Skip to main content

Key Product Details

Species Reactivity

Human

Applications

Immunohistochemistry, Western Blot

Label

Unconjugated

Antibody Source

Polyclonal Goat IgG

Product Specifications

Immunogen

E. coli-derived recombinant human GAPDH-2
Glu75-Ala222
Accession # O14556

Specificity

Detects human GAPDH-2 in direct ELISAs and Western blots. In direct ELISAs, less than 1% cross-reactivity with recombinant human GAPDH and recombinant mouse GAPDH is observed.

Clonality

Polyclonal

Host

Goat

Isotype

IgG

Scientific Data Images for Human GAPDH-2 Antibody

Detection of Human GAPDH-2 antibody by Western Blot.

Detection of Human GAPDH‑2 by Western Blot.

Western blot shows lysates of human testis tissue. PVDF Membrane was probed with 1 µg/mL of Goat Anti-Human GAPDH-2 Antigen Affinity-purified Polyclonal Antibody (Catalog # AF6276) followed by HRP-conjugated Anti-Goat IgG Secondary Antibody (Catalog # HAF109). A specific band was detected for GAPDH-2 at approximately 56 kDa (as indicated). This experiment was conducted under reducing conditions and using Immunoblot Buffer Group 1.
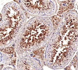
GAPDH-2 antibody in Human Testes by Immunohistochemistry (IHC-P).

GAPDH‑2 in Human Testes.

GAPDH-2 was detected in immersion fixed paraffin-embedded sections of human testes using Goat Anti-Human GAPDH-2 Antigen Affinity-purified Polyclonal Antibody (Catalog # AF6276) at 3 µg/mL overnight at 4 °C. Before incubation with the primary antibody, tissue was subjected to heat-induced epitope retrieval using Antigen Retrieval Reagent-Basic (Catalog # CTS013). Tissue was stained using the Anti-Goat HRP-DAB Cell & Tissue Staining Kit (brown; Catalog # CTS008) and counterstained with hematoxylin (blue). Specific staining was localized to cytoplasm of sperm cells. View our protocol for Chromogenic IHC Staining of Paraffin-embedded Tissue Sections.

Applications for Human GAPDH-2 Antibody

Application
Recommended Usage

Immunohistochemistry

5-15 µg/mL
Sample: Immersion fixed paraffin-embedded sections of human testes

Western Blot

1 µg/mL
Sample: Human testis tissue

Formulation, Preparation, and Storage

Purification

Antigen Affinity-purified

Reconstitution

Sterile PBS to a final concentration of 0.2 mg/mL. For liquid material, refer to CoA for concentration.

Reconstitution Buffer Available:
Size / Price
Qty
Loading...

Formulation

Lyophilized from a 0.2 μm filtered solution in PBS with Trehalose. *Small pack size (SP) is supplied either lyophilized or as a 0.2 µm filtered solution in PBS.

Shipping

Lyophilized product is shipped at ambient temperature. Liquid small pack size (-SP) is shipped with polar packs. Upon receipt, store immediately at the temperature recommended below.

Stability & Storage

Use a manual defrost freezer and avoid repeated freeze-thaw cycles.
  • 12 months from date of receipt, -20 to -70 °C as supplied.
  • 1 month, 2 to 8 °C under sterile conditions after reconstitution.
  • 6 months, -20 to -70 °C under sterile conditions after reconstitution.

Background: GAPDH-2

GAPDH-2 (Glyceraldehyde-3-phosphate dehydrogenase 2; also GAPD2 and GAPDS) is a 40-44 kDa member of the GAPDH family of enzymes. Due to a high incidence of proline residues, it may migrate anomalously at 56 kDa in SDS-PAGE. GAPDH-2 is expressed only in testis as a homotetramer, where it is found in the cytoplasm bound to the sperm fibrous sheath. Unlike GAPDH that has multiple functions, GAPDH-2 appears to participate only in carbohydrate metabolism, generating energy via glycolysis for sperm motility and fertility. Human GAPDH-2 is 408 amino acids (aa) in length. There are two NAD binding sites (Asp106 and Asn388) with a catalytic region between aa 223-226. One splice variant shows a nine aa insertion after Ser220. Over aa 75-222, human GAPDH-2 shares 84% aa identity with mouse GAPDH-2.

Long Name

Glyceraldehyde-3-phosphate Dehydrogenase 2

Alternate Names

GAPD2, GAPDH2, GAPDHS, HSD-35

Entrez Gene IDs

26330 (Human); 14447 (Mouse); 66020 (Rat)

Gene Symbol

GAPDHS

UniProt

Additional GAPDH-2 Products

Product Documents for Human GAPDH-2 Antibody

Certificate of Analysis

To download a Certificate of Analysis, please enter a lot number in the search box below.

Note: Certificate of Analysis not available for kit components.

Product Specific Notices for Human GAPDH-2 Antibody

For research use only

Loading...
Loading...
Loading...
Loading...