Skip to main content

Key Product Details

Species Reactivity

Human

Applications

Immunohistochemistry, Western Blot

Label

Unconjugated

Antibody Source

Monoclonal Mouse IgG2B Clone # 729923

Product Specifications

Immunogen

E. coli-derived recombinant human Hormone-sensitive Lipase/HSL
Met302-Leu425
Accession # Q05469

Specificity

Detects human Hormone-sensitive Lipase/HSL in direct ELISAs.

Clonality

Monoclonal

Host

Mouse

Isotype

IgG2B

Scientific Data Images for Human Hormone-sensitive Lipase/HSL Antibody

Detection of Human and Mouse Hormone-sensitive Lipase/HSL antibody by Western Blot.

Detection of Human and Mouse Hormone-sensitive Lipase/HSL by Western Blot.

Western blot shows lysates of MCF-7 human breast cancer cell line, NTera-2 human testicular embryonic carcinoma cell line, SVEC4-10 mouse vascular endothelial cell line, and HT-29 human colon adenocarcinoma cell line. PVDF membrane was probed with 2 µg/mL of Mouse Anti-Human Hormone-sensitive Lipase/HSL Monoclonal Antibody (Catalog # MAB7104) followed by HRP-conjugated Anti-Mouse IgG Secondary Antibody (Catalog # HAF007). Specific bands were detected for Hormone-sensitive Lipase/HSL at approximately 70 kDa and 130 kDa (as indicated). This experiment was conducted under reducing conditions and using Immunoblot Buffer Group 1.
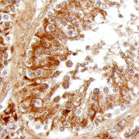
Hormone-sensitive Lipase/HSL antibody in Human Testis by Immunohistochemistry (IHC-P).

Hormone-sensitive Lipase/HSL in Human Testis.

Hormone-sensitive Lipase/HSL was detected in immersion fixed paraffin-embedded sections of human testis using Mouse Anti-Human Hormone-sensitive Lipase/HSL Monoclonal Antibody (Catalog # MAB7104) at 8 µg/mL overnight at 4 °C. Tissue was stained using the Anti-Mouse HRP-DAB Cell & Tissue Staining Kit (brown; Catalog # CTS002) and counterstained with hematoxylin (blue). Specific staining was localized to the cytoplasm of spermatocytes. View our protocol for Chromogenic IHC Staining of Paraffin-embedded Tissue Sections.

Applications for Human Hormone-sensitive Lipase/HSL Antibody

Application
Recommended Usage

Immunohistochemistry

8-25 µg/mL
Sample: Immersion fixed paraffin-embedded sections of human testis

Western Blot

2 µg/mL
Sample: MCF‑7 human breast cancer cell line, NTera‑2 human testicular embryonic carcinoma cell line, SVEC4‑10 mouse vascular endothelial cell line, and HT‑29 human colon adenocarcinoma cell line

Formulation, Preparation, and Storage

Purification

Protein A or G purified from hybridoma culture supernatant

Reconstitution

Sterile PBS to a final concentration of 0.5 mg/mL. For liquid material, refer to CoA for concentration.

Reconstitution Buffer Available:
Size / Price
Qty
Loading...

Formulation

Lyophilized from a 0.2 μm filtered solution in PBS with Trehalose. *Small pack size (SP) is supplied either lyophilized or as a 0.2 µm filtered solution in PBS.

Shipping

Lyophilized product is shipped at ambient temperature. Liquid small pack size (-SP) is shipped with polar packs. Upon receipt, store immediately at the temperature recommended below.

Stability & Storage

Use a manual defrost freezer and avoid repeated freeze-thaw cycles.
  • 12 months from date of receipt, -20 to -70 °C as supplied.
  • 1 month, 2 to 8 °C under sterile conditions after reconstitution.
  • 6 months, -20 to -70 °C under sterile conditions after reconstitution.

Background: Hormone-sensitive Lipase/HSL

HSL (hormone-sensitive lipase), also called LIPE, is an 84 kDa phosphoprotein that is the rate-limiting enzyme in the catalytic breakdown of triglycerides. The human 775 amino acid (aa) form is active in adipose tissue and skeletal muscle. Within the region used as an immunogen, human HSL shares 92% and 93% aa sequence identity with mouse and rat HSL, respectively. HSL translocates to triglyceride-metabolizing lipid droplets in response to epinephrine or contraction in skeletal muscle, but to the cytosol following insulin treatment of adipocytes. A 120 kDa isoform of human HSL with a 301 aa N-terminal extension is present in the testes, localized to elongating spermatids and spermatozoa.

Alternate Names

Hormonesensitive Lipase, HSL, LHS, LIPE

Entrez Gene IDs

3991 (Human); 16890 (Mouse); 25330 (Rat)

Gene Symbol

LIPE

UniProt

Additional Hormone-sensitive Lipase/HSL Products

Product Documents for Human Hormone-sensitive Lipase/HSL Antibody

Certificate of Analysis

To download a Certificate of Analysis, please enter a lot number in the search box below.

Note: Certificate of Analysis not available for kit components.

Product Specific Notices for Human Hormone-sensitive Lipase/HSL Antibody

For research use only

Loading...
Loading...
Loading...
Loading...