Skip to main content

Human Leptin R Antibody

R&D Systems, part of Bio-Techne | Catalog # MAB867

R&D Systems, part of Bio-Techne

Key Product Details

Species Reactivity

Validated:

Human

Cited:

Human

Applications

Validated:

Immunohistochemistry, Western Blot, Flow Cytometry, CyTOF-ready

Cited:

Immunohistochemistry, Immunohistochemistry-Paraffin, Western Blot, Flow Cytometry, Immunocytochemistry

Label

Unconjugated

Antibody Source

Monoclonal Mouse IgG2B Clone # 52263

Product Specifications

Immunogen

Mouse myeloma cell line NS0-derived recombinant human Leptin R
Phe22-Asp839 (predicted)
Accession # P48357

Specificity

Detects human Leptin R in direct ELISAs and Western blots. In Western blots, cross reactivity with recombinant mouse Leptin R is observed.

Clonality

Monoclonal

Host

Mouse

Isotype

IgG2B

Scientific Data Images for Human Leptin R Antibody

Detection of Recombinant Human Leptin R antibody by Western Blot.

Detection of Recombinant Human Leptin R by Western Blot.

Western blot shows 25 ng of Recombinant Human Leptin R Fc Chimera (Catalog # 389-LR) and Recombinant Mouse Leptin R Fc Chimera (Catalog # 497-LR). PVDF Membrane was probed with 1 µg/mL of Mouse Anti-Human Leptin R Monoclonal Antibody (Catalog # MAB867) followed by HRP-conjugated Anti-Mouse IgG Secondary Antibody (Catalog # HAF007). A specific band was detected for Leptin R at approximately 155-200 kDa (as indicated). This experiment was conducted under reducing conditions and using Immunoblot Buffer Group 3.
Detection of Leptin R antibody in Human Monocytes antibody by Flow Cytometry.

Detection of Leptin R in Human Monocytes by Flow Cytometry.

Human whole blood monocytes were stained with Human Leptin R Monoclonal Antibody (Catalog # MAB867, filled histogram) or isotype control antibody (Catalog # MAB0041, open histogram), followed by Phycoerythrin-conjugated Anti-Mouse IgG F(ab')2Secondary Antibody (Catalog # F0102B).

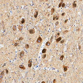
Detection of Leptin R in Human Hypothalamus.

Leptin R was detected in immersion fixed paraffin-embedded sections of human hypothalamus using Mouse Anti-Human Leptin R Monoclonal Antibody (Catalog # MAB867) at 1.7 µg/ml for 1 hour at room temperature followed by incubation with the Anti-Mouse IgG VisUCyte™ HRP Polymer Antibody (Catalog # VC001) or the HRP-conjugated Anti-Mouse IgG Secondary Antibody (Catalog # HAF007). Before incubation with the primary antibody, tissue was subjected to heat-induced epitope retrieval using VisUCyte Antigen Retrieval Reagent-Basic (Catalog # VCTS021). Tissue was stained using DAB (brown) and counterstained with hematoxylin (blue). Specific staining was localized to the cell surface of neurons. View our protocol for IHC Staining with VisUCyte HRP Polymer Detection Reagents.

Applications for Human Leptin R Antibody

Application
Recommended Usage

CyTOF-ready

Ready to be labeled using established conjugation methods. No BSA or other carrier proteins that could interfere with conjugation.

Flow Cytometry

2.5 µg/106 cells
Sample: Human whole blood monocytes

Immunohistochemistry

1.7-25 µg/mL
Sample: Immersion fixed paraffin-embedded sections of human hypothalamus

Western Blot

1 µg/mL
Sample: Recombinant Human Leptin R Fc Chimera (Catalog # 389-LR)

Reviewed Applications

Read 1 review rated 4 using MAB867 in the following applications:

Formulation, Preparation, and Storage

Purification

Protein A or G purified from ascites

Reconstitution

Reconstitute at 0.5 mg/mL in sterile PBS. For liquid material, refer to CoA for concentration.

Reconstitution Buffer Available:
Size / Price
Qty
Loading...

Formulation

Lyophilized from a 0.2 μm filtered solution in PBS with Trehalose. See Certificate of Analysis for details.
*Small pack size (-SP) is supplied either lyophilized or as a 0.2 µm filtered solution in PBS.

Shipping

Lyophilized product is shipped at ambient temperature. Liquid small pack size (-SP) is shipped with polar packs. Upon receipt, store immediately at the temperature recommended below.

Stability & Storage

Use a manual defrost freezer and avoid repeated freeze-thaw cycles.
  • 12 months from date of receipt, -20 to -70 °C as supplied.
  • 1 month, 2 to 8 °C under sterile conditions after reconstitution.
  • 6 months, -20 to -70 °C under sterile conditions after reconstitution.

Background: Leptin R

Leptin receptor (OB-R), also named B219, is a type I cytokine receptor family protein with significant amino acid sequence identity with gp130, G-CSF receptor, and the LIF receptor. Multiple isoforms of human and mouse OB-R, including a long form (OB-RL) with a large cytoplasmic domain capable of signal-transduction, and several receptor isoforms with short cytoplasmic domains (OB-Rs) lacking signal-transducing capabilities, have been identified. The extracellular domains of the short and long forms of OB-R are identical. An OB-R transcript, lacking a transmembrane domain and potentially encoding a soluble form of the receptor, has also been described. OB-RL transcripts were reported to be expressed predominantly in regions of the hypothalamus previously thought to be important in body weight regulation. Expression of OB-Rs transcripts have been found in multiple tissues, including the choroid plexus, lung, kidney, and primitive hematopoietic cell populations. OB-R has been shown to be encoded by the mouse diabetes (db) and rat fatty (fa) genes. Rodents homozygous for the db or fa mutations have been known to exhibit an obesity phenotype. Human OB-R long form encodes a 1165 amino acid (aa) precursor protein with a 22 aa signal peptide, an 819 aa extracellular domain, a 21 aa transmembrane domain and a 303 aa cytoplasmic domain. The extracellular domain of OB-R contain two hemopoietin receptor domains, a fibronectin type III domain and the WSXWS domain. Recombinant soluble OB-R has been shown to bind Leptin with high affinity and is a potent Leptin antagonist.

References

  1. Tartaglia, L.A. et al. (1995) Cell 83:1263.
  2. Cioffi, J.A. et al. (1996) Nature Medicine 2:585.
  3. Tartaglia, L.A. (1997) J. Biol. Chem. 272:6093.

Long Name

Leptin Receptor

Alternate Names

B219, CD295, LEPR, LeptinR, OB R

Entrez Gene IDs

3953 (Human); 16847 (Mouse)

Gene Symbol

LEPR

UniProt

Additional Leptin R Products

Product Documents for Human Leptin R Antibody

Certificate of Analysis

To download a Certificate of Analysis, please enter a lot number in the search box below.

Note: Certificate of Analysis not available for kit components.

Product Specific Notices for Human Leptin R Antibody

For research use only

Loading...
Loading...
Loading...
Loading...
Loading...
Loading...