Skip to main content

Key Product Details

Species Reactivity

Validated:

Human

Cited:

Human

Applications

Validated:

Immunohistochemistry, Western Blot, Simple Western

Cited:

Immunohistochemistry-Paraffin, Western Blot

Label

Unconjugated

Antibody Source

Polyclonal Goat IgG

Product Specifications

Immunogen

Mouse myeloma cell line NS0-derived recombinant human HAI-1
Pro37-Glu449
Accession # NP_003701

Specificity

Detects human HAI-1 in direct ELISAs and Western blots. In direct ELISAs, approximately 20% cross-reactivity with recombinant mouseHAI‑1 is observed and less than 1% cross-reactivity with recombinant human HAI-2 is observed.

Clonality

Polyclonal

Host

Goat

Isotype

IgG

Scientific Data Images for Human HAI-1 Antibody

Detection of Human HAI-1 antibody by Western Blot.

Detection of Human HAI‑1 by Western Blot.

Western blot shows lysates of MCF-7 human breast cancer cell line. PVDF membrane was probed with 1 µg/mL of Goat Anti-Human HAI-1 Antigen Affinity-purified Polyclonal Antibody (Catalog # AF1048) followed by HRP-conjugated Anti-Goat IgG Secondary Antibody (Catalog # HAF019). A specific band was detected for HAI-1 at approximately 70 kDa (as indicated). This experiment was conducted under reducing conditions and using Immunoblot Buffer Group 1.
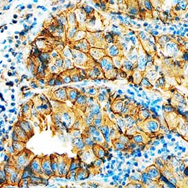
HAI-1 antibody in Human Lung Cancer Tissue by Immunohistochemistry (IHC-P).

HAI‑1 in Human Lung Cancer Tissue.

HAI-1 was detected in immersion fixed paraffin-embedded sections of human lung cancer tissue using Goat Anti-Human HAI-1 Antigen Affinity-purified Polyclonal Antibody (Catalog # AF1048) at 5 µg/mL overnight at 4 °C. Tissue was stained using the Anti-Goat HRP-DAB Cell & Tissue Staining Kit (brown; Catalog # CTS008) and counterstained with hematoxylin (blue). Specific staining was localized to plasma membrane in epithelial cells. View our protocol for Chromogenic IHC Staining of Paraffin-embedded Tissue Sections.
Detection of Human HAI-1 antibody by Simple WesternTM.

Detection of Human HAI‑1 by Simple WesternTM.

Simple Western lane view shows lysates of MCF-7 human breast cancer cell line, loaded at 0.2 mg/mL. A specific band was detected for HAI-1 at approximately 88 kDa (as indicated) using 10 µg/mL of Goat Anti-Human HAI-1 Antigen Affinity-purified Polyclonal Antibody (Catalog # AF1048) followed by 1:50 dilution of HRP-conjugated Anti-Goat IgG Secondary Antibody (Catalog # HAF109). This experiment was conducted under reducing conditions and using the 12-230 kDa separation system. Non-specific interaction with the 230 kDa Simple Western standard may be seen with this antibody.

Applications for Human HAI-1 Antibody

Application
Recommended Usage

Immunohistochemistry

5-15 µg/mL
Sample: Immersion fixed paraffin-embedded sections of human lung cancer tissue

Simple Western

10 µg/mL
Sample: MCF‑7 human breast cancer cell line

Western Blot

1 µg/mL
Sample: MCF‑7 human breast cancer cell line

Formulation, Preparation, and Storage

Purification

Antigen Affinity-purified

Reconstitution

Reconstitute at 0.2 mg/mL in sterile PBS. For liquid material, refer to CoA for concentration.

Reconstitution Buffer Available:
Size / Price
Qty
Loading...

Formulation

Lyophilized from a 0.2 μm filtered solution in PBS with Trehalose. *Small pack size (SP) is supplied either lyophilized or as a 0.2 µm filtered solution in PBS.

Shipping

Lyophilized product is shipped at ambient temperature. Liquid small pack size (-SP) is shipped with polar packs. Upon receipt, store immediately at the temperature recommended below.

Stability & Storage

Use a manual defrost freezer and avoid repeated freeze-thaw cycles.
  • 12 months from date of receipt, -20 to -70 °C as supplied.
  • 1 month, 2 to 8 °C under sterile conditions after reconstitution.
  • 6 months, -20 to -70 °C under sterile conditions after reconstitution.

Background: HAI-1

HAI-1 is a Kunitz-type serine protease inhibitor, identified as a strong inhibitor of HGF activator (HGFA) and matriptase (1). The membrane-anchored HAI-1 consists of two Kunitz domains, a LDL-receptor-like domain, and a C-terminal transmembrane domain (2). Two soluble forms are generated by ectodomain shedding, one with a single Kunitz domain and the other with two Kunitz domains. HAI-1 is not only an inhibitor but also a specific receptor of active HGFA, acting as a reservoir of this enzyme on the cell surface (3). The shedding of HAI-1 and HGFA/HAI-1 complex is enhanced by treatment with phorbol 12-myristate 13-acetate or IL-1 beta. The regulated shedding is completely inhibited by a synthetic zinc metalloprotease inhibitor (3).

References

  1. Denda, K. et al. (2002) J. Biol. Chem. 277:14053. 
  2. Shimomura, T. et al. (1997) J. Biol. Chem. 272:6370.
  3. Kataoka, H. et al. (2000) J. Biol. Chem. 275:40453.

Long Name

HGF Activator Inhibitor Type 1

Alternate Names

HAI1, SPINT1

Entrez Gene IDs

6692 (Human); 20732 (Mouse)

Gene Symbol

SPINT1

UniProt

Additional HAI-1 Products

Product Documents for Human HAI-1 Antibody

Certificate of Analysis

To download a Certificate of Analysis, please enter a lot number in the search box below.

Note: Certificate of Analysis not available for kit components.

Product Specific Notices for Human HAI-1 Antibody

For research use only

Loading...
Loading...
Loading...
Loading...