Human Leptin/OB Antibody
R&D Systems, part of Bio-Techne | Catalog # AF398
Key Product Details
Species Reactivity
Validated:
Cited:
Applications
Validated:
Cited:
Label
Antibody Source
Product Specifications
Immunogen
Val22-Cys167
Accession # Q6NT58
Specificity
Clonality
Host
Isotype
Endotoxin Level
Scientific Data Images for Human Leptin/OB Antibody
Detection of Recombinant Human, Mouse, and Rat Leptin/OB by Western Blot.
Western blot shows 100 ng of Recombinant Human Leptin/OB (Catalog # 398-LP), Recombinant Mouse Leptin/OB (Catalog # 498-OB) and Recombinant Rat Leptin/OB (Catalog # 598-LP). PVDF Membrane was probed with 0.1 µg/mL of Goat Anti-Human Leptin/OB Antigen Affinity-purified Polyclonal Antibody (Catalog # AF398) followed by HRP-conjugated Anti-Goat IgG Secondary Antibody (Catalog # HAF109). A specific band was detected for Leptin/OB at approximately 12 kDa (as indicated). This experiment was conducted under reducing conditions and using Immunoblot Buffer Group 3.Leptin/OB in Human Stomach.
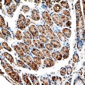
Leptin/OB was detected in immersion fixed paraffin-embedded sections of human stomach using Goat Anti-Human Leptin/OB Antigen Affinity-purified Polyclonal Antibody (Catalog # AF398) at 10 µg/mL overnight at 4 °C. Tissue was stained using the Anti-Goat HRP-DAB Cell & Tissue Staining Kit (brown; Catalog # CTS008) and counterstained with hematoxylin (blue). Specific staining was localized to cytoplasm in gastric glands. View our protocol for Chromogenic IHC Staining of Paraffin-embedded Tissue Sections.Cell Proliferation Induced by Leptin/OB and Neutralization by Human Leptin/OB Antibody.
Recombinant Human Leptin/OB (Catalog # 398-LP) stimulates proliferation in the BaF3 mouse pro-B cell line transfected with human Leptin R in a dose-dependent manner (orange line). Proliferation elicited by Recombinant Human Leptin/OB (7.5 ng/mL) is neutralized (green line) by increasing concentrations of Goat Anti-Human Leptin/OB Antigen Affinity-purified Polyclonal Antibody (Catalog # AF398). The ND50 is typically 0.5-3.0 µg/mL.Applications for Human Leptin/OB Antibody
Immunohistochemistry
Sample: Immersion fixed paraffin-embedded sections of human stomach
Western Blot
Sample: Recombinant Human Leptin/OB (Catalog # 398-LP), Recombinant Mouse Leptin/OB (Catalog # 498-OB) and Recombinant Rat Leptin/OB (Catalog # 598-LP)
Neutralization
Formulation, Preparation, and Storage
Purification
Reconstitution
Formulation
Shipping
Stability & Storage
- 12 months from date of receipt, -20 to -70 °C as supplied.
- 1 month, 2 to 8 °C under sterile conditions after reconstitution.
- 6 months, -20 to -70 °C under sterile conditions after reconstitution.
Background: Leptin/OB
Leptin is a protein product of the mouse obese gene. Mice with mutations in the obese gene that block the sythesis of Leptin have been found to be obese, diabetic and to have reduced activity, metabolism and body temperature. cDNA clones encoding Leptin have been isolated from human, simian, mouse and rat cells. Human Leptin shares approximately 84% sequence identity with the mouse protein. Human Leptin cDNA encodes a 167 amino acid residue protein with a 21 amino acid residue signal sequence that is cleaved to yield the 146 amino acid residue mature protein. The expression of Leptin mRNA has been shown to be restricted to adipose tissue.
A high-affinity receptor for Leptin (OB-R) with homology to gp130 and the G-CSF receptor has been cloned. OB-R mRNA has been shown to be expressed in the choroid plexus and in the hypothalamus. OB-R has also been identified as an isoform of B219, a sequence that is expressed in at least four isoforms in very primitive hematopoietic cell populations and in a variety of lymphohematopoietic cell lines (1 - 3). The roles of leptin in body weight regulation, hematopoiesis and reproduction continue to be investigated.
References
- Considine, R. and J. Caro (1996) Clinical Chemistry 42:843.
- Tartaglia, L.A. et al. (1995) Cell 83:1263.
- Cioffi, J.A. et al. (1996) Nature Medicine 2:585.
Alternate Names
Gene Symbol
UniProt
Additional Leptin/OB Products
Product Documents for Human Leptin/OB Antibody
Product Specific Notices for Human Leptin/OB Antibody
For research use only