Skip to main content

Key Product Details

Species Reactivity

Human

Applications

Immunohistochemistry

Label

Unconjugated

Antibody Source

Monoclonal Mouse IgG1 Clone # 923503

Product Specifications

Immunogen

E. coli-derived recombinant human IL-18/IL-1F4
Tyr37-Asp193
Accession # Q14116

Specificity

Detects human IL-18/IL-1F4 in direct ELISAs.

Clonality

Monoclonal

Host

Mouse

Isotype

IgG1

Scientific Data Images for Human IL-18/IL-1F4 Antibody

IL-18/IL-1F4 antibody in Human Spleen by Immunohistochemistry (IHC-P).

IL‑18/IL‑1F4 in Human Spleen.

IL-18/IL-1F4 was detected in immersion fixed paraffin-embedded sections of human spleen using Mouse Anti-Human IL-18/IL-1F4 Monoclonal Antibody (Catalog # MAB91245) at 15 µg/mL for 1 hour at room temperature followed by incubation with the Anti-Mouse IgG VisUCyte™ HRP Polymer Antibody (Catalog # VC001). Before incubation with the primary antibody, tissue was subjected to heat-induced epitope retrieval using Antigen Retrieval Reagent-Basic (Catalog # CTS013). Tissue was stained using DAB (brown) and counterstained with hematoxylin (blue). Specific staining was localized to T cells. View our protocol for IHC Staining with VisUCyte HRP Polymer Detection Reagents.
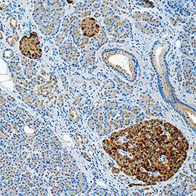
IL-18/IL-1F4 antibody in Human Pancreas by Immunohistochemistry (IHC-P).

IL‑18/IL‑1F4 in Human Pancreas.

IL-18/IL-1F4 was detected in immersion fixed paraffin-embedded sections of human pancreas using Mouse Anti-Human IL-18/IL-1F4 Monoclonal Antibody (Catalog # MAB91245) at 5 µg/mL for 1 hour at room temperature followed by incubation with the Anti-Mouse IgG VisUCyte™ HRP Polymer Antibody (Catalog # VC001). Before incubation with the primary antibody, tissue was subjected to heat-induced epitope retrieval using Antigen Retrieval Reagent-Basic (Catalog # CTS013). Tissue was stained using DAB (brown) and counterstained with hematoxylin (blue). Specific staining was localized to cytoplasm in islet cells. View our protocol for IHC Staining with VisUCyte HRP Polymer Detection Reagents.

Applications for Human IL-18/IL-1F4 Antibody

Application
Recommended Usage

Immunohistochemistry

5-25 µg/mL
Sample: Immersion fixed paraffin-embedded sections of human spleen and human pancreas

Formulation, Preparation, and Storage

Purification

Protein A or G purified from cell culture supernatant

Reconstitution

Reconstitute at 0.5 mg/mL in sterile PBS. For liquid material, refer to CoA for concentration.

Reconstitution Buffer Available:
Size / Price
Qty
Loading...

Formulation

Lyophilized from a 0.2 μm filtered solution in PBS with Trehalose. *Small pack size (SP) is supplied either lyophilized or as a 0.2 µm filtered solution in PBS.

Shipping

Lyophilized product is shipped at ambient temperature. Liquid small pack size (-SP) is shipped with polar packs. Upon receipt, store immediately at the temperature recommended below.

Stability & Storage

Use a manual defrost freezer and avoid repeated freeze-thaw cycles.
  • 12 months from date of receipt, -20 to -70 °C as supplied.
  • 1 month, 2 to 8 °C under sterile conditions after reconstitution.
  • 6 months, -20 to -70 °C under sterile conditions after reconstitution.

