Skip to main content

Key Product Details

Species Reactivity

Human

Applications

Immunohistochemistry, Western Blot

Label

Unconjugated

Antibody Source

Polyclonal Sheep IgG

Product Specifications

Immunogen

E. coli-derived recombinant human LH beta
Ser21-Leu141
Accession # P01229

Specificity

Detects human LH beta in direct ELISAs and Western blots.

Clonality

Polyclonal

Host

Sheep

Isotype

IgG

Scientific Data Images for Human LH beta Antibody

Detection of Human LH beta antibody by Western Blot.

Detection of Human LH beta by Western Blot.

Western blot shows lysates of human pituitary gland tissue. PVDF membrane was probed with 0.5 µg/mL of Sheep Anti-Human LH beta Antigen Affinity-purified Polyclonal Antibody (Catalog # AF8016) followed by HRP-conjugated Anti-Sheep IgG Secondary Antibody (Catalog # HAF016). A specific band was detected for LH beta at approximately 17-19 kDa (as indicated). This experiment was conducted under reducing conditions and using Immunoblot Buffer Group 1.
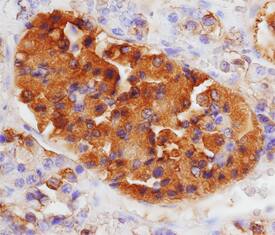
LH beta antibody in Human Pituitary Adenoma by Immunohistochemistry (IHC-P).

LH beta in Human Pituitary Adenoma.

LH beta was detected in immersion fixed paraffin-embedded sections of human pituitary adenoma using Sheep Anti-Human LH beta Antigen Affinity-purified Polyclonal Antibody (Catalog # AF8016) at 1 µg/mL overnight at 4 °C. Before incubation with the primary antibody, tissue was subjected to heat-induced epitope retrieval using Antigen Retrieval Reagent-Basic (Catalog # CTS013). Tissue was stained using the Anti-Sheep HRP-DAB Cell & Tissue Staining Kit (brown; Catalog # CTS019) and counter-stained with hematoxylin (blue). Specific staining was localized to cytoplasm of pituitary cells. View our protocol for Chromogenic IHC Staining of Paraffin-embedded Tissue Sections.

Applications for Human LH beta Antibody

Application
Recommended Usage

Immunohistochemistry

5-15 µg/mL
Sample: Immersion fixed paraffin-embedded sections of human pituitary adenoma

Western Blot

0.5 µg/mL
Sample: Human pituitary gland tissue

Formulation, Preparation, and Storage

Purification

Antigen Affinity-purified

Reconstitution

Sterile PBS to a final concentration of 0.2 mg/mL. For liquid material, refer to CoA for concentration.

Reconstitution Buffer Available:
Size / Price
Qty
Loading...

Formulation

Lyophilized from a 0.2 μm filtered solution in PBS with Trehalose. *Small pack size (SP) is supplied either lyophilized or as a 0.2 µm filtered solution in PBS.

Shipping

Lyophilized product is shipped at ambient temperature. Liquid small pack size (-SP) is shipped with polar packs. Upon receipt, store immediately at the temperature recommended below.

Stability & Storage

Use a manual defrost freezer and avoid repeated freeze-thaw cycles.
  • 12 months from date of receipt, -20 to -70 °C as supplied.
  • 1 month, 2 to 8 °C under sterile conditions after reconstitution.
  • 6 months, -20 to -70 °C under sterile conditions after reconstitution.

Background: LH beta

LH beta (Luteinizing Hormone subunit beta; also LSH-B and lutropin beta chain) is a 17-19 kDa member of the glycoprotein hormone subunit beta family, cysteine knot superfamily of proteins. It is synthesized by gonadotrophs in the anterior pituitary, and noncovalently heterodimerizes with the 21-23 kDa common glycoprotein alpha chain, forming 40-42 kDa LH. LH has effects on at least three organ systems. In the ovary, LH induces the synthesis of testosterone, which is quickly converted to estradiol. Estradiol subsequently induces a bolus release of LH from the pituitary, resulting in ovulation. LH now drives the formation of the corpus luteum (or yellow body, from luteus meaning yellow) with the production of progesterone. In the testis, LH induces Leydig cell production of testosterone that activates genes in Sertoli cells drives sperm formation. And in the adrenal, LH appears to induce secretion of sulfated DHEA, a precursor to androgens. Mature human LH beta is 121 amino acids (aa) in length (aa 21-141). It contains three intrachain disulfide bonds that form a cysteine knot, plus one utilized N-linked glycosylation site at Asn50 that incorporates both fucose and sulfate on galactose. The presence of carbohydrate is necessary for bioactivity. Multiple isoforms of LH exist, and likely represent variations in carbohydrate structure. Full-length human LH beta shares 82% and 72% aa sequence identity between human chorionic gonadotrophin/CG beta and mouse LH beta subunits, respectively.

Long Name

Luteinizing Hormone beta Polypeptide

Alternate Names

CGB4, LHB, LSH-B, Lutropin beta

Entrez Gene IDs

3972 (Human); 16866 (Mouse); 25329 (Rat)

Gene Symbol

LHB

UniProt

Additional LH beta Products

Product Documents for Human LH beta Antibody

Certificate of Analysis

To download a Certificate of Analysis, please enter a lot number in the search box below.

Note: Certificate of Analysis not available for kit components.

Product Specific Notices for Human LH beta Antibody

For research use only

Loading...
Loading...
Loading...
Loading...