Skip to main content

Human Hexokinase 1/2 Antibody

R&D Systems, part of Bio-Techne | Catalog # AF8178

R&D Systems, part of Bio-Techne
Catalog #
Availability
Size / Price
Qty
Loading...
AF8178

Key Product Details

Species Reactivity

Human

Applications

Immunohistochemistry, Western Blot

Label

Unconjugated

Antibody Source

Polyclonal Rabbit IgG

Product Specifications

Immunogen

E. coli-derived recombinant human Hexokinase 1 and E. coli-derived recombinant human Hexokinase 2
Phe11-Ser917 and Phe11-Arg917
Accession # P19367 & P52789

Specificity

Detects human Hexokinase 1 and human Hexokinase 2 in direct ELISAs and Western blots.

Clonality

Polyclonal

Host

Rabbit

Isotype

IgG

Scientific Data Images for Human Hexokinase 1/2 Antibody

Detection of Human Hexokinase 1/2 antibody by Western Blot.

Detection of Human Hexokinase 1/2 by Western Blot.

Western blot shows lysates of HeLa human cervical epithelial carcinoma cell line, K562 human chronic myelogenous leukemia cell line, and HEK293 human embryonic kidney cell line. PVDF membrane was probed with 1:1000 dilution of Rabbit Anti-Human Hexokinase 1/2 Antigen Affinity-purified Polyclonal Antibody (Catalog # AF8178) followed by HRP-conjugated Anti-Rabbit IgG Secondary Antibody (Catalog # HAF008). A specific band was detected for Hexokinase 1/2 at approximately 105 kDa (as indicated). This experiment was conducted under reducing conditions and using Immunoblot Buffer Group 1.
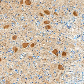
Hexokinase 1/2 antibody in Human Brain Medulla Tissue by Immunohistochemistry (IHC-P).

Hexokinase 1/2 in Human Brain Medulla Tissue.

Hexokinase 1/2 was detected in immersion fixed paraffin-embedded sections of human brain medulla tissue using Rabbit Anti-Human Hexokinase 1/2 Antigen Affinity-purified Polyclonal Antibody (Catalog # AF8178) at 1:200 dilution overnight at 4 °C. Tissue was stained using the Anti-Rabbit HRP-DAB Cell & Tissue Staining Kit (brown; Catalog # CTS005) and counterstained with hematoxylin (blue). Specific staining was localized to neurons. View our protocol for Chromogenic IHC Staining of Paraffin-embedded Tissue Sections.

Applications for Human Hexokinase 1/2 Antibody

Application
Recommended Usage

Immunohistochemistry

1:200 dilution
Sample: Immersion fixed paraffin-embedded sections of human brain medulla tissue

Western Blot

1:1000 dilution
Sample: HeLa human cervical epithelial carcinoma cell line, K562 human chronic myelogenous leukemia cell line, and HEK293 human embryonic kidney cell line

Formulation, Preparation, and Storage

Purification

Antigen Affinity-purified

Formulation

Supplied as a solution in PBS containing BSA, Glycerol and Sodium Azide. See Certificate of Analysis for details.

Shipping

The product is shipped with polar packs. Upon receipt, store it immediately at the temperature recommended below.

Stability & Storage

Use a manual defrost freezer and avoid repeated freeze-thaw cycles.
  • 12 months from date of receipt, -20 to -70 °C, as supplied.
  • 1 month, 2 to 8 °C under sterile conditions after opening.
  • 6 months, -20 to -70 °C under sterile conditions after opening.

Background: Hexokinase 1/2

Hexokinases phosphorylate hexose to form hexose 6-phosphate, the first step in hexose metabolism (1). Phosphorylation of a hexose adds charge to molecule thereby making it difficult to transport out of a cell. The hexose is therefore retained for intracellular metabolic processes, such as glycolysis or glycogen synthesis. In most organisms, glucose is the most important substrate of hexokinases and glucose-6-phosphate is the most important product. There are four mammalian hexokinases (2). Hexokinase 1, 2 and 3 are referred to as high-affinity hexokinases because their Km for glucose is below 1 mM. Hexokinase 4 is specific for glucose and is also referred to as glucokinase (3). Hexokinase I localizes to the outer membrane of mitochondria and is found in all mammalian tissues. The amino acids involved in mitochondrion membrane localization (4) have been removed in the recombinant enzyme. Hexokinase 1 (HK1) contains two homologous halves that are believed to be evolved from a single ancestral hexokinase by gene duplication and fusion (5). While the regulatory function is associated with the N-terminal half, the catalytic site is associated with the C-terminal half. HK1 is insensitive to product inhibition (6). Mutation in the active site of human hexokinase is associated with hexokinase deficiency and severe nonspherocytic hemolytic anemia (7). The enzymatic activity of recombinant human HK1 is measured using a phosphatase-coupled method (8).

References

1. Aleshin, A.E. et al. (1998) Structure 6:39-50
2. Takeda, J. et al. (1993) J. Biol. Chem. 268:15200.
3. Lange, A.J. et al. (1991) Biochem. J. 277:159–163.
4. Magnani, M. et al., J. Biol. Chem. 266: 502.
5. Nishi, S. et al. (1988) Biochem. Biophys. Res. Commun. 157:937.
6. Magnani, M. et al. (1992) Biochem. J. 285:193.
7. Van Wijk R. et al. (2003) Blood 101:345.
8. Wu, Z.L. (2011) PLoS One 6:e23172.

UniProt

Additional Hexokinase 1/2 Products

Product Documents for Human Hexokinase 1/2 Antibody

Certificate of Analysis

To download a Certificate of Analysis, please enter a lot number in the search box below.

Note: Certificate of Analysis not available for kit components.

Product Specific Notices for Human Hexokinase 1/2 Antibody

* Contains <0.1% Sodium Azide, which is not hazardous at this concentration according to GHS classifications. Refer to SDS for additional information and handling instructions.

For research use only

Loading...
Loading...
Loading...