Skip to main content

Key Product Details

Species Reactivity

Human

Applications

Immunocytochemistry, Immunohistochemistry

Label

Unconjugated

Antibody Source

Monoclonal Mouse IgG2B Clone # 1059613

Product Specifications

Immunogen

Human GluR2/GRIA2 containing peptide
Accession # P42262

Specificity

Detects human GluR2/GRIA2 in direct ELISA.

Clonality

Monoclonal

Host

Mouse

Isotype

IgG2B

Scientific Data Images for Human GluR2 Antibody

Detection of GluR2 in TT (Positive) and THP-1 (Negative) cells.

GluR2 was detected in immersion fixed TT Human Medullary Thyroid Cancer Cells (Positive) and absent in THP-1 Human Acute Monocytic Leukemia Cells (Negative) using Mouse Anti-Human GluR2 Monoclonal Antibody (Catalog # MAB11333) at 8 µg/mL for 3 hours at room temperature. Cells were stained using the NorthernLights™ 557-conjugated Anti-Mouse IgG Secondary Antibody (red; Catalog # NL007) and counterstained with DAPI (blue). Specific staining was localized to cytoplasm. View our protocol for Fluorescent ICC Staining of Cells on Coverslips.

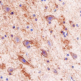
Detection of GluR2 in Human Hippocampus.

GluR2 was detected in immersion fixed paraffin-embedded sections of Human Hippocampus using Mouse Anti-Human GluR2 Monoclonal Antibody (Catalog # MAB11333) at 5 µg/mL for 1 hour at room temperature followed by incubation with the Anti-Mouse IgG VisUCyte™ HRP Polymer Antibody (Catalog # VC001). Before incubation with the primary antibody, tissue was subjected to heat-induced epitope retrieval using VisUCyte Antigen Retrieval Reagent-Basic (Catalog # VCTS021). Tissue was stained using DAB (brown) and counterstained with hematoxylin (blue). Specific staining was localized to plasma membrane and cytoplasm in neurons. View our protocol for IHC Staining with VisUCyte HRP Polymer Detection Reagents.

Applications for Human GluR2 Antibody

Application
Recommended Usage

Immunocytochemistry

8-25 µg/mL
Sample: Immersion fixed TT Human Medullary Thyroid Cancer Cell Line (Positive) and THP-1 Human Acute Monocytic Ieukemia Cell Line (Negative)

Immunohistochemistry

5-25 µg/mL
Sample: Immersion fixed paraffin-embedded sections of Human Hippocampus

Formulation, Preparation, and Storage

Purification

Protein A or G purified from hybridoma culture supernatant

Reconstitution

Reconstitute at 0.5 mg/mL in sterile PBS. For liquid material, refer to CoA for concentration.

Reconstitution Buffer Available:
Size / Price
Qty
Loading...

Formulation

Lyophilized from a 0.2 μm filtered solution in PBS with Trehalose. *Small pack size (SP) is supplied either lyophilized or as a 0.2 µm filtered solution in PBS.

Shipping

Lyophilized product is shipped at ambient temperature. Liquid small pack size (-SP) is shipped with polar packs. Upon receipt, store immediately at the temperature recommended below.

Stability & Storage

Use a manual defrost freezer and avoid repeated freeze-thaw cycles.
  • 12 months from date of receipt, -20 to -70 °C as supplied.
  • 1 month, 2 to 8 °C under sterile conditions after reconstitution.
  • 6 months, -20 to -70 °C under sterile conditions after reconstitution.

Background: GluR2

GluR2 is a receptor for glutamate.  Glutamate receptors are the predominant excitatory neurotransmitter receptors in the mammalian brain. The subunit encoded by this gene (GRIA2) is subject to RNA editing which renders the receptor it becomes part of impermeable to calcium ions.  This editing occurs at the Q/R site at a frequency of 100% of GluR2 transcripts in the brain.  The main function of this editing is regulation of electrophysiology of the receptor channel.  Defective editing of this channel has been linked to several conditions such as ALS, Epilepsy and some human brain tumors.  GRIA2 is a diagnostic immunochemical marker for solitary fibrous tumor which distinguishes it from most mimics.

References

  1. Entrez Gene:  GRIA glutamate receptor, ionotropic, AMPA 2.
  2. Seeburg PH, Single F, Kuner T, Higuchi M, Sprengel R. "Genetic Manipulation of Key Determinants of Ion Flow in Glutamate Receptor Channels in the Mouse". Brain Res.  2001 Jul; 907(1-2):233. 
  3. Cleveland DW, Rothstein JD. "From Charcot to Lou Gehrig:  Deciphering Selective Motor Neuron Death in ALS". Nat. Rev. Neurosci. 2001 Nov; 2(11):806.
  4. Maas S, Patt S, Schrey M, Rich A. "Underediting of Glutamate Receptor GluR-B mRNA in Malignant Gliomas". Proc. Natl. Acad. Sci. U.S.A. 2001 Dec; 98(25):14687. 
  5. Vivero M, Doyle L.A, Fletcher C.D., Mertens F, Hornick J.L. "GRIA2 is a Novel Diagnostic Marker for Solitary Fibrous Tumour Identified through Gene Expression Profiling". Histopathology. 2014. 65(1):71.

Long Name

Glutamate Receptor 2

Alternate Names

AMPA2, GluA2, GluR-K2, GLURB, GRIA2, HBGR2

Entrez Gene IDs

2891 (Human); 14800 (Mouse); 29627 (Rat)

Gene Symbol

GRIA2

UniProt

Additional GluR2 Products

Product Documents for Human GluR2 Antibody

Certificate of Analysis

To download a Certificate of Analysis, please enter a lot number in the search box below.

Note: Certificate of Analysis not available for kit components.

Product Specific Notices for Human GluR2 Antibody

For research use only

Loading...
Loading...
Loading...
Loading...