Skip to main content

Human IL-33 Antibody

R&D Systems, part of Bio-Techne | Catalog # MAB36253

Recombinant Monoclonal Antibody.
R&D Systems, part of Bio-Techne
Catalog #
Availability
Size / Price
Qty
Loading...
MAB36253-100
MAB36253-SP

Key Product Details

Species Reactivity

Validated:

Human

Cited:

Human, Mouse

Applications

Validated:

Immunohistochemistry, Western Blot, ELISA Capture (Matched Antibody Pair), Intracellular Staining by Flow Cytometry

Cited:

Immunohistochemistry, ELISA Capture

Label

Unconjugated

Antibody Source

Recombinant Monoclonal Goat IgG Clone # 40015C

Product Specifications

Immunogen

E.coli-derived recombinant human IL-33
Ser112-Thr270
Accession # O95760

Specificity

Detects human IL-33 in direct ELISAs and Western blots.

Clonality

Monoclonal

Host

Goat

Isotype

IgG

Scientific Data Images for Human IL-33 Antibody

Detection of Human IL-33 antibody by Western Blot.

Detection of Human IL‑33 by Western Blot.

Western blot shows lysates of HEK293 human embryonic kidney cell line either mock transfected or transfected with human IL-33. PVDF membrane was probed with 1 µg/mL of Goat Anti-Human IL-33 Monoclonal Antibody (Catalog # MAB36253) followed by HRP-conjugated Anti-Goat IgG Secondary Antibody (HAF017). A specific band was detected for IL-33 at approximately 30 kDa (as indicated). This experiment was conducted under reducing conditions and using Immunoblot Buffer Group 1.
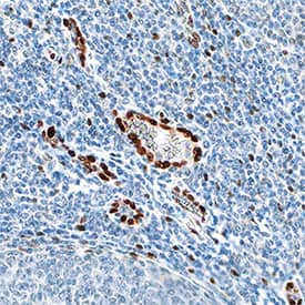
IL-33 antibody in Human Tonsil by Immunohistochemistry (IHC-P).

IL‑33 in Human Tonsil.

IL-33 was detected in immersion fixed paraffin-embedded sections of human tonsil using Goat Anti-Human IL-33 Monoclonal Antibody (Catalog # MAB36253) at 0.1 µg/mL overnight at 4 °C. Tissue was stained using the Anti-Goat HRP-DAB Cell & Tissue Staining Kit (brown; CTS008) and counterstained with hematoxylin (blue). Specific staining was localized to nuclei in epithelial cells. View our protocol for Chromogenic IHC Staining of Paraffin-embedded Tissue Sections.
Detection of IL-33 antibody in Human Peripheral Blood Lymphocytes antibody by Flow Cytometry.

Detection of IL-33 in Human Peripheral Blood Lymphocytes by Flow Cytometry.

Human peripheral blood lymphocytes were stained with (A) Goat Anti-Human IL-33 Monoclonal Antibody (Catalog # MAB36253) or (B) Goat IgG control antibody (Catalog # AB-108-C) followed by anti-Goat IgG PE-conjugated secondary antibody (F0107) and Mouse anti-Human CD19 APC-conjugated Monoclonal Antibody (FAB4867A). To facilitate intracellular staining, cells were fixed with Flow Cytometry Fixation Buffer (FC004) and permeabilized with methanol. View our protocol for Staining Intracellular Molecules.

Applications for Human IL-33 Antibody

Application
Recommended Usage

Immunohistochemistry

0.1-25 µg/mL
Sample: Immersion fixed paraffin-embedded sections of human tonsil

Intracellular Staining by Flow Cytometry

0.25 µg/106 cells
Sample: Human PBMCs or HUVECs fixed with Flow Cytometry Fixation Buffer (Catalog # FC004) and permeabilized with ice-cold methanol

Western Blot

1 µg/mL
Sample: HEK293 human embryonic kidney cell line transfected with human IL-33

Human IL-33 Sandwich Immunoassay

ELISA Capture (Matched Antibody Pair)
Recommended Concentration: 2-8 µg/mL
Use in combination with these reagents:
  • Detection Reagent: Human IL-33 Biotinylated Antibody (Catalog # BAF3625)
  • Standard: Recombinant Human IL-33 Protein (Catalog # 3625-IL)
Please Note: Optimal dilutions of this antibody should be experimentally determined.