Background: IL-18/IL-1F4

Interleukin-18 (IL-18) is a proinflammatory cytokine in the IL-1 family that exerts distinct immune effects depending on the local cytokine environment. It is expressed as a 24 kDa precursor by endothelial and epithelial cells, keratinocytes, gamma delta T cells, and phagocytes. The precursor is activated intracellularly by Caspase-1 mediated proteolysis to release the 17 kDa mature cytokine. The precursor can also be released by necrotic cells for extracellular cleavage by multiple proteases.
IL-18 activation is induced by infection or tissue damage and contributes to disease pathology in chronic inflammation (1-3). IL-18 binds to the widely expressed
IL-18 R alpha which recruits IL-18 R beta to form the signaling receptor complex (4, 5). Its bioactivity is negatively regulated by interactions with IL-18 binding proteins and virally encoded IL-18BP homologs (6). In the presence of IL-12 or IL-15, IL-18 enhances anti-viral Th1 immune responses by inducing IFN-gamma production and the cytolytic activity of CD8+ T cells and NK cells (7, 8). In the absence of IL-12 or IL-15, however, IL-18 promotes production of the Th2 cytokines IL-4 and IL-13 by CD4+ T cells and basophils (9, 10). In the presence of IL-1 beta or IL-23, IL-18 induces the antigen-independent production of IL-17 by gamma delta T cells and CD4+ T cells (11).
IL-18 also promotes myeloid dendritic cell maturation and triggers neutrophil respiratory burst (12, 13). In cancer, IL-18 exhibits diverse activities including enhancing anti-tumor immunity, inhibiting or promoting angiogenesis, and promoting tumor cell metastasis (14). Mature human IL-18 shares approximately 63% amino acid sequence identity with mouse and rat IL-18 (15). Alternative splicing in human ovarian cancer generates an isoform that is resistant to Caspase-1 activation (16). A cell surface form can be expressed on M-CSF induced macrophages and released in response to bacterial endotoxin (17).

References

  1. Dinarello, C.A. et al. (2013) Front. Immunol. 4:289.
  2. Smith, D.E. (2011) J. Leukoc. Biol. 89:383.
  3. Gu, Y. et al. (1997) Science 275:206.
  4. Torigoe, K. et al. (1997) J. Biol. Chem. 272:25737.
  5. Cheung, H. et al. (2005) J. Immunol. 174:5351.
  6. Novick, D. et al. (1999) Immunity 10:127.
  7. Fehniger, T.A. et al. (1999) J. Immunol. 162:4511.
  8. Yoshimoto, T. et al. (1998) J. Immunol. 161:3400.
  9. Yoshimoto, T. et al. (2000) Nat. Immunol. 1:132.
  10. Kroeger, K.M. et al. (2009) J. Leukoc. Biol. 86:769.
  11. Lalor, S.J. et al. (2011) J. Immunol. 186:5738.
  12. Li, J. et al. (2004) Cell. Immunol. 227:103.
  13. Elbim, C. et al. (2005) Clin. Diagn. Lab. Immunol. 12:436.
  14. Fabbi, M. et al. (2015) J. Leukoc. Biol. 97:665.
  15. Ushio, S. et al. (1996) J. Immunol. 156:4274.
  16. Gaggero, A. et al. (2004) Oncogene 23:7552.
  17. Bellora, F. et al. (2012) Eur. J. Immunol. 42:1618.

Long Name

Interleukin 18

Alternate Names

IGIF, IL-1F4, IL-1g, IL18

Entrez Gene IDs

3606 (Human); 16173 (Mouse); 29197 (Rat); 397057 (Porcine); 574151 (Primate)

Gene Symbol

IL18

UniProt

Additional IL-18/IL-1F4 Products

Product Documents for Human IL-18/IL-1F4 Antibody

Certificate of Analysis

To download a Certificate of Analysis, please enter a lot number in the search box below.

Note: Certificate of Analysis not available for kit components.

Product Specific Notices for Human IL-18/IL-1F4 Antibody

For research use only

Loading...
Loading...
Loading...
Loading...