Skip to main content

Key Product Details

Species Reactivity

Validated:

Human

Cited:

Human

Applications

Validated:

Immunohistochemistry, Western Blot, Neutralization, Flow Cytometry, CyTOF-ready

Cited:

Immunohistochemistry, Western Blot, Neutralization

Label

Unconjugated

Antibody Source

Polyclonal Goat IgG

Product Specifications

Immunogen

Mouse myeloma cell line NS0-derived recombinant human LILRB2/CD85d/ILT4
Gly24-His458
Accession # Q8N423

Specificity

Detects human LILRB2/CD85d/ILT4 in direct ELISAs and Western blots. In direct ELISAs and Western blots, approximately35% cross-reactivity with recombinant human (rh) ILT2 is observed and 5% cross-reactivity with rhILT5 is observed.

Clonality

Polyclonal

Host

Goat

Isotype

IgG

Endotoxin Level

<0.10 EU per 1 μg of the antibody by the LAL method.

Scientific Data Images for Human LILRB2/CD85d/ILT4 Antibody

Cell Adhesion Mediated by LILRB2/CD85d/ILT4 and Neutralization by Human LILRB2/CD85d/ILT4 Antibody.

Cell Adhesion Mediated by LILRB2/CD85d/ILT4 and Neutralization by Human LILRB2/CD85d/ILT4 Antibody.

Recombinant Human LILRB2/CD85d/ILT4 Fc Chimera (2078-T4), immobilized onto a microplate, supports the adhesion of the HSB2 human peripheral blood acute lymphoblastic leukemia cell line in a dose-dependent manner (orange line). Adhesion elicited by Recombinant Human LILRB2/CD85d/ILT4 Fc Chimera (35 µg/mL) is neutralized (green line) by increasing concentrations of Goat Anti-Human LILRB2/CD85d/ILT4 Antigen Affinity-purified Polyclonal Antibody (Catalog # AF2078). The ND50 is typically 0.3-1.0 µg/mL.

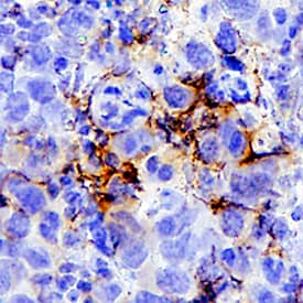
Detection of LILRB2/CD85d/ILT4 in Human Malignant Lymph Node.

LILRB2/CD85d/ILT4 was detected in immersion fixed paraffin-embedded sections of Human Malignant Lymph Node using Goat Anti-Human LILRB2/CD85d/ILT4 Antigen Affinity-purified Polyclonal Antibody (Catalog # AF2078) at 3 µg/mL for 1 hour at room temperature followed by incubation with the Anti-Goat IgG VisUCyte™ HRP Polymer Antibody (Catalog # VC004). Before incubation with the primary antibody, tissue was subjected to heat-induced epitope retrieval using VisUCyte Antigen Retrieval Reagent-Basic (Catalog # VCTS021). Tissue was stained using DAB (brown) and counterstained with hematoxylin (blue). Specific staining was localized to cell surface. View our protocol for IHC Staining with VisUCyte HRP Polymer Detection Reagents.

Applications for Human LILRB2/CD85d/ILT4 Antibody

Application
Recommended Usage

CyTOF-ready

Ready to be labeled using established conjugation methods. No BSA or other carrier proteins that could interfere with conjugation.

Flow Cytometry

2.5 µg/106 cells
Sample: Human peripheral blood monocytes

Immunohistochemistry

3-25 µg/mL
Sample: Immersion fixed paraffin-embedded sections of Human Malignant Lymph Node

Western Blot

0.1 µg/mL
Sample: Recombinant Human LILRB2/CD85d/ILT4 Fc Chimera (Catalog # 2078-T4)

Neutralization

Measured by its ability to neutralize LILRB2/CD85d/ILT4-mediated adhesion of the HSB2 human peripheral blood acute lymphoblastic leukemia cell line. Cosman, D. et al. (1997) Immunity 7:273. The Neutralization Dose (ND50) is typically 0.3-1.0 µg/mL in the presence of 35 µg/mL Recombinant Human LILRB2/CD85d/ILT4 Fc Chimera.

