Skip to main content

Human IL-10 Antibody

R&D Systems, part of Bio-Techne | Catalog # MAB91842

Recombinant Monoclonal Antibody.

Key Product Details

Species Reactivity

Validated:

Human

Cited:

Human

Applications

Validated:

Immunohistochemistry, Western Blot

Cited:

Immunohistochemistry

Label

Unconjugated

Antibody Source

Recombinant Monoclonal Rabbit IgG Clone # 2472A

Product Specifications

Immunogen

Human embryonic kidney cell, HEK293-derived human IL-10 protein
Met1-Asn178
Accession # P22301

Specificity

Detects human IL-10 in direct ELISAs.

Clonality

Monoclonal

Host

Rabbit

Isotype

IgG

Scientific Data Images for Human IL-10 Antibody

Detection of Human IL-10 antibody by Western Blot.

Detection of Human IL‑10 by Western Blot.

Western blot shows lysates of HEK293 human embryonic kidney cell line either mock transfected or transfected with human IL-10. PVDF membrane was probed with 1 µg/mL of Rabbit Anti-Human IL-10 Monoclonal Antibody (Catalog # MAB91842) followed by HRP-conjugated Anti-Rabbit IgG Secondary Antibody (Catalog # HAF008). A specific band was detected for IL-10 at approximately 17 kDa (as indicated). This experiment was conducted under reducing conditions and using Immunoblot Buffer Group 1.
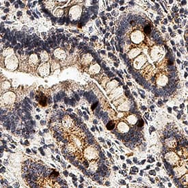
IL-10 antibody in Human Duodenum by Immunohistochemistry (IHC-P).

IL-10 in Human Duodenum.

IL-10 was detected in immersion fixed paraffin-embedded sections of human duodenum using Rabbit Anti-Human IL-10 Monoclonal Antibody (Catalog # MAB91842) at 3 µg/mL for 1 hour at room temperature followed by incubation with the Anti-Rabbit IgG VisUCyte™ HRP Polymer Antibody (Catalog # VC003). Before incubation with the primary antibody, tissue was subjected to heat-induced epitope retrieval using Antigen Retrieval Reagent-Basic (Catalog # CTS013). Tissue was stained using DAB (brown) and counterstained with hematoxylin (blue). Specific staining was localized to cytoplasm in enteroendocrine cells of duodenum. View our protocol for IHC Staining with VisUCyte HRP Polymer Detection Reagents.

Applications for Human IL-10 Antibody

Application
Recommended Usage

Immunohistochemistry

3-25 µg/mL
Sample: Immersion fixed paraffin-embedded sections of human duodenum

Western Blot

1 µg/mL
Sample: HEK293 human embryonic kidney cell line transfected with human IL-10

Formulation, Preparation, and Storage

Purification

Protein A or G purified from cell culture supernatant

Reconstitution

Reconstitute at 0.5 mg/mL in sterile PBS. For liquid material, refer to CoA for concentration.

Reconstitution Buffer Available:
Size / Price
Qty
Loading...

Formulation

Lyophilized from a 0.2 μm filtered solution in PBS with Trehalose. *Small pack size (SP) is supplied either lyophilized or as a 0.2 µm filtered solution in PBS.

Shipping

Lyophilized product is shipped at ambient temperature. Liquid small pack size (-SP) is shipped with polar packs. Upon receipt, store immediately at the temperature recommended below.

Stability & Storage

Use a manual defrost freezer and avoid repeated freeze-thaw cycles.
  • 12 months from date of receipt, -20 to -70 °C as supplied.
  • 1 month, 2 to 8 °C under sterile conditions after reconstitution.
  • 6 months, -20 to -70 °C under sterile conditions after reconstitution.

Background: IL-10

Interleukin 10, also known as cytokine synthesis inhibitory factor (CSIF), is the charter member of the IL-10 family of alpha-helical cytokines that also includes IL-19,
IL‑20, IL-22, IL-24, and IL-26/AK155 (1, 2). IL-10 is secreted by many activated hematopoietic cell types as well as hepatic stellate cells, keratinocytes, and placental cytotrophoblasts (2‑5). Mature human IL-10 shares 72%‑86% amino acid sequence identity with bovine, canine, equine, feline, mouse, ovine, porcine, and rat IL-10. Whereas human IL-10 is active on mouse cells, mouse IL-10 does not act on human cells (6, 7). IL-10 is a 178 amino acid molecule that contains two intrachain disulfide bridges and is expressed as a 36 kDa noncovalently associated homodimer (6, 8, 9). The IL-10 dimer binds to two IL-10 R alpha/IL-10 R1 chains, resulting in recruitment of two IL-10 R beta/IL-10 R2 chains and activation of a signaling cascade involving JAK1, TYK2, and STAT3 (10). IL-10 R beta does not bind IL-10 by itself but is required for signal transduction (1). IL-10 R beta also associates with IL‑20 R alpha, IL-22 R alpha, or IL-28 R alpha to form the receptor complexes for IL-22, IL-26, IL-28, and IL‑29
(11‑13). IL-10 is a critical molecule in the control of viral infections and allergic and autoimmune inflammation (14‑16). It promotes phagocytic uptake and Th2 responses but suppresses antigen presentation and Th1 proinflammatory responses (2).

References

  1. Pestka, S. et al. (2004) Annu. Rev. Immunol. 22:929.
  2. O’Garra, A. and P. Vieira (2007) Nat. Rev. Immunol. 7:425.
  3. Mathurin, P. et al. (2002) Am. J. Physiol. Gastrointest. Liver Physiol. 282:G981.
  4. Grewe, M. et al. (1995) J. Invest. Dermatol. 104:3.
  5. Szony, B.J. et al. (1999) Mol. Hum. Reprod. 5:1059.
  6. Vieira, P. et al. (1991) Proc. Natl. Acad. Sci. 88:1172.
  7. Hsu, D.-H. et al. (1990) Science 250:830.
  8. Windsor, W.T. et al. (1993) Biochemistry 32:8807.
  9. Syto, R. et al. (1998) Biochemistry 37:16943.
  10. Kotenko, S.V. et al. (1997) EMBO J. 16:5894.
  11. Kotenko, S.V. et al. (2000) J. Biol. Chem. 276:2725.
  12. Hor, S. et al. (2004) J. Biol. Chem. 279:33343.
  13. Sheppard, P. et al. (2003) Nat. Immunol. 4:63.
  14. Fitzgerald, D.C. et al. (2007) Nat. Immunol. 8:1372.
  15. Wu, K. et al. (2007) Cell. Mol. Immunol. 4:269.
  16. Blackburn, S.D. and E.J. Wherry (2007) Trends Microbiol. 15:143.

Long Name

Interleukin 10

Alternate Names

CSIF, GVHDS, IL10, IL10A, TGIF

Entrez Gene IDs

3586 (Human); 16153 (Mouse); 25325 (Rat); 397106 (Porcine); 403628 (Canine); 102133450 (Cynomolgus Monkey); 100034187 (Equine); 493683 (Feline); 100715618 (Guinea Pig); 2949786 (Viral)

Gene Symbol

IL10

UniProt

Additional IL-10 Products

Product Documents for Human IL-10 Antibody

Certificate of Analysis

To download a Certificate of Analysis, please enter a lot number in the search box below.

Note: Certificate of Analysis not available for kit components.

Product Specific Notices for Human IL-10 Antibody

For research use only

Loading...
Loading...
Loading...
Loading...
Loading...