Skip to main content

Human LAG-3 Antibody

R&D Systems, part of Bio-Techne | Catalog # MAB23196

R&D Systems, part of Bio-Techne
Catalog #
Availability
Size / Price
Qty
Loading...
MAB23196-100
MAB23196-SP

Key Product Details

Species Reactivity

Human

Applications

Immunohistochemistry, Flow Cytometry, CyTOF-ready

Label

Unconjugated

Antibody Source

Monoclonal Mouse IgG2B Clone # 874512

Product Specifications

Immunogen

Mouse myeloma cell line NS0-derived recombinant human LAG-3
Leu23-Leu450
Accession # P18627

Specificity

Detects human LAG-3 in direct ELISAs.

Clonality

Monoclonal

Host

Mouse

Isotype

IgG2B

Scientific Data Images for Human LAG-3 Antibody

Detection of LAG-3 antibody in HEK293 Human Cell Line Transfected with Human LAG-3 and eGFP antibody by Flow Cytometry.

Detection of LAG-3 in HEK293 Human Cell Line Transfected with Human LAG-3 and eGFP by Flow Cytometry.

HEK293 human embryonic kidney cell line transfected with either (A) human LAG-3 or (B) irrelevant transfectants and eGFP was stained with Mouse Anti-Human LAG-3 Monoclonal Antibody (Catalog # MAB23196) followed by APC-conjugated Anti-Mouse IgG Secondary Antibody (Catalog # F0101B). Quadrant markers were set based on control antibody staining (Catalog # MAB0041, data not shown). View our protocol for Staining Membrane-associated Proteins.

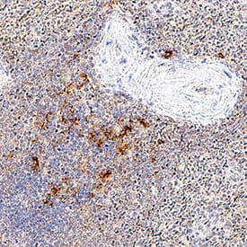
LAG-3 in Human Spleen.

LAG-3 was detected in immersion fixed paraffin-embedded sections of human spleen using Mouse Anti-Human LAG-3 Monoclonal Antibody (Catalog # MAB23196) at 5 µg/mL for 1 hour at room temperature followed by incubation with the Anti-Mouse IgG VisUCyte™ HRP Polymer Antibody (VC001). Before incubation with the primary antibody, tissue was subjected to heat-induced epitope retrieval using Antigen Retrieval Reagent-Basic (CTS013). Tissue was stained using DAB (brown) and counterstained with hematoxylin (blue). Specific staining was localized to lymphocytes. Staining was performed using our protocol for IHC Staining with VisUCyte HRP Polymer Detection Reagents.

LAG-3 in Mouse Spleen.

LAG-3 was detected in immersion fixed paraffin-embedded sections of mouse spleen using Mouse Anti-Human LAG-3 Monoclonal Antibody (Catalog # MAB23196) at 15 µg/mL for 1 hour at room temperature followed by incubation with the Anti-Mouse IgG VisUCyte™ HRP Polymer Antibody (VC001). Before incubation with the primary antibody, tissue was subjected to heat-induced epitope retrieval using Antigen Retrieval Reagent-Basic (CTS013). Tissue was stained using DAB (brown) and counterstained with hematoxylin (blue). Specific staining was localized to lymphocytes. Staining was performed our protocol for IHC Staining with VisUCyte HRP Polymer Detection Reagents.

Applications for Human LAG-3 Antibody

Application
Recommended Usage

CyTOF-ready

Ready to be labeled using established conjugation methods. No BSA or other carrier proteins that could interfere with conjugation.

Flow Cytometry

0.25 µg/106 cells
Sample:  HEK293 Human Cell Line Transfected with Human LAG-3 and eGFP

Immunohistochemistry

5-25 µg/mL
Sample: Immersion fixed paraffin-embedded sections of human spleen and mouse spleen

Formulation, Preparation, and Storage

Purification

Protein A or G purified from hybridoma culture supernatant

Reconstitution

Reconstitute at 0.5 mg/mL in sterile PBS. For liquid material, refer to CoA for concentration.

Reconstitution Buffer Available:
Size / Price
Qty
Loading...

Formulation

Lyophilized from a 0.2 μm filtered solution in PBS with Trehalose. *Small pack size (SP) is supplied either lyophilized or as a 0.2 µm filtered solution in PBS.

Shipping

Lyophilized product is shipped at ambient temperature. Liquid small pack size (-SP) is shipped with polar packs. Upon receipt, store immediately at the temperature recommended below.

Stability & Storage

Use a manual defrost freezer and avoid repeated freeze-thaw cycles.
  • 12 months from date of receipt, -20 to -70 °C as supplied.
  • 1 month, 2 to 8 °C under sterile conditions after reconstitution.
  • 6 months, -20 to -70 °C under sterile conditions after reconstitution.

Background: LAG-3

LAG-3 (Lymphocyte activation gene-3), also known as CD223, is a member of the immunoglobulin superfamily (IgSF). The mature LAG-3 protein is a 496 amino acid (aa) membrane protein with a 421 aa extracellular region which contains four IgSF domains, a 21 aa transmembrane region and a 54 aa cytoplasmic region. LAG-3 and CD4 molecules share < 20% aa sequence homology but have a similar structure (1, 2). Both molecules bind to MHC class II. LAG-3 binds to MHC class II with higher affinity compared to CD4. Both LAG-3 and CD4 genes are located on the distal part of the short arm of chromosome 12.

LAG-3 is an activation-induced molecule, expressed on activated T cells and NK cells, but not on resting T cells. Studies using LAG-3 -/- mice have shown significant delay of T cell apoptosis following antigen stimulation and increased size of memory T cells pool following infection (3, 4). It also has been reported that anti-LAG-3 antibodies up-regulate T cell activation by blocking interaction of LAG-3 and MHC class II. The study has demonstrated that LAG-3 is selectively expressed on activated CD4+CD25+ TReg cells and plays a role in their suppressive activity (5). This evidence indicated, unlike the interaction of CD4 with MHC class II that plays a positive role in T cell activation, LAG-3 binds to MHC class II and negatively regulates T cell activation through LAG-3 signaling. On the other hand, studies have shown that binding of LAG-3 to MHC class II molecules on antigen presenting cells induce maturation of dendritic cells and cytokine secretion by monocytes through MHC class II signal transduction (6). Taken together, LAG-3 may have two major functions, it negatively regulates T cells activation through LAG-3 signaling and stimulates antigen presenting cells which express MHC class II.

References

  1. Triebel, F. et al. (1990) J. Exp. Med. 171:1393.
  2. Baixeras, E. et al. (1992) J. Exp. Med 176:327.
  3. Workman, C.J. and D.A. Vignali (2003) Eur. J. Immunol. 33:970.
  4. Workman, C.J. et al. (2004) J. Immunol. 172:5450.
  5. Huang, C.T. et al. (2004) Immunity 21:503.
  6. Andreae, S. et al. (2003) Blood 102:2130.

Long Name

Lymphocyte-activation Gene 3

Alternate Names

CD223, LAG3

Entrez Gene IDs

3902 (Human); 16768 (Mouse); 297596 (Rat); 102122272 (Cynomolgus Monkey)

Gene Symbol

LAG3

UniProt

Additional LAG-3 Products

Product Documents for Human LAG-3 Antibody

Certificate of Analysis

To download a Certificate of Analysis, please enter a lot number in the search box below.

Note: Certificate of Analysis not available for kit components.

Product Specific Notices for Human LAG-3 Antibody

For research use only

Loading...
Loading...
Loading...
Loading...
Loading...
Loading...