-15 µg/mL
Sample: Immersion fixed paraffin-embedded sections of human brain (cortex)

Western Blot

2 µg/mL
Sample: Human plasma

Formulation, Preparation, and Storage

Purification

Antigen Affinity-purified

Reconstitution

Reconstitute at 0.2 mg/mL in sterile PBS. For liquid material, refer to CoA for concentration.

Reconstitution Buffer Available:
Size / Price
Qty
Loading...

Formulation

Lyophilized from a 0.2 μm filtered solution in PBS with Trehalose. *Small pack size (SP) is supplied either lyophilized or as a 0.2 µm filtered solution in PBS.

Shipping

Lyophilized product is shipped at ambient temperature. Liquid small pack size (-SP) is shipped with polar packs. Upon receipt, store immediately at the temperature recommended below.

Stability & Storage

Use a manual defrost freezer and avoid repeated freeze-thaw cycles.
  • 12 months from date of receipt, -20 to -70 °C as supplied.
  • 1 month, 2 to 8 °C under sterile conditions after reconstitution.
  • 6 months, -20 to -70 °C under sterile conditions after reconstitution.

Background: LRG1

LRG-1 (Leucine-Rich alpha-2-Glycoprotein 1; also LRHG [in rodent]) is a 45-55 kDa, monomeric, variably glycosylated, secreted protein member of the leucine-rich repeat family of molecules. It should not be confused with either LRIG-1/ Leucine-Rich repeats and Ig-like domains-1, or LRG1/LIM-RhoGap protein 1. LRG-1 has a limited expression pattern, being associated with neutrophils, neutrophil precursors (myelocytes; metamyelocytes), astrocytes, HEV (in mice), hepatocytes and select tumor cells. LRG-1 is reported to bind multiple molecules, including TGF-beta, extracellular cytochrome C, and fibronectin plus collagen IV of the ECM. Functions associated with this binding include granulocyte maturation, protection from apoptosis, and cell migration. Mature human LRG-1 is 312 amino acids (aa) in length (aa 35-347). Depending upon the source, LRG-1 has been described as having either thirteen 24 aa leucine-rich repeats (LRRs), or eight LRRs spanning aa 93-282 coupled to a C-terminal LRR. Variable O- and N-based glycosylation accounts for the variablility in MW. Mature human LRG-1 shares 66% aa sequence identity with mouse LRG-1.

Long Name

Leucine-rich alpha-2-glycoprotein 1

Alternate Names

HMFT1766

Entrez Gene IDs

116844 (Human); 76905 (Mouse); 367455 (Rat)

Gene Symbol

LRG1

UniProt

Additional LRG1 Products

Product Documents for Human LRG1 Antibody

Certificate of Analysis

To download a Certificate of Analysis, please enter a lot number in the search box below.

Note: Certificate of Analysis not available for kit components.

Product Specific Notices for Human LRG1 Antibody

For research use only

Loading...
Loading...
Loading...
Loading...