Skip to main content

Key Product Details

Species Reactivity

Validated:

Human

Cited:

Human, Mouse

Applications

Validated:

Immunohistochemistry, Western Blot, Immunocytochemistry

Cited:

Western Blot

Label

Unconjugated

Antibody Source

Monoclonal Mouse IgG2A Clone # 919007

Product Specifications

Immunogen

E. coli-derived recombinant human Lamin B1
Arg418-Ser582
Accession # P20700

Specificity

Detects human Lamin B1 in direct ELISAs.

Clonality

Monoclonal

Host

Mouse

Isotype

IgG2A

Scientific Data Images for Human Lamin B1 Antibody

Detection of Human Lamin B1 antibody by Western Blot.

Detection of Human Lamin B1 by Western Blot.

Western blot shows lysates of Jurkat human acute T cell leukemia cell line and MOLT-4 human acute lymphoblastic leukemia cell line. PVDF membrane was probed with 2 µg/mL of Mouse Anti-Human Lamin B1 Monoclonal Antibody (Catalog # MAB8525) followed by HRP-conjugated Anti-Mouse IgG Secondary Antibody (Catalog # HAF018). A specific band was detected for Lamin B1 at approximately 68 kDa (as indicated). This experiment was conducted under reducing conditions and using Immunoblot Buffer Group 1.
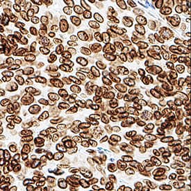
Lamin B1 antibody in Human Liver by Immunohistochemistry (IHC-P).

Lamin B1 in Human Liver.

Lamin B1 was detected in immersion fixed paraffin-embedded sections of human liver using Mouse Anti-Human Lamin B1 Monoclonal Antibody (Catalog # MAB8525) at 3 µg/mL for 1 hour at room temperature followed by incubation with the Anti-Mouse IgG VisUCyte™ HRP Polymer Antibody (Catalog # VC001). Tissue was stained using DAB (brown) and counterstained with hematoxylin (blue). Specific staining was localized to nuclear membrane. View our protocol for IHC Staining with VisUCyte HRP Polymer Detection Reagents.
Lamin B1 antibody in HeLa Human Cell Line by Immunocytochemistry (ICC).

Lamin B1 in HeLa Human Cell Line.

Lamin B1 was detected in immersion fixed HeLa human cervical epithelial carcinoma cell line using Mouse Anti-Human Lamin B1 Monoclonal Antibody (Catalog # MAB8525) at 8 µg/mL for 3 hours at room temperature. Cells were stained using the NorthernLights™ 557-conjugated Anti-Mouse IgG Secondary Antibody (red; Catalog # NL007) and counterstained with DAPI (blue). Specific staining was localized to nuclear membrane. View our protocol for Fluorescent ICC Staining of Cells on Coverslips.

Applications for Human Lamin B1 Antibody

Application
Recommended Usage

Immunocytochemistry

8-25 µg/mL
Sample: Immersion fixed HeLa human cervical epithelial carcinoma cell line

Immunohistochemistry

3-25 µg/mL
Sample: Immersion fixed paraffin-embedded sections of human liver

Western Blot

2 µg/mL
Sample: Jurkat human acute T cell leukemia cell line and MOLT‑4 human acute lymphoblastic leukemia cell line

Reviewed Applications

Read 1 review rated 5 using MAB8525 in the following applications:

Formulation, Preparation, and Storage

Purification

Protein A or G purified from hybridoma culture supernatant

Reconstitution

Reconstitute at 0.5 mg/mL in sterile PBS. For liquid material, refer to CoA for concentration.

Reconstitution Buffer Available:
Size / Price
Qty
Loading...

Formulation

Lyophilized from a 0.2 μm filtered solution in PBS with Trehalose. *Small pack size (SP) is supplied either lyophilized or as a 0.2 µm filtered solution in PBS.

Shipping

Lyophilized product is shipped at ambient temperature. Liquid small pack size (-SP) is shipped with polar packs. Upon receipt, store immediately at the temperature recommended below.

Stability & Storage

Use a manual defrost freezer and avoid repeated freeze-thaw cycles.
  • 12 months from date of receipt, -20 to -70 °C as supplied.
  • 1 month, 2 to 8 °C under sterile conditions after reconstitution.
  • 6 months, -20 to -70 °C under sterile conditions after reconstitution.

Background: Lamin B1

Lamins are components of the nuclear lamina, a fibrous layer on the nucleoplasmic side of the inner nuclear membrane, which is thought to provide a framework for the nuclear envelope and may also interact with chromatin. Lamin B1 is a heavily phosphorylated protein, with a calculated molecular weight of 66kDa.

Alternate Names

ADLD, LMN2, LMNB1

Entrez Gene IDs

4001 (Human); 16906 (Mouse)

Gene Symbol

LMNB1

UniProt

Additional Lamin B1 Products

Product Documents for Human Lamin B1 Antibody

Certificate of Analysis

To download a Certificate of Analysis, please enter a lot number in the search box below.

Note: Certificate of Analysis not available for kit components.

Product Specific Notices for Human Lamin B1 Antibody

For research use only

Loading...
Loading...
Loading...
Loading...