Skip to main content

Key Product Details

Validated by

Biological Validation

Species Reactivity

Validated:

Human

Cited:

Human, Mouse, Rat, Primate - Chlorocebus pygerythrus (Vervet Monkey), Transgenic Mouse

Applications

Validated:

Immunohistochemistry, Western Blot, ELISA Capture (Matched Antibody Pair), Neutralization

Cited:

Immunohistochemistry, Immunohistochemistry-Paraffin, Western Blot, Neutralization, Flow Cytometry, Immunocytochemistry, Cell Culture, ELISA Capture

Label

Unconjugated

Antibody Source

Polyclonal Goat IgG

Product Specifications

Immunogen

S. frugiperda insect ovarian cell line Sf 21-derived recombinant human HB-EGF (R&D Systems, Catalog # 259-HE)
Asp63-Leu148
Accession # Q99075

Specificity

Detects human HB-EGF in ELISAs and Western blots. In direct ELISAs, less than 1% cross reactivity with recombinant mouse HB-EGF is observed. In sandwich immunoassays, less than 0.1% cross-reactivity with recombinant human (rh) Amphiregulin, rhBetacellulin, rhEpiregulin, and recombinant mouse Epigen is observed.

Clonality

Polyclonal

Host

Goat

Isotype

IgG

Endotoxin Level

<0.10 EU per 1 μg of the antibody by the LAL method.

Scientific Data Images for Human HB-EGF Antibody

Cell Proliferation Induced by HB‑EGF and Neutralization by Human HB‑EGF Antibody.

Cell Proliferation Induced by HB‑EGF and Neutralization by Human HB‑EGF Antibody.

Recombinant Human HB-EGF (Catalog # 259-HE) stimulates proliferation in the Balb/3T3 mouse embryonic fibroblast cell line in a dose-dependent manner (orange line). Proliferation elicited by Recombinant Human HB-EGF (20 ng/mL) is neutralized (green line) by increasing concentrations of Human HB-EGF Antigen Affinity-purified Polyclonal Antibody (Catalog # AF-259-NA). The ND50 is typically 0.1-0.6 µg/mL.
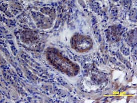
HB-EGF antibody in Human Placenta by Immunohistochemistry (IHC-P).

HB-EGF in Human Placenta.

HB-EGF was detected in immersion fixed paraffin-embedded sections of human placenta using 15 µg/mL Human HB-EGF Antigen Affinity-purified Polyclonal Antibody (Catalog # AF-259-NA) overnight at 4 °C. Tissue was stained with the Anti-Goat HRP-DAB Cell & Tissue Staining Kit (brown; Catalog # CTS008) and counterstained with hematoxylin (blue). View our protocol for Chromogenic IHC Staining of Paraffin-embedded Tissue Sections.
HB-EGF antibody in Human Placenta by Immunohistochemistry (IHC-P).

HB-EGF in Human Placenta.

HB-EGF was detected in immersion fixed paraffin-embedded sections of human placenta using Human HB-EGF Antigen Affinity-purified Polyclonal Antibody (Catalog # AF-259-NA) at 15 µg/mL overnight at 4 °C. Tissue was stained using the Anti-Goat HRP-DAB Cell & Tissue Staining Kit (brown; Catalog # CTS008) and counterstained with hematoxylin (blue). View our protocol for Chromogenic IHC Staining of Paraffin-embedded Tissue Sections.

Applications for Human HB-EGF Antibody

Application
Recommended Usage

Immunohistochemistry

5-15 µg/mL
Sample: Immersion fixed paraffin-embedded sections of human placenta

Western Blot

0.1 µg/mL
Sample: Recombinant Human HB-EGF (Catalog # 259-HE)

Neutralization

Measured by its ability to neutralize HB‑EGF-induced proliferation in the Balb/3T3 mouse embryonic fibroblast cell line. Rubin, J.S. et al. (1991) PNAS 88:415. The Neutralization Dose (ND50) is typically 0.1-0.6 µg/mL in the presence of 20 ng/mL Recombinant Human HB‑EGF.