Reviewed Applications

Read 2 reviews rated 4 using AF2078 in the following applications:

Formulation, Preparation, and Storage

Purification

Antigen Affinity-purified

Reconstitution

Reconstitute at 0.2 mg/mL in sterile PBS. For liquid material, refer to CoA for concentration.

Reconstitution Buffer Available:
Size / Price
Qty
Loading...

Formulation

Lyophilized from a 0.2 μm filtered solution in PBS with Trehalose. *Small pack size (SP) is supplied either lyophilized or as a 0.2 µm filtered solution in PBS.

Shipping

Lyophilized product is shipped at ambient temperature. Liquid small pack size (-SP) is shipped with polar packs. Upon receipt, store immediately at the temperature recommended below.

Stability & Storage

Use a manual defrost freezer and avoid repeated freeze-thaw cycles.
  • 12 months from date of receipt, -20 to -70 °C as supplied.
  • 1 month, 2 to 8 °C under sterile conditions after reconstitution.
  • 6 months, -20 to -70 °C under sterile conditions after reconstitution.

Background: LILRB2/CD85d/ILT4

The immunoglobulin-like transcript (ILT) comprise a family of activating and inhibitory type immunoreceptors whose genes are located in the same locus that encodes killer cell Ig-like receptors (KIR) (1‑3). ILT4, also known as LIR-2 and LILRB2, is a type I transmembrane protein expressed primarily on monocytes and dendritic cells (DC) (4). Human ILT4 is produced as a 598 amino acid (aa) precursor including a 21 aa signal sequence, a 440 aa extracellular domain (ECD), a 21 aa transmembrane segment, and a 116 aa cytoplasmic domain. The ECD contains four Ig-like domains, and the cytoplasmic domain contains three immunoreceptor tyrosine-based inhibitory motifs (ITIM) (5). The ECD of human ILT4 shares 76% aa identity with chimpanzee ILT4 and 74%, 81%, 33%, 52%, 77%, 61%, and 64% aa identity with human ILT1, 2, 3, 5, 6, 7, and 8, respectively. ILT4 binds to classical MHC I proteins as well as the non-classical HLA-G1 and HLA-F molecules (5‑9). It competes with CD8 alpha for MHC I binding but does not compete with KIR2DL1 (7). Ligation of ILT4 induces Tyr phosphorylation within its cytoplasmic ITIMs, a requirement for association with SHP-1 (4, 6). Activation of ILT4 inhibits signaling through Fc gamma RI (4) and Fc epsilon RI (6) and causes DC to become tolerogenic by down-regulation of
co-stimulatory molecules (10, 11). ILT4 mediates tolerogenic DC-induced CD4+ T cell energy in vitro and in vivo (10‑12).

References

  1. Suciu-Foca, N. et al. (2005) Int. Immunopharmacol. 5:7. 
  2. Hofmeister, V. and E.H. Weiss (2003) Semin. Canc. Biol. 13:317. 
  3. Hunt, J.S. et al. (2005) FASEB J. 19:681. 
  4. Finger, N.A. et al. (1998) Eur. J. Immunol. 28:3423. 
  5. Borges, L. et al. (1997) J. Immunol. 159:5192. 
  6. Colonna, M. et al. (1998) J. Immunol. 160:3096. 
  7. Shiroishi, M. et al. (2003) Proc. Natl. Acad. Sci. 100:8856.
  8. Lepin, E.J.M. et al. (2000) Eur. J. Immunol. 30:3552.
  9. Allen, R.L. et al. (2001) J. Immunol. 167:5543.
  10. Chang, C.C. et al. (2002) Nat. Immunol. 3:237.
  11. Ristich, V. et al. (2005) Eur. J. Immunol. 35:1133.
  12. Manavalan, J.S. et al. (2003) Transpl. Immunol. 11:245.

Long Name

Leukocyte Immunoglobulin-like Receptor, Subfamily B (with TM and ITIM Domains), Member 5

Alternate Names

CD85d, ILT4, LIR2, MIR10

Entrez Gene IDs

10288 (Human)

Gene Symbol

LILRB2

UniProt

Additional LILRB2/CD85d/ILT4 Products

Product Documents for Human LILRB2/CD85d/ILT4 Antibody

Certificate of Analysis

To download a Certificate of Analysis, please enter a lot number in the search box below.

Note: Certificate of Analysis not available for kit components.

Product Specific Notices for Human LILRB2/CD85d/ILT4 Antibody

For research use only

Loading...
Loading...
Loading...
Loading...
Loading...