Skip to main content

Key Product Details

Species Reactivity

Human

Applications

Immunohistochemistry, Western Blot, Flow Cytometry, CyTOF-ready

Label

Unconjugated

Antibody Source

Polyclonal Goat IgG

Product Specifications

Immunogen

Mouse myeloma cell line NS0-derived recombinant human IL1RAPL2
Thr17-Glu356
Accession # Q9NP60

Specificity

Detects human IL1RAPL2 in direct ELISAs and Western blots. In direct ELISAs, approximately 35% cross-reactivity with recombinant mouse IL1RAPL2 is observed. In Western blots, approximately 5% cross‑reactivity with recombinant human (rh) IL‑1 R7 is observed and less than 1% cross-reactivity with rhIL-1 R2 and rhIL-1 R8 is observed.

Clonality

Polyclonal

Host

Goat

Isotype

IgG

Scientific Data Images for Human IL1RAPL2 Antibody

Detection of IL1RAPL2 antibody in HepG2 Human Cell Line antibody by Flow Cytometry.

Detection of IL1RAPL2 in HepG2 Human Cell Line by Flow Cytometry.

HepG2 human hepatocellular carcinoma cell line was stained with Goat Anti-Human IL1RAPL2 Antigen Affinity-purified Polyclonal Antibody (Catalog # AF1007, filled histogram) or control antibody (AB-108-C, open histogram), followed by Allophycocyanin-conjugated Anti-Goat IgG Secondary Antibody (F0108).
Detection of IL1RAPL2 antibody in Hepa 1-6 Mouse Cell Line antibody by Flow Cytometry.

Detection of IL1RAPL2 in Hepa 1‑6 Mouse Cell Line by Flow Cytometry.

Hepa 1-6 mouse hepatoma cell line was stained with Goat Anti-Human IL1RAPL2 Antigen Affinity-purified Polyclonal Antibody (Catalog # AF1007, filled histogram) or control antibody (AB-108-C, open histogram), followed by Allophycocyanin-conjugated Anti-Goat IgG Secondary Antibody (F0108).

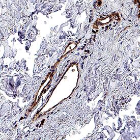
IL1RAPL2 in Human Skin.

IL1RAPL2 was detected in immersion fixed paraffin-embedded sections of human skin using Goat Anti-Human IL1RAPL2 Antigen Affinity-purified Polyclonal Antibody (Catalog # AF1007) at 3 µg/mL for 1 hour at room temperature followed by incubation with the Anti-Goat IgG VisUCyte™ HRP Polymer Antibody (Catalog # VC004). Before incubation with the primary antibody, tissue was subjected to heat-induced epitope retrieval using VisUCyte Antigen Retrieval Reagent-Basic (Catalog # VCTS021). Tissue was stained using DAB (brown) and counterstained with hematoxylin (blue). Specific staining was localized to endotheliam cells in vasculature. View our protocol for IHC Staining with VisUCyte HRP Polymer Detection Reagents.

Applications for Human IL1RAPL2 Antibody

Application
Recommended Usage

CyTOF-ready

Ready to be labeled using established conjugation methods. No BSA or other carrier proteins that could interfere with conjugation.

Flow Cytometry

2.5 µg/106 cells
Sample: HepG2 human hepatocellular carcinoma cell line and Hepa 1‑6 mouse hepatoma cell line

Immunohistochemistry

5-15 µg/mL
Sample: Immersion fixed paraffin-embedded sections of human liver and skin

Western Blot

0.1 µg/mL
Sample: Recombinant Human IL1RAPL2 Fc Chimera (Catalog # 1007-MR)

Formulation, Preparation, and Storage

Purification

Antigen Affinity-purified

Reconstitution

Reconstitute at 0.2 mg/mL in sterile PBS. For liquid material, refer to CoA for concentration.

Reconstitution Buffer Available:
Size / Price
Qty
Loading...

Formulation

Lyophilized from a 0.2 μm filtered solution in PBS with Trehalose. *Small pack size (SP) is supplied either lyophilized or as a 0.2 µm filtered solution in PBS.

Shipping

Lyophilized product is shipped at ambient temperature. Liquid small pack size (-SP) is shipped with polar packs. Upon receipt, store immediately at the temperature recommended below.

Stability & Storage

Use a manual defrost freezer and avoid repeated freeze-thaw cycles.
  • 12 months from date of receipt, -20 to -70 °C as supplied.
  • 1 month, 2 to 8 °C under sterile conditions after reconstitution.
  • 6 months, -20 to -70 °C under sterile conditions after reconstitution.

Background: IL1RAPL2

The Interleukin 1 receptor family (IL-1 R) comprises at least eleven members including IL-1 RI (IL-1 R1), IL-1 RII (IL-1 R2), IL-1 RAcP (IL-1 R3), ST2 (T1/IL-1 R4), IL‑18 R alpha (IL-1 Rrp/IL-1 R5), IL-1 Rrp2 (IL-1 RL2/IL-1 R6), IL‑18 R beta (AcPL/IL-1 R7), IL1RAPL1 (TIGIRR-2/IL-1 R8), and IL1RAPL2 (TIGIRR-1/IL-1 R9) (1). All family members possess three immunoglobulin (Ig)-like domains in their extracellular region. Most members also have an intracellular TIR (Toll-like receptor/IL-1 receptor signaling) domain that is also conserved in the Toll-like receptor family. Related proteins, SIGIRR (single Ig domain-containing IL-1 R-related molecule) and IL‑18BP, differ from the other members by having only one Ig domain (1). IL-1 receptor accessory protein-like 2 (IL-1 RAPL2) is alternately known as IL-1 R9 and three immunoglobulin domain containing IL-1 receptor-related molecule 1 (TIGIRR-1) and is expressed in the brain (2). Its sequence predicts an 686 amino acid (aa) residue type I transmembrane glycoprotein with a 17 aa signal peptide, a 339 aa extracellular region containing three Ig-like domains, an 18 aa transmembrane domain and a 312 aa cytoplasmic tail (3). By comparison to other IL-1 receptor family proteins, IL1RAPL2 has a C-terminal cytoplasmic extension beyond the TIR domain that is found in IL1RAPL1 and SIGIRR but not other family members (3). Human and mouse IL1RAPL2 share approximately 95% aa sequence identity. Human IL1RAPL2 is most homologous (63%) to IL1RAPL1, a receptor protein that is highly expressed in hippocampus and is involved in X-linked mental retardation (4, 5). Genes for both have been localized to human chromosome Xq22. A ligand for IL1RAPL2 has not been identified (1).

References

  1. Boraschi, D. and A. Tagliabue (2006) Vitam. Horm. 74:229.
  2. Andre, R. et al. (2005) J. Neurochem. 95:324.
  3. Born, T.L. et al. (2000) J. Biol. Chem. 275:29946.
  4. Jin, H. et al. (2000) Eur. J. Hum. Genet. 8:87.
  5. Carrie, A. et al. (1999) Nat. Genet. 23:25.

Long Name

Interleukin 1 Receptor Accessory Protein-like 2

Alternate Names

IL-1R10, IL-1RAPL2, IL1RAPL2, TIGIRR-1

Entrez Gene IDs

26280 (Human); 60367 (Mouse)

Gene Symbol

IL1RAPL2

UniProt

Additional IL1RAPL2 Products

Product Documents for Human IL1RAPL2 Antibody

Certificate of Analysis

To download a Certificate of Analysis, please enter a lot number in the search box below.

Note: Certificate of Analysis not available for kit components.

Product Specific Notices for Human IL1RAPL2 Antibody

For research use only

Loading...
Loading...
Loading...
Loading...
Loading...