Skip to main content

Key Product Details

Species Reactivity

Human

Applications

Immunohistochemistry, Western Blot

Label

Unconjugated

Antibody Source

Recombinant Monoclonal Rabbit IgG Clone # 2312D

Product Specifications

Immunogen

Synthetic peptide containing human LC3A peptide
Accession # Q9H492

Specificity

Detects human LC3A in direct ELISA.

Clonality

Monoclonal

Host

Rabbit

Isotype

IgG

Scientific Data Images for Human LC3A Antibody

Detection of Human LC3A antibody by Western Blot.

Detection of Human LC3A by Western Blot.

Western blot shows lysates of A549 human lung carcinoma cell line and human brain (cortex) tissue. PVDF membrane was probed with 1 µg/mL of Rabbit Anti-Human LC3A Monoclonal Antibody (Catalog # MAB9915) followed by HRP-conjugated Anti-Rabbit IgG Secondary Antibody (Catalog # HAF008). A specific band was detected for LC3A at approximately 16 kDa (as indicated). This experiment was conducted under reducing conditions and using Immunoblot Buffer Group 1.
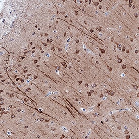
LC3A antibody in Human Brain by Immunohistochemistry (IHC-P).

LC3A in Human Brain.

LC3A was detected in immersion fixed paraffin-embedded sections of human brain (frontal cortex) using Rabbit Anti-Human LC3A Monoclonal Antibody (Catalog # MAB9915) at 3 µg/mL for 1 hour at room temperature followed by incubation with the Anti-Rabbit IgG VisUCyte™ HRP Polymer Antibody (Catalog # VC003). Tissue was stained using DAB (brown) and counterstained with hematoxylin (blue). Specific staining was localized to nuclei. View our protocol for IHC Staining with VisUCyte HRP Polymer Detection Reagents.

Applications for Human LC3A Antibody

Application
Recommended Usage

Immunohistochemistry

3-25 µg/mL
Sample:

Immersion fixed paraffin-embedded sections of human brain (frontal cortex)

Western Blot

1 µg/mL
Sample: A549 human lung carcinoma cell line and Human brain (cortex) tissue

Formulation, Preparation, and Storage

Purification

Protein A or G purified from cell culture supernatant

Reconstitution

Reconstitute at 0.5 mg/mL in sterile PBS. For liquid material, refer to CoA for concentration.

Reconstitution Buffer Available:
Size / Price
Qty
Loading...

Formulation

Lyophilized from a 0.2 μm filtered solution in PBS with Trehalose. *Small pack size (SP) is supplied either lyophilized or as a 0.2 µm filtered solution in PBS.

Shipping

Lyophilized product is shipped at ambient temperature. Liquid small pack size (-SP) is shipped with polar packs. Upon receipt, store immediately at the temperature recommended below.

Stability & Storage

Use a manual defrost freezer and avoid repeated freeze-thaw cycles.
  • 12 months from date of receipt, -20 to -70 °C as supplied.
  • 1 month, 2 to 8 °C under sterile conditions after reconstitution.
  • 6 months, -20 to -70 °C under sterile conditions after reconstitution.

Background: LC3A

Human Microtubule-associated Protein (MAP) Light Chain 3 (LC3) A is a121 amino acid (aa) protein with a predicted molecular weight of 14 kDa. It is a member of the LC3 subfamily of Autophagy-related 8 (Atg8) proteins (1). The LC3 subfamily also includes LC3B andLC3C. LC3 exhibits 100% aa sequence identity with its mouse and rat orthologs, and is orthologous to the yeast autophagy-related protein Atg8. Atg8 family members show structural similarity with Ubiquitin, but lack aa sequence similarity. LC3 was originally described as part is part of a complex that includes heavy and light chains comprising the MAP1 family of microtubule regulatory proteins (3). However, LC3 has gained attention for MAP1-independent functions in autophagy. LC3 utilizes a ubiquitin-like conjugation system that includes E1-, E2-, and E3-like enzymes to covalently attach phosphatidylethanolamine (PE) to its C-terminus, incorporating it into the phagophore membrane during the early stages of autophagasome formation (4). Recruitment of LC3 to the phagophore may promote membrane elongation (4,5). It may also be involved in cargo recruitment to autophagosomes (1). LC3 is often used as a marker of autophagy. 

References

  1. Shpilka, T. et al. (2011) Genome Biol. 12:226.
  2. He, H. et al. (2003) J. Biol. Chem. 278:29278.
  3. Kuznetsov, S.A. & V.I. Gelfand (1987) FEBS Let. 212:145.
  4. Weidberg, H. et al. (2011) Ann Rev. Biochem. 80:125.
  5. Weidberg, H. et al. (2010) EMBO J. 29:1792. 

Long Name

Microtubule-associated Protein 1 Light Chain 3 alpha

Alternate Names

Apg8, APG8a, Apg8p3, ATG8E, LC3, MAP1ALC3, MAP1LC3A, MLP3A

Entrez Gene IDs

84557 (Human); 66734 (Mouse); 362245 (Rat); 852200 (Yeast)

Gene Symbol

MAP1LC3A

UniProt

Additional LC3A Products

Product Documents for Human LC3A Antibody

Certificate of Analysis

To download a Certificate of Analysis, please enter a lot number in the search box below.

Note: Certificate of Analysis not available for kit components.

Product Specific Notices for Human LC3A Antibody

For research use only

Loading...
Loading...
Loading...
Loading...
Loading...