Skip to main content

Key Product Details

Species Reactivity

Human

Applications

Immunohistochemistry

Label

Unconjugated

Antibody Source

Monoclonal Mouse IgG1 Clone # 419605

Product Specifications

Immunogen

E. coli-derived recombinant human GRP75/HSPA9B
Glu542-Gln679
Accession # P38646

Specificity

Detects human GRP75/HSPA9B in direct ELISAs.

Clonality

Monoclonal

Host

Mouse

Isotype

IgG1

Scientific Data Images for Human GRP75/HSPA9B Antibody

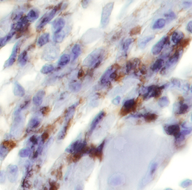
GRP75/HSPA9B antibody in Human Fibroblast Menangioma by Immunohistochemistry (IHC-P).

GRP75/HSPA9B in Human Fibroblast Menangioma.

GRP75/HSPA9B was detected in immersion fixed paraffin-embedded sections of human fibroblast menangioma using 15 µg/mL Mouse Anti-Human GRP75/HSPA9B Monoclonal Antibody (Catalog # MAB35841) overnight at 4 °C. Tissue was stained with the Anti-Mouse HRP-DAB Cell & Tissue Staining Kit (brown; Catalog # CTS002) and counterstained with hematoxylin (blue). View our protocol for Chromogenic IHC Staining of Paraffin-embedded Tissue Sections.
GRP75/HSPA9B antibody in Human Fibroblast Menangioma by Immunohistochemistry (IHC-P).

GRP75/HSPA9B in Human Fibroblast Menangioma.

GRP75/HSPA9B was detected in immersion fixed paraffin-embedded sections of human fibroblast menangioma using 25 µg/mL Mouse Anti-Human GRP75/HSPA9B Monoclonal Antibody (Catalog # MAB35841) overnight at 4 °C. Tissue was stained with the Anti-Mouse HRP-DAB Cell & Tissue Staining Kit (brown; Catalog # CTS002) and counterstained with hematoxylin (blue). View our protocol for Chromogenic IHC Staining of Paraffin-embedded Tissue Sections.

Applications for Human GRP75/HSPA9B Antibody

Application
Recommended Usage

Immunohistochemistry

8-25 µg/mL
Sample: Immersion fixed paraffin-embedded sections of human fibroblast meningioma

Formulation, Preparation, and Storage

Purification

Protein A or G purified from hybridoma culture supernatant

Reconstitution

Reconstitute at 0.5 mg/mL in sterile PBS. For liquid material, refer to CoA for concentration.

Reconstitution Buffer Available:
Size / Price
Qty
Loading...

Formulation

Lyophilized from a 0.2 μm filtered solution in PBS with Trehalose. *Small pack size (SP) is supplied either lyophilized or as a 0.2 µm filtered solution in PBS.

Shipping

Lyophilized product is shipped at ambient temperature. Liquid small pack size (-SP) is shipped with polar packs. Upon receipt, store immediately at the temperature recommended below.

Stability & Storage

Use a manual defrost freezer and avoid repeated freeze-thaw cycles.
  • 12 months from date of receipt, -20 to -70 °C as supplied.
  • 1 month, 2 to 8 °C under sterile conditions after reconstitution.
  • 6 months, -20 to -70 °C under sterile conditions after reconstitution.

Background: GRP75/HSPA9B

The 70 kDa heat shock proteins (HSP70s) are a highly conserved family of stress response proteins. The HSP70 family of proteins contains both heat/stress inducible and constitutively expressed members known as heat shock cognate proteins. Glucose Regulated 75 kDa Protein (GRP75, also known as HSPA9B, mitochondrial HSP70, and mortalin-2) is a 679 amino acid (aa) heat shock cognate protein. Many HSPs function as molecular chaperones, facilitating the folding of other cellular proteins. GRP75 is a mitochondrial protein involved in protein translocation into the mitochondria. Proteins crossing the mitochondrial membrane require unfolding before entering translocation pores in the mitochondrial outer membrane. GRP75 together with other inner membrane proteins of the mitochondria mediate this process. GRP75 also plays a role in the control of cell cycle progression.

Long Name

75 KD Glucose Regulated Protein

Alternate Names

CSA, HSPA9, HSPA9B, Mortalin-2, MOT2, PBP74

Entrez Gene IDs

3313 (Human); 15527 (Mouse)

Gene Symbol

HSPA9

UniProt

Additional GRP75/HSPA9B Products

Product Documents for Human GRP75/HSPA9B Antibody

Certificate of Analysis

To download a Certificate of Analysis, please enter a lot number in the search box below.

Note: Certificate of Analysis not available for kit components.

Product Specific Notices for Human GRP75/HSPA9B Antibody

For research use only

Loading...
Loading...
Loading...
Loading...