Human Glucuronosyltransferase 1A1/UGT1A1 Antibody
R&D Systems, part of Bio-Techne | Catalog # AF6490
Key Product Details
Species Reactivity
Applications
Label
Antibody Source
Product Specifications
Immunogen
Leu60-Thr168
Accession # P22309
Specificity
Clonality
Host
Isotype
Scientific Data Images for Human Glucuronosyltransferase 1A1/UGT1A1 Antibody
Detection of Human Glucuronosyltransferase 1A1/UGT1A1 by Western Blot.
Western blot shows lysates of human liver tissue. PVDF Membrane was probed with 1 µg/mL of Goat Anti-Human Glucuronosyltransferase 1A1/UGT1A1 Antigen Affinity-purified Polyclonal Antibody (Catalog # AF6490) followed by HRP-conjugated Anti-Goat IgG Secondary Antibody (Catalog # HAF019). A specific band was detected for Glucuronosyltransferase 1A1/UGT1A1 at approximately 57 kDa (as indicated). This experiment was conducted under reducing conditions and using Immunoblot Buffer Group 8.Glucuronosyltransferase 1A1/UGT1A1 in HepG2 Human Cell Line.
Glucuronosyltransferase 1A1/UGT1A1 was detected in immersion fixed HepG2 human hepatocellular carcinoma cell line using Goat Anti-Human Glucuronosyltransferase 1A1/ UGT1A1 Antigen Affinity-purified Polyclonal Antibody (Catalog # AF6490) at 10 µg/mL for 3 hours at room temperature. Cells were stained using the NorthernLights™ 557-conjugated Anti-Goat IgG Secondary Antibody (red; Catalog # NL001) and counterstained with DAPI (blue). Specific staining was localized to cytoplasm. View our protocol for Fluorescent ICC Staining of Cells on Coverslips.Glucuronosyltransferase 1A1/UGT1A1 in Human Liver.
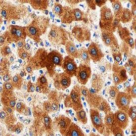
Glucuronosyltransferase 1A1/UGT1A1 was detected in immersion fixed paraffin-embedded sections of human liver using Goat Anti-Human Glucuronosyltransferase 1A1/ UGT1A1 Antigen Affinity-purified Polyclonal Antibody (Catalog # AF6490) at 3 µg/mL overnight at 4 °C. Before incubation with the primary antibody, tissue was subjected to heat-induced epitope retrieval using Antigen Retrieval Reagent-Basic (Catalog # CTS013). Tissue was stained using the Anti-Goat HRP-DAB Cell & Tissue Staining Kit (brown; Catalog # CTS008) and counter-stained with hematoxylin (blue). Specific staining was localized to cytoplasm in hepatocytes. View our protocol for Chromogenic IHC Staining of Paraffin-embedded Tissue Sections.Applications for Human Glucuronosyltransferase 1A1/UGT1A1 Antibody
Immunocytochemistry
Sample: Immersion fixed HepG2 human hepatocellular carcinoma cell line
Immunohistochemistry
Sample: Immersion fixed paraffin-embedded sections of human liver
Western Blot
Sample: Human liver tissue
Formulation, Preparation, and Storage
Purification
Reconstitution
Formulation
Shipping
Stability & Storage
- 12 months from date of receipt, -20 to -70 °C as supplied.
- 1 month, 2 to 8 °C under sterile conditions after reconstitution.
- 6 months, -20 to -70 °C under sterile conditions after reconstitution.
Background: Glucuronosyltransferase 1A1/UGT1A1
UGT1A1 (UDP-glucuronosyltransferase 1-A1; also UDPGT 1-1 and HUG-BR1) is a 52-57 kDa member of the UGT1A subfamily, UGT family of enzymes. UGT1A1 is expressed by the liver, and catalyzes the conjugation of glucuronic acid (GA) from UDPGA to lipophilic acceptors such as (anti-cancer) drugs and bilirubin. Addition of glucuronic acid increases target solubility and facilitates elimination. Mature human UGT1A1 is a 508 amino acid (aa) type I transmembrane ER glycoprotein. It contains a 465 aa luminal domain (aa 26-490) plus a 26 aa cytoplasmic region. The luminal domain is unusual in that aa 157-176 are embedded in the ER membrane. Amino acids 29-444 contain the enzyme active site. The cytoplasmic tail appears to mediate noncovalent homodimerization, and heterodimerization with UGT2B. The signal sequence (aa 1-25) is normally cleaved, but a Lys15Arg mutation blocks insertion into the ER membrane. There are multiple point mutations that impact enzyme activity. One potential splice form is reported that shows a six aa substitution for aa 289-533. Over aa 60-186, human UGT1A1 shares 64% aa identity with mouse UGT1A1.
Long Name
Alternate Names
Gene Symbol
UniProt
Additional Glucuronosyltransferase 1A1/UGT1A1 Products
Product Documents for Human Glucuronosyltransferase 1A1/UGT1A1 Antibody
Product Specific Notices for Human Glucuronosyltransferase 1A1/UGT1A1 Antibody
For research use only