Skip to main content

Key Product Details

Species Reactivity

Human

Applications

Immunohistochemistry, Immunocytochemistry

Label

Unconjugated

Antibody Source

Monoclonal Mouse IgG1 Clone # 960216

Product Specifications

Immunogen

E. coli-derived recombinant human HES-1
Asn90-Pro277
Accession # Q14469

Specificity

Detects human HES-1 in direct ELISAs.

Clonality

Monoclonal

Host

Mouse

Isotype

IgG1

Scientific Data Images for Human HES-1 Antibody

HES-1 antibody in MCF-7 Human Cell Line by Immunocytochemistry (ICC).

HES‑1 in MCF‑7 Human Cell Line.

HES-1 was detected in immersion fixed MCF-7 human breast cancer cell line using Mouse Anti-Human HES-1 Monoclonal Antibody (Catalog # MAB3317) at 8 µg/mL for 3 hours at room temperature. Cells were stained using the NorthernLights™ 557-conjugated Anti-Mouse IgG Secondary Antibody (red; Catalog # NL007) and counterstained with DAPI (blue). Specific staining was localized to nuclei. View our protocol for Fluorescent ICC Staining of Cells on Coverslips.
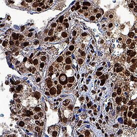
HES-1 antibody in Human Liver Cancer Tissue by Immunohistochemistry (IHC-P).

HES‑1 in Human Liver Cancer Tissue.

HES-1 was detected in immersion fixed paraffin-embedded sections of human liver cancer tissue using Mouse Anti-Human HES-1 Monoclonal Antibody (Catalog # MAB3317) at 5 µg/mL for 1 hour at room temperature followed by incubation with the Anti-Mouse IgG VisUCyte™ HRP Polymer Antibody (Catalog # VC001). Tissue was stained using DAB (brown) and counterstained with hematoxylin (blue). Specific staining was localized to nuclei. View our protocol for IHC Staining with VisUCyte HRP Polymer Detection Reagents.

Applications for Human HES-1 Antibody

Application
Recommended Usage

Immunocytochemistry

8-25 µg/mL
Sample: Immersion fixed MCF-7 human breast cancer cell line

Immunohistochemistry

5-25 µg/mL
Sample: Immersion fixed paraffin-embedded sections of human liver cancer tissue

Reviewed Applications

Read 1 review rated 5 using MAB3317 in the following applications:

Formulation, Preparation, and Storage

Purification

Protein A or G purified from hybridoma culture supernatant

Reconstitution

Reconstitute at 0.5 mg/mL in sterile PBS. For liquid material, refer to CoA for concentration.

Reconstitution Buffer Available:
Size / Price
Qty
Loading...

Formulation

Lyophilized from a 0.2 μm filtered solution in PBS with Trehalose. *Small pack size (SP) is supplied either lyophilized or as a 0.2 µm filtered solution in PBS.

Shipping

Lyophilized product is shipped at ambient temperature. Liquid small pack size (-SP) is shipped with polar packs. Upon receipt, store immediately at the temperature recommended below.

Stability & Storage

Use a manual defrost freezer and avoid repeated freeze-thaw cycles.
  • 12 months from date of receipt, -20 to -70 °C as supplied.
  • 1 month, 2 to 8 °C under sterile conditions after reconstitution.
  • 6 months, -20 to -70 °C under sterile conditions after reconstitution.

Background: HES-1

HES-1 is a transcriptional repressor that is a target of notch signaling. It contains a basic helix-loop-helix (bHLH) DNA-binding domain, an Orange domain and a C‑terminal tetrapeptide WRPW motif that binds to the Groucho (Gro)/TLE/Grg family of corepressors. HES-1 can form both homo- and heterodimers with other HES family members. Dimerization is mediated through both the bHLH and the downstream Orange domain. Over the sequence used for immunization, human HES-1 shares 97% and 98% amino acid sequence identity with mouse and rat HES-1, respectively.

Long Name

Hairy And Enhancer of Split 1

Alternate Names

HES1, HL, HRY

Entrez Gene IDs

3280 (Human); 15205 (Mouse); 29577 (Rat)

Gene Symbol

HES1

UniProt

Additional HES-1 Products

Product Documents for Human HES-1 Antibody

Certificate of Analysis

To download a Certificate of Analysis, please enter a lot number in the search box below.

Note: Certificate of Analysis not available for kit components.

Product Specific Notices for Human HES-1 Antibody

For research use only

Loading...
Loading...
Loading...
Loading...