Skip to main content

Key Product Details

Species Reactivity

Human

Applications

Immunohistochemistry, Western Blot

Label

Unconjugated

Antibody Source

Polyclonal Sheep IgG

Product Specifications

Immunogen

E. coli-derived recombinant human Ghrelin/Obestatin
Gly24-Lys117 (Leu72Met)
Accession # Q9UBU3

Specificity

Detects human Ghrelin/Obestatin in direct ELISAs and Western blots. In direct ELISAs, approximately 75% cross-reactivity with recombinant mouse Ghrelin/Obestatin is observed.

Clonality

Polyclonal

Host

Sheep

Isotype

IgG

Scientific Data Images for Human Ghrelin/Obestatin Antibody

Detection of Human Ghrelin/Obestatin antibody by Western Blot.

Detection of Human Ghrelin/Obestatin by Western Blot.

Western blot shows lysates of human stomach tissue. PVDF membrane was probed with 2 µg/mL of Sheep Anti-Human Ghrelin/Obestatin Antigen Affinity-purified Polyclonal Antibody (Catalog # AF8149) followed by HRP-conjugated Anti-Sheep IgG Secondary Antibody (Catalog # HAF016). A specific band was detected for Ghrelin/Obestatin at approximately 13 kDa (as indicated). This experiment was conducted under reducing conditions and using Immunoblot Buffer Group 1.
Ghrelin/Obestatin antibody in Mouse Stomach by Immunohistochemistry (IHC-Fr).

Ghrelin/Obestatin in Mouse Stomach.

Ghrelin/Obestatin was detected in immersion fixed frozen sections of mouse stomach using Sheep Anti-Human Ghrelin/Obestatin Antigen Affinity-purified Polyclonal Antibody (Catalog # AF8149) at 10 µg/mL overnight at 4 °C. Tissue was stained using the NorthernLights™ 557-conjugated Anti-Sheep IgG Secondary Antibody (red; Catalog # NL010) and counterstained with DAPI (blue). Specific staining is shown at both 60x magnification (upper panel) and 20x magnification (lower panel). Staining was localized to cytoplasm and gastric endocrine cells, respectively. View our protocol for Fluorescent IHC Staining of Frozen Tissue Sections.
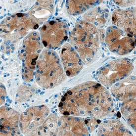
Ghrelin/Obestatin antibody in Human Stomach by Immunohistochemistry (IHC-P).

Ghrelin/Obestatin in Human Stomach.

Ghrelin/Obestatin was detected in immersion fixed paraffin-embedded sections of human stomach using Sheep Anti-Human Ghrelin/Obestatin Antigen Affinity-purified Polyclonal Antibody (Catalog # AF8149) at 1 µg/mL overnight at 4 °C. Tissue was stained using the Anti-Sheep HRP-DAB Cell & Tissue Staining Kit (brown; Catalog # CTS019) and counterstained with hematoxylin (blue). Specific staining was localized to cytoplasm of gastric mucosa. View our protocol for Chromogenic IHC Staining of Paraffin-embedded Tissue Sections.

Applications for Human Ghrelin/Obestatin Antibody

Application
Recommended Usage

Immunohistochemistry

5-15 µg/mL
Sample: Immersion fixed frozen sections of mouse stomach and immersion fixed paraffin-embedded sections of human stomach

Western Blot

2 µg/mL
Sample: Human stomach tissue

Formulation, Preparation, and Storage

Purification

Antigen Affinity-purified

Reconstitution

Reconstitute at 0.2 mg/mL in sterile PBS. For liquid material, refer to CoA for concentration.

Reconstitution Buffer Available:
Size / Price
Qty
Loading...

Formulation

Lyophilized from a 0.2 μm filtered solution in PBS with Trehalose. *Small pack size (SP) is supplied either lyophilized or as a 0.2 µm filtered solution in PBS.

Shipping

Lyophilized product is shipped at ambient temperature. Liquid small pack size (-SP) is shipped with polar packs. Upon receipt, store immediately at the temperature recommended below.

Stability & Storage

Use a manual defrost freezer and avoid repeated freeze-thaw cycles.
  • 12 months from date of receipt, -20 to -70 °C as supplied.
  • 1 month, 2 to 8 °C under sterile conditions after reconstitution.
  • 6 months, -20 to -70 °C under sterile conditions after reconstitution.

Background: Ghrelin/Obestatin

GHRL (Ghrelin/Obestatin Prepropeptide) is a 117 aa precursor peptide that is processed into three chains, Ghrelin-27 (aa 24-50), Ghrelin-28 (aa24-51) and Obestatin (aa76-98).  The prepropeptide is cleaved into proGhrelin, and then further processed into mature Ghrelin by prohormone convertases.  Mature Ghrelin is modified with an N-octanoyl group on serine 3 which is required for receptor binding.  Ghrelin and Obestatin are predominantly synthesized in the gastric mucosa.  Ghrelin plays a role in growth factor release and appetite suppression as well as many other functions in a variety of organs.  Obestatin is a putative hormone that has been suggested to have opposite effects on growth factor release and appetite as Ghrelin. 

Alternate Names

appetite-regulating hormone, ghrelin, ghrelin/obestatin preprohormone, ghrelin/obestatin prepropeptide, Growth hormone secretagogue, Growth hormone-releasing peptide, Motilin-related peptide, MTLRPgrowth hormone secretagogue receptor ligand, obestatin, Protein M46

Entrez Gene IDs

51738 (Human)

Gene Symbol

GHRL

UniProt

Additional Ghrelin/Obestatin Products

Product Documents for Human Ghrelin/Obestatin Antibody

Certificate of Analysis

To download a Certificate of Analysis, please enter a lot number in the search box below.

Note: Certificate of Analysis not available for kit components.

Product Specific Notices for Human Ghrelin/Obestatin Antibody

For research use only

Loading...
Loading...
Loading...
Loading...
Loading...