Skip to main content

Key Product Details

Species Reactivity

Human

Applications

Immunohistochemistry, Immunocytochemistry

Label

Unconjugated

Antibody Source

Monoclonal Mouse IgG2A Clone # 925951

Product Specifications

Immunogen

Mouse myeloma cell line NS0-derived recombinant human Glut4
Met1-Asp509
Accession # P14672

Specificity

Detects human Glut4 in direct ELISAs.

Clonality

Monoclonal

Host

Mouse

Isotype

IgG2A

Scientific Data Images for Human Glut4 Antibody

Glut4 antibody in Human Mesenchymal Stem Cells by Immunocytochemistry (ICC).

Glut4 in Human Mesenchymal Stem Cells.

Glut4 was detected in immersion fixed human mesenchymal stem cells differentiated to adipocytes using Mouse Anti-Human Glut4 Monoclonal Antibody (Catalog # MAB8654) at 10 µg/mL for 3 hours at room temperature. Cells were stained using the NorthernLights™ 557-conjugated Anti-Mouse IgG Secondary Antibody (red; Catalog # NL007) and counterstained with DAPI (blue). Specific staining was localized to cytoplasm. View our protocol for Fluorescent ICC Staining of Stem Cells on Coverslips.
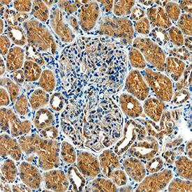
Glut4 antibody in Human Kidney by Immunohistochemistry (IHC-P).

Glut4 in Human Kidney.

Glut4 was detected in immersion fixed paraffin-embedded sections of human kidney using Mouse Anti-Human Glut4 Monoclonal Antibody (Catalog # MAB8654) at 15 µg/mL overnight at 4 °C. Tissue was stained using the Anti-Mouse HRP-DAB Cell & Tissue Staining Kit (brown; Catalog # CTS002) and counterstained with hematoxylin (blue). Specific staining was localized to cytoplasm in tubular epithelial cells. View our protocol for Chromogenic IHC Staining of Paraffin-embedded Tissue Sections.

Applications for Human Glut4 Antibody

Application
Recommended Usage

Immunocytochemistry

8-25 µg/mL
Sample: Immersion fixed human mesenchymal stem cells differentiated into adipocytes

Immunohistochemistry

8-25 µg/mL
Sample: Immersion fixed paraffin-embedded sections of human kidney

Formulation, Preparation, and Storage

Purification

Protein A or G purified from hybridoma culture supernatant

Reconstitution

Reconstitute at 0.5 mg/mL in sterile PBS. For liquid material, refer to CoA for concentration.

Reconstitution Buffer Available:
Size / Price
Qty
Loading...

Formulation

Lyophilized from a 0.2 μm filtered solution in PBS with Trehalose. *Small pack size (SP) is supplied either lyophilized or as a 0.2 µm filtered solution in PBS.

Shipping

Lyophilized product is shipped at ambient temperature. Liquid small pack size (-SP) is shipped with polar packs. Upon receipt, store immediately at the temperature recommended below.

Stability & Storage

Use a manual defrost freezer and avoid repeated freeze-thaw cycles.
  • 12 months from date of receipt, -20 to -70 °C as supplied.
  • 1 month, 2 to 8 °C under sterile conditions after reconstitution.
  • 6 months, -20 to -70 °C under sterile conditions after reconstitution.

Background: Glut4

Glut4 (Glucose Transporter Member 4), also known as SLC2A4, is a 509 aa multi-pass type membrane protein and shares 65% aa identity with mouse Glut4.  It is an insulin-regulated glucose transporter.  Glut4 is most highly expressed in adipose and striated muscle tissues, but has also been reported in multiple other tissues including the nervous system and breast cancer.  Insulin stimulated transport of Glut4 has been shown to be impaired in type 2 diabetes patients.  Additionally, inhibition of Glut4 may be useful in reducing proliferation of breast cancer cells.

Alternate Names

SLC2A4

Entrez Gene IDs

6517 (Human); 20528 (Mouse); 25139 (Rat)

Gene Symbol

SLC2A4

UniProt

Additional Glut4 Products

Product Documents for Human Glut4 Antibody

Certificate of Analysis

To download a Certificate of Analysis, please enter a lot number in the search box below.

Note: Certificate of Analysis not available for kit components.

Product Specific Notices for Human Glut4 Antibody

For research use only

Loading...
Loading...
Loading...
Loading...