Formulation, Preparation, and Storage

Purification

Protein A or G purified from cell culture supernatant

Reconstitution

Reconstitute at 0.5 mg/mL in sterile PBS. For liquid material, refer to CoA for concentration.

Reconstitution Buffer Available:
Size / Price
Qty
Loading...

Formulation

Lyophilized from a 0.2 μm filtered solution in PBS with Trehalose. *Small pack size (SP) is supplied either lyophilized or as a 0.2 µm filtered solution in PBS.

Shipping

Lyophilized product is shipped at ambient temperature. Liquid small pack size (-SP) is shipped with polar packs. Upon receipt, store immediately at the temperature recommended below.

Stability & Storage

Use a manual defrost freezer and avoid repeated freeze-thaw cycles.
  • 12 months from date of receipt, -20 to -70 °C as supplied.
  • 1 month, 2 to 8 °C under sterile conditions after reconstitution.
  • 6 months, -20 to -70 °C under sterile conditions after reconstitution.

Background: IL-33

IL-33, also known as NF-HEV and DVS 27, is a 30 kDa proinflammatory protein that may also regulate gene transcription (1‑3). DVS 27 was identifed as a gene that is up‑regulated in vasospastic cerebral arteries (1). NF-HEV was described as a nuclear factor that is preferentially expressed in the endothelial cells of high endothelial venules relative to endothelial cells from other tissues (2). IL-33 was identified based on sequence and structural homology with IL-1 family cytokines (3). DVS 27, NF-HEV, and IL-33 share 100% amino acid sequence identity. IL-33 is constitutively expressed in smooth muscle and airway epithelia. It is up‑regulated in arterial smooth muscle, dermal fibroblasts, and keratinocytes following IL-1 alpha or IL-1 beta stimulation (1, 3). Similar to IL-1, IL-33 can be cleaved in vitro by caspase-1, generating an N-terminal fragment that is slightly shorter than the C-terminal fragment (3, 4). The N-terminal portion of full length IL-33 contains a predicted bipartite nuclear localization sequence and a homeodomain-like helix-turn-helix DNA binding domain. By immunofluorescence, full length IL-33 localizes to the nucleus in HUVECs and transfectants (2). The C-terminal fragment, corresponding to mature IL-33, binds and triggers signaling through mast cell IL-1 R4/ST2L, a longtime orphan receptor involved in the augmentation of Th2 cell responses (3, 5-7). A ternary signaling complex is formed by the subsequent association of IL-33 and ST2L with IL-1R AcP (8). Stimulation of Th2 polarized lymphocytes with mature IL-33 in vitro induces IL-5 and IL-13 secretion (3). In vivo administration of mature IL-33 promotes increased production of IL-5, IL-13, IgE, and IgA, as well as splenomegaly and inflammatory infiltration of mucosal tissues (3). Full length and mature human IL-33 share 52‑58% aa sequence identity with mouse and rat IL-33. Human IL-33 shares less than 20% aa sequence identity with other IL-1 family proteins.

References

  1. Onda, H. et al. (1999) J. Cereb. Blood Flow Metab. 19:1279.
  2. Baekkevold, E.S. et al. (2003) Am. J. Pathol. 163:69.
  3. Schmitz, J. et al. (2005) Immunity 23:479.
  4. Black, R.A. et al. (1989) J. Biol. Chem. 264:5323.
  5. Xu, D. et al. (1998) J. Exp. Med. 187:787.
  6. Lohning, M. et al. (1998) Proc. Natl. Acad. Sci. USA 95:6930.
  7. Dinarello, C.A. (2005) Immunity 23:461.
  8. Chackerian, A.A. et al. (2007) J. Immunol. 179:2551.

Long Name

Interleukin 33

Alternate Names

C9orf26, DVS27, IL33, NF-HEV

Entrez Gene IDs

90865 (Human); 77125 (Mouse)

Gene Symbol

IL33

UniProt

Additional IL-33 Products

Product Documents for Human IL-33 Antibody

Certificate of Analysis

To download a Certificate of Analysis, please enter a lot number in the search box below.

Note: Certificate of Analysis not available for kit components.

Product Specific Notices for Human IL-33 Antibody

For research use only

Loading...
Loading...
Loading...
Loading...
Loading...