Skip to main content

Key Product Details

Species Reactivity

Validated:

Human

Cited:

Human

Applications

Validated:

Immunohistochemistry, Western Blot, Neutralization, Immunocytochemistry, Simple Western

Cited:

Western Blot, Neutralization, Immunocytochemistry, Bioassay

Label

Unconjugated

Antibody Source

Polyclonal Sheep IgG

Product Specifications

Immunogen

Chinese hamster ovary cell line CHO-derived recombinant human Laminin alpha4
Gln826-Ala1816, predicted
Accession # EAW48267

Specificity

Detects human Laminin alpha4 in direct ELISAs and Western blots. In direct ELISAs, approximately 15% cross-reactivity with recombinant mouse Laminin alpha4 is observed.

Clonality

Polyclonal

Host

Sheep

Isotype

IgG

Endotoxin Level

<0.10 EU per 1 μg of the antibody by the LAL method.

Scientific Data Images for Human Laminin  alpha4 Antibody

Detection of Human Laminin a4 antibody by Western Blot.

Detection of Human Laminin alpha4 by Western Blot.

Western blot shows lysates of human placenta tissue. PVDF membrane was probed with 2 µg/mL of Sheep Anti-Human Laminin a4 Antigen Affinity-purified Polyclonal Antibody (Catalog # AF7340) followed by HRP-conjugated Anti-Sheep IgG Secondary Antibody (Catalog # HAF016). A specific band was detected for Laminin a4 at approximately 200-220 kDa (as indicated). This experiment was conducted under reducing conditions and using Immunoblot Buffer Group 1.
Laminin a4 antibody in T98G Human Cell Line by Immunocytochemistry (ICC).

Laminin alpha4 in T98G Human Cell Line.

Laminin a4 was detected in immersion fixed T98G human glioblastoma cell line, induced (upper panel) or not (lower panel) with StemXVivo EMT Inducing Media Supplement (Catalog # CCM017) , using Sheep Anti-Human Laminin a4 Antigen Affinity-purified Polyclonal Antibody (Catalog # AF7340) at 10 µg/mL for 3 hours at room temperature. Cells were stained using the NorthernLights™ 557-conjugated Anti-Sheep IgG Secondary Antibody (red; Catalog # NL010) and counterstained with DAPI (blue). Specific staining was localized to cytoplasm and cell surfaces. View our protocol for Fluorescent ICC Staining of Cells on Coverslips.
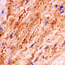
Laminin a4 antibody in Human Placenta by Immunohistochemistry (IHC-P).

Laminin alpha4 in Human Placenta.

Laminin a4 was detected in immersion fixed paraffin-embedded sections of human placenta using Sheep Anti-Human Laminin a4 Antigen Affinity-purified Polyclonal Antibody (Catalog # AF7340) at 3 µg/mL for 1 hour at room temperature followed by incubation with the Anti-Sheep IgG VisUCyte™ HRP Polymer Antibody (Catalog # VC006). Before incubation with the primary antibody, tissue was subjected to heat-induced epitope retrieval using Antigen Retrieval Reagent-Basic (Catalog # CTS013). Tissue was stained using DAB (brown) and counterstained with hematoxylin (blue). Specific staining was localized to Golgi apparatus. View our protocol for IHC Staining with VisUCyte HRP Polymer Detection Reagents.

Applications for Human Laminin  alpha4 Antibody

Application
Recommended Usage

Immunocytochemistry

5-15 µg/mL
Sample: Immersion fixed T98G human glioblastoma cell line induced with EMT

Immunohistochemistry

3-25 µg/mL
Sample: Immersion fixed paraffin-embedded sections of human placenta

Simple Western

20 µg/mL
Sample: Human placenta tissue

Western Blot

2 µg/mL
Sample: Human placenta tissue

Neutralization

Measured by its ability to neutralize Laminin  alpha4-induced adhesion in the HT1080 human fibrosarcoma cell line. The Neutralization Dose (ND50) is typically 1.5-7.5 µg/mL in the presence of 5 µg/mL Recombinant Human Laminin  alpha4.

Formulation, Preparation, and Storage

Purification

Antigen Affinity-purified

Reconstitution

Sterile PBS to a final concentration of 0.2 mg/mL. For liquid material, refer to CoA for concentration.

Reconstitution Buffer Available:
Size / Price
Qty
Loading...

Formulation

Lyophilized from a 0.2 μm filtered solution in PBS with Trehalose. *Small pack size (SP) is supplied either lyophilized or as a 0.2 µm filtered solution in PBS.

Shipping

Lyophilized product is shipped at ambient temperature. Liquid small pack size (-SP) is shipped with polar packs. Upon receipt, store immediately at the temperature recommended below.

Stability & Storage

Use a manual defrost freezer and avoid repeated freeze-thaw cycles.
  • 12 months from date of receipt, -20 to -70 °C as supplied.
  • 1 month, 2 to 8 °C under sterile conditions after reconstitution.
  • 6 months, -20 to -70 °C under sterile conditions after reconstitution.

Background: Laminin alpha 4

Laminin alpha4 (LAMA-4 [Laminin subunit alpha 4]; also Laminin-14/423, -8/411 and -9/421 subunit alpha) is a 180-230 kDa secreted member of the laminin family of molecules. It is found in the basement membranes of adipocytes, endothelial cells, cardiac and visceral smooth muscle cells, fibroblasts, keratinocytes, and pancreatic acinar cells. Laminin is a heterotrimeric glycoprotein that attaches cells to basement membranes. It is composed of covalently-linked alpha-, beta- and gamma-chains, and is known to attach cells to basement membranes. In the case of the alpha-subunit, this is mediated through binding to multiple integrins ( alpha3 beta1, alphav beta3 and alpha6 beta1), plus dystroglycan and the syndecans-2 and -4. Mature human Laminin alpha4 is 1799 amino acids (aa) in length (aa 25-1823). It contains multiple domains, including four EGF‑like domains (aa 82-255) and five Laminin G-like domains (aa 833-1820). There is a chondroitin sulfate attachment at the N‑terminus that accounts for 20-30 kDa of MW. Laminin alpha4 is cleaved between the Laminin G-like 3 and 4 domains, creating a soluble 44 kDa fragment that possesses antibacterial activity. There are two potential splice variants, one that shows a deletion of aa 266-272, and another that contains a 55 aa substitution for aa 66-1823. Over aa 826-1816, human Laminin alpha4 shares 91% aa sequence identity with mouse Laminin alpha4.

Alternate Names

LAMA4

Entrez Gene IDs

3910 (Human); 16775 (Mouse); 309816 (Rat)

Gene Symbol

LAMA4

UniProt

Additional Laminin alpha 4 Products

Product Documents for Human Laminin  alpha4 Antibody

Certificate of Analysis

To download a Certificate of Analysis, please enter a lot number in the search box below.

Note: Certificate of Analysis not available for kit components.

Product Specific Notices for Human Laminin  alpha4 Antibody

For research use only

Loading...
Loading...
Loading...
Loading...