Skip to main content

Key Product Details

Species Reactivity

Validated:

Human

Cited:

Human, Mouse

Applications

Validated:

Immunohistochemistry, Western Blot, Simple Western

Cited:

Immunohistochemistry, Western Blot, ELISA Development

Label

Unconjugated

Antibody Source

Polyclonal Goat IgG

Product Specifications

Immunogen

Mouse myeloma cell line NS0-derived recombinant human L1CAM
Ile20-Glu1120
Accession # CAA42508

Specificity

Detects human L1CAM in direct ELISAs and Western blots. In direct ELISAs, approximately 10% cross‑reactivity with recombinant human (rh) ICAM-2 and rhICAM-3 is observed and less than 1% cross‑reactvity with rhCD31 and recombinant mouse VCAM-1 is observed.

Clonality

Polyclonal

Host

Goat

Isotype

IgG

Scientific Data Images for Human L1CAM Antibody

Detection of Human L1CAM by Western Blot.

Western blot shows lysates of HeLa human cervical epithelial carcinoma cell line and HDLM-2 human Hodgkin’s lymphoma cell line (negative control). PVDF membrane was probed with 0.25 µg/mL of Goat Anti-Human L1CAM Antigen Affinity-purified Polyclonal Antibody (Catalog # AF277) followed by HRP-conjugated Anti-Goat IgG Secondary Antibody (HAF017). A specific band was detected for L1CAM at approximately 250 kDa (as indicated). GAPDH (AF5718) is shown as a loading control. This experiment was conducted under reducing conditions and using Western Blot Buffer Group 1.

Detection of Human and rat L1CAM by Western Blot.

Western blot shows lysates of human brain (motor cortex) and rat brain. PVDF membrane was probed with 0.5 µg/mL of Goat Anti-Human L1CAM Antigen Affinity-purified Polyclonal Antibody (Catalog # AF277) followed by HRP-conjugated Anti-Goat IgG Secondary Antibody (HAF017). A specific band was detected for L1CAM at approximately 240 kDa (as indicated). This experiment was conducted under reducing conditions and using Western Blot Buffer Group 1.
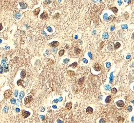
L1CAM antibody in Human Brain by Immunohistochemistry (IHC-P).

L1CAM in Human Brain.

L1CAM was detected in immersion fixed paraffin-embedded sections of human brain (hippocampus) using Goat Anti-Human L1CAM Antigen Affinity-purified Poly-clonal Antibody (Catalog # AF277) at 10 µg/mL overnight at 4 °C. Before incubation with the primary antibody, tissue was subjected to heat-induced epitope retrieval using Antigen Retrieval Reagent-Basic (Catalog # CTS013). Tissue was stained using the Anti-Goat HRP-DAB Cell & Tissue Staining Kit (brown; Catalog # CTS008) and counter-stained with hematoxylin (blue). Specific staining was localized to plasma membranes and cytoplasm of neurons. View our protocol for Chromogenic IHC Staining of Paraffin-embedded Tissue Sections.

Applications for Human L1CAM Antibody

Application
Recommended Usage

Immunohistochemistry

5-15 µg/mL
Sample: Immersion fixed paraffin-embedded sections of human brain (frontal cortex) and human brain (hippocampus) subjected to Antigen Retrieval Reagent-Basic (Catalog # CTS013)

Simple Western

5 µg/mL
Sample: HeLa human cervical epithelial carcinoma cell line

Western Blot

0.25 - 0.5 µg/mL
Sample: HeLa human cervical epithelial carcinoma cell line, human brain (motor cortex) and rat brain

Reviewed Applications

Read 1 review rated 5 using AF277 in the following applications:

Formulation, Preparation, and Storage

Purification

Antigen Affinity-purified

Reconstitution

Reconstitute at 0.2 mg/mL in sterile PBS. For liquid material, refer to CoA for concentration.

Reconstitution Buffer Available:
Size / Price
Qty
Loading...

Formulation

Lyophilized from a 0.2 μm filtered solution in PBS with Trehalose. *Small pack size (SP) is supplied either lyophilized or as a 0.2 µm filtered solution in PBS.

Shipping

Lyophilized product is shipped at ambient temperature. Liquid small pack size (-SP) is shipped with polar packs. Upon receipt, store immediately at the temperature recommended below.

Stability & Storage

Use a manual defrost freezer and avoid repeated freeze-thaw cycles.
  • 12 months from date of receipt, -20 to -70 °C as supplied.
  • 1 month, 2 to 8 °C under sterile conditions after reconstitution.
  • 6 months, -20 to -70 °C under sterile conditions after reconstitution.

Background: L1CAM

L1CAM (Neural cell adhesion molecule L1, also known as L1, CD171 and NCAM-L1) is a 200-230 kDa member of the L1 family, Immunoglobulin (Ig) superfamily of molecules. L1 is recognized to play a key role in cell migration, adhesion, neurite outgrowth, myelination and neuronal differentiation. It does so through a series of cis and trans interactions that involve multiple copartners and target receptors. L1 is described as forming both homotypic and heterotypic complexes, the latter with molecules as diverse as the EGFR, NCAM, CD24, neurocan and various alphav plus beta1 and beta3 integrins. Cells known to express L1 include immature oligodendrocytes, CD4+ T cells, B cells and monocytes, premyelinating Schwann cells, intestinal epithelial progenitor cells, and cerebellar granule plus Purkinje cells. Mature human L1 is a 1238 amino acid (aa) type I transmembrane protein. It contains an 1101 aa extracellular region (aa 20-1120) plus a 114 aa cytoplasmic domain (aa 1144-1257). The extracellular region possesses six C2-type Ig-like domains (aa 35-607) followed by five fibronectin (FN) type III repeats (aa 612-1108). The cytoplasmic tail contains no kinase motifs, but does possess a FIGQY peptide that interacts with ankyrin, and an RSLE sequence that mediates clathrin-associated endocytosis. At least five Ser residues are known to be phosphorylated. There are two splice variants, one each in the intracellular and extracellular domain. A deletion of RSLE (aa 1177-1180) adversely affects endocytosis, while a Leu substitution for aa 26-31 interfers with numerous heterotypic interactions. In general, the full-length L1 molecule is a neuron-associated isoform. L1 is known to undergo proteolysis, either by plasmin or ADAMs. This generates soluble isoforms of varying sizes (140-200 kDa) that retain bioactivity, and which can be incorporated into the surrounding ECM. The membrane fragments (30-80 kDa) undergo further processing, most importantly by gamma‑secretase, to generate a soluble 28 kDa intracellular domain. This domain is SUMOylated, and believed to possess an NLS at Lys1147. Upon presumed entry into the nucleus, L1 is posited to activate L1-responsive genes. In the extracellular region, human and mouse L1 share 86% aa sequence identity.

Long Name

Cell Adhesion Molecule L1

Alternate Names

CAML1, CD171, HSAS, HSAS1, MASA, MIC5, NCAM-L1, S10, SPG1

Entrez Gene IDs

3897 (Human); 16728 (Mouse); 50687 (Rat)

Gene Symbol

L1CAM

UniProt

Additional L1CAM Products

Product Documents for Human L1CAM Antibody

Certificate of Analysis

To download a Certificate of Analysis, please enter a lot number in the search box below.

Note: Certificate of Analysis not available for kit components.

Product Specific Notices for Human L1CAM Antibody

For research use only

Loading...
Loading...
Loading...
Loading...