Human HB-EGF Sandwich Immunoassay

ELISA Capture (Matched Antibody Pair)
Recommended Concentration: 0.2-0.8 µg/mL
Use in combination with these reagents:
  • Detection Reagent: Human HB-EGF Biotinylated Antibody (Catalog # BAF259)
  • Standard: Recombinant Human HB-EGF Protein (Catalog # 259-HE)
Please Note: Optimal dilutions of this antibody should be experimentally determined.

Reviewed Applications

Read 1 review rated 4 using AF-259-NA in the following applications:

Formulation, Preparation, and Storage

Purification

Antigen Affinity-purified

Reconstitution

Reconstitute at 0.2 mg/mL in sterile PBS. For liquid material, refer to CoA for concentration.

Reconstitution Buffer Available:
Size / Price
Qty
Loading...

Formulation

Lyophilized from a 0.2 μm filtered solution in PBS with Trehalose. *Small pack size (SP) is supplied either lyophilized or as a 0.2 µm filtered solution in PBS.

Shipping

Lyophilized product is shipped at ambient temperature. Liquid small pack size (-SP) is shipped with polar packs. Upon receipt, store immediately at the temperature recommended below.

Stability & Storage

Use a manual defrost freezer and avoid repeated freeze-thaw cycles.
  • 12 months from date of receipt, -20 to -70 °C as supplied.
  • 1 month, 2 to 8 °C under sterile conditions after reconstitution.
  • 6 months, -20 to -70 °C under sterile conditions after reconstitution.

Background: HB-EGF

HB-EGF was originally purified based on its heparin-binding property and mitogenic activity on BALB-3T3 fibroblasts from the conditioned medium of the human U-937 histiocytic lymphoma cell line. The natural protein has an apparent molecular mass of 19-23 kDa and exists in multiple forms as a result of heterogenous O-glycosylation and/or N-terminal truncation. In addition to fibroblasts, HB-EGF is also a potent mitogen for keratinocytes and smooth muscle cells but not for capillary endothelial cells. HB-EGF is produced in monocytes and macrophages. In addition, transcription of HB-EGF can be induced in vascular endothelial cells as well as aortic smooth muscle cells (SMC), suggesting that HB-EGF may have an important role in the pathogenesis of atherosclerosis.

HB-EGF is a member of the EGF family of mitogens which also include transforming growth factor-alpha (TGF-alpha), amphiregulin (AR), rat schwanoma-derived growth factor (SDGF), vaccinia growth factor (VGF), and the various ligands for the Her2/ErbB2/neu receptor. All these cytokines are derived from transmembrane precursors that contain one or several EGF structural units in their extracellular domain. Many of these transmembrane precursors are biologically active and seem to play a role in juxtacrine stimulation of adjacent cells. The cDNA for HB-EGF encodes a 204 amino acid residue transmembrane protein that is proteolytically cleaved to generate the soluble HB-EGF. Like EGF, TGF-alpha, and AR; HB-EGF binds to the EGF receptor and activates the receptor tyrosine kinase. HB-EGF is reported to be a more potent SMC mitogen than EGF. It has been suggested that the differential activities found for HB-EGF compared to EGF may be mediated by the heparin-binding properties of HB-EGF. A diphtheria toxin receptor that mediates the endocytosis of the bound toxin has been cloned and found to be identical to the transmembrane HB-EGF precursor.

Long Name

Heparin Binding EGF-like Growth Factor

Alternate Names

Dtr, Dts, HBEGF, Hegfl

Entrez Gene IDs

1839 (Human); 15200 (Mouse)

Gene Symbol

HBEGF

UniProt

Additional HB-EGF Products

Product Documents for Human HB-EGF Antibody

Certificate of Analysis

To download a Certificate of Analysis, please enter a lot number in the search box below.

Note: Certificate of Analysis not available for kit components.

Product Specific Notices for Human HB-EGF Antibody

For research use only

Loading...
Loading...
Loading...
Loading...