Skip to main content

Key Product Details

Validated by

Knockout/Knockdown

Species Reactivity

Human

Applications

Knockout Validated, Immunohistochemistry, Western Blot

Label

Unconjugated

Antibody Source

Polyclonal Sheep IgG

Product Specifications

Immunogen

E. coli-derived recombinant human LKB1/STK11
Met1-Gln433
Accession # Q15831

Specificity

Detects human LKB1/STK11 in direct ELISAs and Western blots.

Clonality

Polyclonal

Host

Sheep

Isotype

IgG

Scientific Data Images for Human LKB1/STK11 Antibody

Detection of Human LKB1/STK11 antibody by Western Blot.

Detection of Human LKB1/STK11 by Western Blot.

Western blot shows lysates of MCF-7 human breast cancer cell line and K562 human chronic myelogenous leukemia cell line. PVDF membrane was probed with 2 µg/mL of Sheep Anti-Human LKB1/STK11 Antigen Affinity-purified Polyclonal Antibody (Catalog # AF8055) followed by HRP-conjugated Anti-Sheep IgG Secondary Antibody (Catalog # HAF016). A specific band was detected for LKB1/STK11 at approximately 55 kDa (as indicated). This experiment was conducted under reducing conditions and using Immunoblot Buffer Group 1.
LKB1/STK11 antibody in Human Breast Cancer Tissue by Immunohistochemistry (IHC-P).

LKB1/STK11 in Human Breast Cancer Tissue.

LKB1/STK11 was detected in formalin fixed paraffin-embedded sections of human breast cancer tissue using Sheep Anti-Human LKB1/STK11 Antigen Affinity-purified Polyclonal Antibody (Catalog # AF8055) at 1 µg/mL overnight at 4 °C. Before incubation with the primary antibody, tissue was subjected to heat-induced epitope retrieval using Antigen Retrieval Reagent-Basic (Catalog # CTS013). Tissue was stained using the Anti-Sheep HRP-DAB Cell & Tissue Staining Kit (brown; Catalog # CTS019) and counterstained with hematoxylin (blue). Specific staining was localized to tumor cell nuclei. View our protocol for Chromogenic IHC Staining of Paraffin-embedded Tissue Sections.
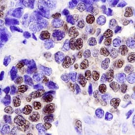
LKB1/STK11 antibody in Human Breast by Immunohistochemistry (IHC-P).

LKB1/STK11 in Human Breast.

LKB1/STK11 was detected in formalin fixed paraffin-embedded sections of human breast tissue using Sheep Anti-Human LKB1/STK11 Antigen Affinity-purified Polyclonal Antibody (Catalog # AF8055) at 10 µg/mL overnight at 4 °C. Before incubation with the primary antibody, tissue was subjected to heat-induced epitope retrieval using Antigen Retrieval Reagent-Basic (Catalog # CTS013). Tissue was stained using the Anti-Sheep HRP-DAB Cell & Tissue Staining Kit (brown; Catalog # CTS019) and counterstained with hematoxylin (blue). Specific staining was localized to the cytoplasm and nuclei. View our protocol for Chromogenic IHC Staining of Paraffin-embedded Tissue Sections.

Applications for Human LKB1/STK11 Antibody

Application
Recommended Usage

Immunohistochemistry

5-15 µg/mL
Sample: Immersion fixed paraffin-embedded sections of human normal breast and breast cancer tissue subjected to heat-induced epitope retrieval using Antigen Retrieval Reagent-Basic (Catalog # CTS013)

Knockout Validated

LKB1/STK11 is specifically detected in HEK293T human embryonic kidney parental cell line but is not detectable in LKB1/STK11 knockout HEK293T cell line.

Western Blot

2 µg/mL
Sample: MCF‑7 human breast cancer cell line and K562 human chronic myelogenous leukemia cell line

Formulation, Preparation, and Storage

Purification

Antigen Affinity-purified

Reconstitution

Reconstitute at 0.2 mg/mL in sterile PBS. For liquid material, refer to CoA for concentration.

Reconstitution Buffer Available:
Size / Price
Qty
Loading...

Formulation

Lyophilized from a 0.2 μm filtered solution in PBS with Trehalose. *Small pack size (SP) is supplied either lyophilized or as a 0.2 µm filtered solution in PBS.

Shipping

Lyophilized product is shipped at ambient temperature. Liquid small pack size (-SP) is shipped with polar packs. Upon receipt, store immediately at the temperature recommended below.

Stability & Storage

Use a manual defrost freezer and avoid repeated freeze-thaw cycles.
  • 12 months from date of receipt, -20 to -70 °C as supplied.
  • 1 month, 2 to 8 °C under sterile conditions after reconstitution.
  • 6 months, -20 to -70 °C under sterile conditions after reconstitution.

Background: LKB1/STK11

LKB1 (Liver kinase B1; also STK11/Ser/Thr-protein kinase 11 and NY-REN19) is a 55 kDa intracellular member of the LKB1 subfamily, CAMK Ser/Thr protein kinase family of molecules. It is widely expressed, being particularly investigated in small intestinal columnar epithelium and hepatocytes. STK11 is associated with a wide variety of functions, including the initiation of apoptosis through binding to p53, the regulation of TGF-beta signaling through the creation of a SMAD4-LIP1-STK11 complex, and the generation of an epithelial polarized phenotype via cytoskeletal remodeling. Schematically, it would appear that STK11 acts, at least in part, through its ability to phosphorylate multiple AMPK-related kinases, as well as AMPK itself. Human STK11 is 433 amino acids (aa) in length. It potentially contains a three aa propeptide at its C-terminus. The mature segment (aa 1-430) possesses one large protein kinase domain (aa 49-309) plus at least four utilized phosphorylation sites.  Phosphorylation on Ser428 promotes the ability of LKB1 to suppress G361 cell growth. Palmitoylation is suggested to occur on Cys418. There are three alternative splice variants. Either individually or in combination, they involve an insertion of nine aa after Tyr126 and a 34 aa substitution for aa 371-433. Full-length human STK11 shares 90% aa sequence identity with mouse STK11.

Long Name

Serine/threonine Protein Kinase LKB1

Alternate Names

PJS, STK11

Entrez Gene IDs

6794 (Human); 20869 (Mouse); 314621 (Rat)

Gene Symbol

STK11

UniProt

Additional LKB1/STK11 Products

Product Documents for Human LKB1/STK11 Antibody

Certificate of Analysis

To download a Certificate of Analysis, please enter a lot number in the search box below.

Note: Certificate of Analysis not available for kit components.

Product Specific Notices for Human LKB1/STK11 Antibody

For research use only

Loading...
Loading...
Loading...
Loading...