Human LITAF Antibody
R&D Systems, part of Bio-Techne | Catalog # AF4695
Conjugate
Catalog #
Key Product Details
Species Reactivity
Human
Applications
Immunohistochemistry, Western Blot, Immunocytochemistry
Label
Unconjugated
Antibody Source
Polyclonal Goat IgG
Product Specifications
Immunogen
E. coli-derived recombinant human LITAF
Met1-Ala111
Accession # Q99732
Met1-Ala111
Accession # Q99732
Specificity
Detects human LITAF in Western blots.
Clonality
Polyclonal
Host
Goat
Isotype
IgG
Scientific Data Images for Human LITAF Antibody
Detection of Human LITAF by Western Blot.
Western blot shows lysates of A431 human epithelial carcinoma cell line, HeLa human cervical epithelial carcinoma cell line, HepG2 human hepatocellular carcinoma cell line, and MCF-7 human breast cancer cell line. PVDF membrane was probed with 1 µg/mL of Goat Anti-Human LITAF Antigen Affinity-purified Polyclonal Antibody (Catalog # AF4695) followed by HRP-conjugated Anti-Goat IgG Secondary Antibody (Catalog # HAF109). A specific band was detected for LITAF at approximately 28 kDa (as indicated). This experiment was conducted under reducing conditions and using Immunoblot Buffer Group 1.LITAF in A431 Human Cell Line.
LITAF was detected in immersion fixed A431 human epithelial carcinoma cell line using Goat Anti-Human LITAF Antigen Affinity-purified Polyclonal Antibody (Catalog # AF4695) at 10 µg/mL for 3 hours at room temperature. Cells were stained using the NorthernLights™ 557-conjugated Anti-Goat IgG Secondary Antibody (red; Catalog # NL001) and counterstained with DAPI (blue). Specific staining was localized to cell surfaces. View our protocol for Fluorescent ICC Staining of Cells on Coverslips.LITAF in Human Small Intestine.
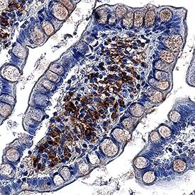
LITAF was detected in immersion fixed paraffin-embedded sections of human small intestine using Goat Anti-Human LITAF Antigen Affinity-purified Polyclonal Antibody (Catalog # AF4695) at 1.7 µg/mL overnight at 4 °C. Tissue was stained using the Anti-Goat HRP-DAB Cell & Tissue Staining Kit (brown; Catalog # CTS008) and counterstained with hematoxylin (blue). Specific staining was localized to cytoplasm of lymphocytes in lamina propria in intestinal villi. View our protocol for Chromogenic IHC Staining of Paraffin-embedded Tissue Sections.Applications for Human LITAF Antibody
Application
Recommended Usage
Immunocytochemistry
5-15 µg/mL
Sample: Immersion fixed A431 human epithelial carcinoma cell line
Sample: Immersion fixed A431 human epithelial carcinoma cell line
Immunohistochemistry
1-15 µg/mL
Sample: Immersion fixed paraffin-embedded sections of human small intestine
Sample: Immersion fixed paraffin-embedded sections of human small intestine
Western Blot
1 µg/mL
Sample: A431 human epithelial carcinoma cell line, HeLa human cervical epithelial carcinoma cell line, HepG2 human hepatocellular carcinoma cell line, and MCF-7 human breast cancer cell line
Sample: A431 human epithelial carcinoma cell line, HeLa human cervical epithelial carcinoma cell line, HepG2 human hepatocellular carcinoma cell line, and MCF-7 human breast cancer cell line
Formulation, Preparation, and Storage
Purification
Antigen Affinity-purified
Reconstitution
Reconstitute at 0.2 mg/mL in sterile PBS. For liquid material, refer to CoA for concentration.
Formulation
Lyophilized from a 0.2 μm filtered solution in PBS with Trehalose. *Small pack size (SP) is supplied either lyophilized or as a 0.2 µm filtered solution in PBS.
Shipping
Lyophilized product is shipped at ambient temperature. Liquid small pack size (-SP) is shipped with polar packs. Upon receipt, store immediately at the temperature recommended below.
Stability & Storage
Use a manual defrost freezer and avoid repeated freeze-thaw cycles.
- 12 months from date of receipt, -20 to -70 °C as supplied.
- 1 month, 2 to 8 °C under sterile conditions after reconstitution.
- 6 months, -20 to -70 °C under sterile conditions after reconstitution.
Background: LITAF
(Charcot‑Marie-Tooth neuropathy type 1C) an autosomal dominant demyelinating form of peripheral neuropathy.
Long Name
Lipopolysaccharide-induced TNF Factor
Alternate Names
PIG7, SIMPLE, TP53I7
Gene Symbol
LITAF
UniProt
Additional LITAF Products
Product Documents for Human LITAF Antibody
Product Specific Notices for Human LITAF Antibody
For research use only
Loading...
Loading...
Loading...
Loading...