Skip to main content

Human IkB-alpha Antibody

R&D Systems, part of Bio-Techne | Catalog # MAB4299

R&D Systems, part of Bio-Techne
Catalog #
Availability
Size / Price
Qty
Loading...
MAB4299
MAB4299-SP

Key Product Details

Validated by

Knockout/Knockdown

Species Reactivity

Validated:

Human

Cited:

Human

Applications

Validated:

Knockout Validated, Immunohistochemistry, Western Blot, Simple Western

Cited:

Western Blot

Label

Unconjugated

Antibody Source

Monoclonal Mouse IgG1 Clone # 417208

Product Specifications

Immunogen

E. coli-derived recombinant human IkB-alpha
Met1-Leu317
Accession # P25963

Specificity

Detects human IkB-alpha in Western blots.

Clonality

Monoclonal

Host

Mouse

Isotype

IgG1

Scientific Data Images for Human IkB-alpha Antibody

Detection of Human IkB-a antibody by Western Blot.

Detection of Human IkB-alpha by Western Blot.

Western blot shows lysates of Raji human Burkitt's lymphoma cell line, MCF-7 human breast cancer cell line, PC-3 human prostate cancer cell line, and LNCaP human prostate cancer cell line. PVDF membrane was probed with 0.1 µg/mL of Mouse Anti-Human IkB-a Monoclonal Antibody (Catalog # MAB4299) followed by HRP-conjugated Anti-Mouse IgG Secondary Antibody (Catalog # HAF007). A specific band was detected for IkB-a at approximately 44 kDa (as indicated). This experiment was conducted under reducing conditions and using Immunoblot Buffer Group 4.
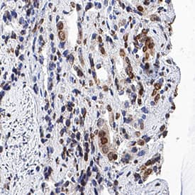
IkB-a antibody in Human Prostate Cancer Tissue by Immunohistochemistry (IHC-P).

IkB‑ alpha in Human Prostate Cancer Tissue.

IkB-a was detected in immersion fixed paraffin-embedded sections of human prostate cancer tissue using Mouse Anti-Human IkB-a Monoclonal Antibody (Catalog # MAB4299) at 5 µg/mL for 1 hour at room temperature followed by incubation with the Anti-Mouse IgG VisUCyte™ HRP Polymer Antibody (Catalog # VC001). Tissue was stained using DAB (brown) and counterstained with hematoxylin (blue). Specific staining was localized to cytoplasm and nuclei in cancer cells. View our protocol for IHC Staining with VisUCyte HRP Polymer Detection Reagents.
Detection of Human IkB-a antibody by Simple WesternTM.

Detection of Human IkB‑ alpha by Simple WesternTM.

Simple Western lane view shows lysates of LNCaP human prostate cancer cell line and MCF‑7 human breast cancer cell line, loaded at 0.5 mg/mL. A specific band was detected for IkB‑ alpha at approximately 44 kDa (as indicated) using 1 µg/mL of Mouse Anti-Human IkB‑ alpha Monoclonal Antibody (Catalog # MAB4299). This experiment was conducted under reducing conditions and using the 12-230 kDa separation system.

Applications for Human IkB-alpha Antibody

Application
Recommended Usage

Immunohistochemistry

5-25 µg/mL
Sample: Immersion fixed paraffin-embedded sections of human prostate cancer tissue

Knockout Validated

IkB‑ alpha is specifically detected in HEK293T human embryonic kidney parental cell line but is not detectable in IkB‑ alpha knockout HEK293T cell line.

Simple Western

1 µg/mL
Sample: LNCaP human prostate cancer cell line and MCF‑7 human breast cancer cell line

Western Blot

0.1 µg/mL
Sample: Raji human Burkitt's lymphoma cell line, MCF-7 human breast cancer cell line, PC-3 human prostate cancer cell line, and LNCaP human prostate cancer cell line

Formulation, Preparation, and Storage

Purification

Protein A or G purified from hybridoma culture supernatant

Reconstitution

Reconstitute at 0.5 mg/mL in sterile PBS. For liquid material, refer to CoA for concentration.

Reconstitution Buffer Available:
Size / Price
Qty
Loading...

Formulation

Lyophilized from a 0.2 μm filtered solution in PBS with Trehalose. *Small pack size (SP) is supplied either lyophilized or as a 0.2 µm filtered solution in PBS.

Shipping

Lyophilized product is shipped at ambient temperature. Liquid small pack size (-SP) is shipped with polar packs. Upon receipt, store immediately at the temperature recommended below.

Stability & Storage

Use a manual defrost freezer and avoid repeated freeze-thaw cycles.
  • 12 months from date of receipt, -20 to -70 °C as supplied.
  • 1 month, 2 to 8 °C under sterile conditions after reconstitution.
  • 6 months, -20 to -70 °C under sterile conditions after reconstitution.

Background: IkB-alpha

NF kappaB inhibitor alpha (IkB-alpha) inhibits the NF kappaB complex by binding and sequestering it in the cytoplasm. Upon stimulation, IkB‑ alpha is phosphorylated on serine residues marking it for degradation by the ubiquitin pathway. Following IkB‑ alpha degradation, the NF kappaB complex is able to translocate to the nucleus and activate transcription.

Long Name

I-kappa-B-alpha

Alternate Names

IkBalpha, MAD-3, NFKBIA

Entrez Gene IDs

4792 (Human); 18035 (Mouse); 25493 (Rat)

Gene Symbol

NFKBIA

UniProt

Additional IkB-alpha Products

Product Documents for Human IkB-alpha Antibody

Certificate of Analysis

To download a Certificate of Analysis, please enter a lot number in the search box below.

Note: Certificate of Analysis not available for kit components.

Product Specific Notices for Human IkB-alpha Antibody

For research use only

Loading...
Loading...
Loading...
Loading...