Skip to main content

Key Product Details

Species Reactivity

Validated:

Human

Cited:

Human, Mouse, Rat, Canine, Transgenic Mouse

Applications

Validated:

Immunohistochemistry, Western Blot, Neutralization

Cited:

Immunohistochemistry, Immunohistochemistry-Paraffin, Western Blot, Neutralization, Immunocytochemistry, Immunoprecipitation, Immunoassay Development

Label

Unconjugated

Antibody Source

Polyclonal Goat IgG

Product Specifications

Immunogen

S. frugiperda insect ovarian cell line Sf 21-derived recombinant human HGF
Gln32-Ser728 (Asp384Asn, Asp416Asn, Leu622Ser, His645Arg, Val678Ile)
Accession # P14210

Specificity

Detects human HGF in direct ELISAs and Western blots. In direct ELISAs and Western blots, less than 5% cross-reactivity with recombinant mouse HGF is observed. In Western blots, no cross-reactivity with recombinant canine HGF is observed.

Clonality

Polyclonal

Host

Goat

Isotype

IgG

Endotoxin Level

<0.10 EU per 1 μg of the antibody by the LAL method.

Scientific Data Images for Human HGF Antibody

Detection of Recombinant Human HGF antibody by Western Blot.

Detection of Recombinant Human HGF by Western Blot.

Western blot shows 25 ng of Recombinant Human HGF (Catalog # 294-HG), Recombinant Mouse HGF (Catalog # 2207-HG) and Recombinant Canine HGF (Catalog # 3386-HG). PVDF Membrane was probed with 0.1 µg/mL of Goat Anti-Human HGF Antigen Affinity-purified Polyclonal Antibody (Catalog # AF-294-NA) followed by HRP-conjugated Anti-Goat IgG Secondary Antibody (Catalog # HAF109). Specific bands were detected for HGF at approximately 30 and 60 kDa (as indicated). This experiment was conducted under reducing conditions and using Immunoblot Buffer Group 3.
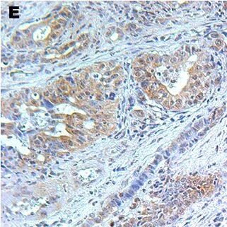
HGF antibody in Human Liver by Immunohistochemistry (IHC-P).

HGF in Human Liver.

HGF was detected in formalin fixed paraffin-embedded sections of human liver using 15 µg/mL Goat Anti-Human HGF Antigen Affinity-purified Polyclonal Antibody (Catalog # AF-294-NA) overnight at 4 °C. Tissue was stained with the Anti-Goat HRP-DAB Cell & Tissue Staining Kit (brown; Catalog # CTS008) and counterstained with hematoxylin (blue). View our protocol for Chromogenic IHC Staining of Paraffin-embedded Tissue Sections.
IL-11 Secretion Induced by HGF and Neutralization by Human HGF Antibody.

IL-11 Secretion Induced by HGF and Neutralization by Human HGF Antibody.

Recombinant Human HGF induces IL-11 secretion in the Saos-2 human osteosarcoma cell line. The dose-dependent response (orange line) is measured by the Human IL-11 Duoset (Catalog # DY218). Under these conditions, IL-11 secretion elicited by HGF is neutralized (green line) by increasing concentrations of Goat Anti-Human HGF Antigen Affinity-purified Polyclonal Antibod (Catalog # AF-294-NA). The ND50 is typically 0.01-0.06 µg/mL.

Applications for Human HGF Antibody

Application
Recommended Usage

Immunohistochemistry

5-15 µg/mL
Sample: Immersion fixed paraffin-embedded sections of human liver

Western Blot

0.1 µg/mL
Sample: Recombinant Human HGF (Catalog # 294-HG)

Neutralization

Measured by its ability to neutralize HGF-induced IL-11 secretion in the Saos‑2 human osteosarcoma cell line. Hjertner, O. et al. (1999) Blood 94:3883.The Neutralization Dose (ND50) is typically 0.01-0.06 μg/mL in the presence of 3 ng/mL Recombinant Human HGF.

Reviewed Applications

Read 1 review rated 5 using AF-294-NA in the following applications:

Formulation, Preparation, and Storage

Purification

Antigen Affinity-purified

Reconstitution

Reconstitute at 0.2 mg/mL in sterile PBS. For liquid material, refer to CoA for concentration.

Reconstitution Buffer Available:
Size / Price
Qty
Loading...

Formulation

Lyophilized from a 0.2 μm filtered solution in PBS with Trehalose. *Small pack size (SP) is supplied either lyophilized or as a 0.2 µm filtered solution in PBS.

Shipping

Lyophilized product is shipped at ambient temperature. Liquid small pack size (-SP) is shipped with polar packs. Upon receipt, store immediately at the temperature recommended below.

Stability & Storage

Use a manual defrost freezer and avoid repeated freeze-thaw cycles.
  • 12 months from date of receipt, -20 to -70 °C as supplied.
  • 1 month, 2 to 8 °C under sterile conditions after reconstitution.
  • 6 months, -20 to -70 °C under sterile conditions after reconstitution.

Background: HGF

HGF, also known as scatter factor and hepatopoietin A, is a pleiotropic protein in the plasminogen subfamily of S1 peptidases. It is a multidomain molecule that includes an N-terminal PAN/APPLE-like domain, four Kringle domains, and a serine proteinase-like domain that has no detectable protease activity. Human HGF is secreted as an inactive 728 amino acid (aa) single chain propeptide. It is cleaved after the fourth Kringle domain by a serine protease to form bioactive disulfide-linked HGF with a 60 kDa alpha and 30 kDa beta chain. Alternate splicing generates human HGF isoforms that lack the proteinase-like domain and different numbers of the Kringle domains. Human HGF shares 91%‑94% aa sequence identity with bovine, canine, feline, mouse, and rat HGF. HGF binds heparan-sulfate proteoglycans and the widely expressed receptor tyrosine kinase, HGF R/c-MET. HGF-dependent c-MET activation is implicated in the development of many human cancers. HGF regulates epithelial morphogenesis by inducing cell scattering and branching tubulogenesis. HGF induces the upregulation of integrin alpha2 beta1 in epithelial cells by a selective increase in alpha2 gene transcription. This integrin serves as a collagen I receptor, and its blockade disrupts epithelial cell branching tubulogenesis. HGF can also alter epithelium morphology by the induction of nectin-1 alpha ectodomain shedding, an adhesion protein component of adherens junctions. In the thyroid, HGF induces the proliferation, motility, and loss of differentiation markers of thyrocytes and inhibits TSH-stimulated iodine uptake. HGF promotes the motility of cardiac stem cells in damaged myocardium.

Long Name

Hepatocyte Growth Factor

Alternate Names

DFNB39, F-TCF, Hepatopoietin A, HGFB, HPTA, SF

Entrez Gene IDs

3082 (Human); 15234 (Mouse); 24446 (Rat); 403441 (Canine); 102133907 (Cynomolgus Monkey); 493705 (Feline)

Gene Symbol

HGF

UniProt

Additional HGF Products

Product Documents for Human HGF Antibody

Certificate of Analysis

To download a Certificate of Analysis, please enter a lot number in the search box below.

Note: Certificate of Analysis not available for kit components.

Product Specific Notices for Human HGF Antibody

For research use only

Loading...
Loading...
Loading...
Loading...