Skip to main content

Key Product Details

Species Reactivity

Validated:

Human

Cited:

Human, Mouse, Bovine

Applications

Validated:

Immunohistochemistry, Western Blot, Intracellular Staining by Flow Cytometry, Simple Western, CyTOF-ready

Cited:

Immunohistochemistry, Immunohistochemistry-Paraffin, Immunohistochemistry-Frozen, Western Blot, Flow Cytometry, Immunocytochemistry, Co-Immunoprecipitation, ELISA Capture, ELISA Development (Capture)

Label

Unconjugated

Antibody Source

Polyclonal Goat IgG

Product Specifications

Immunogen

E. coli-derived recombinant human Galectin‑1
Ala2-Asp135
Accession # P09382

Specificity

Detects human Galectin-1 in direct ELISAs and Western blots.

Clonality

Polyclonal

Host

Goat

Isotype

IgG

Scientific Data Images for Human Galectin-1 Antibody

Detection of Human Galectin-1 antibody by Western Blot.

Detection of Human Galectin‑1 by Western Blot.

Western blot shows lysates of HeLa human cervical epithelial carcinoma cell line and A549 human lung carcinoma cell line. PVDF membrane was probed with 0.1 µg/mL of Goat Anti-Human Galectin-1 Antigen Affinity-purified Polyclonal Antibody (Catalog # AF1152) followed by HRP-conjugated Anti-Goat IgG Secondary Antibody (HAF109). A specific band was detected for Galectin-1 at approximately 14 kDa (as indicated). This experiment was conducted under reducing conditions and using Immunoblot Buffer Group 1.

Detection of Human Galectin-1 by Simple WesternTM.

Simple Western lane view shows lysates of Exosome Standards (Human Urine) (NBP2-49840) and A549 human lung carcinoma cell line, loaded at 0.5 mg/ml. A specific band was detected for Galectin-1 at approximately 16 kDa (as indicated) using 25 µg/ml of Goat Anti-Human Galectin-1 Antigen Affinity-purified Polyclonal Antibody (Catalog # AF1152) followed by HRP-conjugated Donkey Anti-Goat Secondary Antibody (Catalog # 042-206). This experiment was conducted under reducing conditions and using the 2-40kDa separation system.
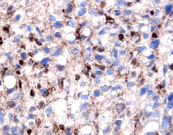
Galectin-1 antibody in Human Prostate Cancer Tissue by Immunohistochemistry (IHC-P).

Galectin‑1 in Human Prostate Cancer Tissue.

Galectin-1 was detected in immersion fixed paraffin-embedded sections of human prostate cancer tissue using 1.7 µg/mL Goat Anti-Human Galectin-1 Antigen Affinity-purified Polyclonal Antibody (Catalog # AF1152) overnight at 4 °C. Tissue was stained with the Anti-Goat HRP-DAB Cell & Tissue Staining Kit (brown; CTS008) and counterstained with hematoxylin (blue). View our protocol for Chromogenic IHC Staining of Paraffin-embedded Tissue Sections.

Applications for Human Galectin-1 Antibody

Application
Recommended Usage

CyTOF-ready

Ready to be labeled using established conjugation methods. No BSA or other carrier proteins that could interfere with conjugation.

Immunohistochemistry

5-15 µg/mL
Sample: Immersion fixed paraffin-embedded sections of human prostate cancer tissue

Intracellular Staining by Flow Cytometry

2.5 µg/106 cells
Sample: Human peripheral blood monocytes

Simple Western

1-25 µg/mL
Sample: Exosome Standards (Human Urine) (Catalog # NBP2-49840), HeLa human cervical epithelial carcinoma cell line and A549 human lung carcinoma cell line

Western Blot

0.1 µg/mL
Sample: HeLa human cervical epithelial carcinoma cell line and A549 human lung carcinoma cell line

Reviewed Applications

Read 5 reviews rated 4 using AF1152 in the following applications:

Formulation, Preparation, and Storage

Purification

Antigen Affinity-purified

Reconstitution

Reconstitute at 0.2 mg/mL in sterile PBS. For liquid material, refer to CoA for concentration.

Reconstitution Buffer Available:
Size / Price
Qty
Loading...

Formulation

Lyophilized from a 0.2 μm filtered solution in PBS with Trehalose. See Certificate of Analysis for details.
*Small pack size (-SP) is supplied either lyophilized or as a 0.2 µm filtered solution in PBS.

Shipping

Lyophilized product is shipped at ambient temperature. Liquid small pack size (-SP) is shipped with polar packs. Upon receipt, store immediately at the temperature recommended below.

Stability & Storage

Use a manual defrost freezer and avoid repeated freeze-thaw cycles.
  • 12 months from date of receipt, -20 to -70 °C as supplied.
  • 1 month, 2 to 8 °C under sterile conditions after reconstitution.
  • 6 months, -20 to -70 °C under sterile conditions after reconstitution.

Background: Galectin-1

The galectins constitute a large family of carbohydrate-binding proteins with specificity for N-acetyl-lactosamine-containing glycoproteins. At least 14 mammalian galectins, which share structural similarities in their carbohydrate recognition domains (CRD), have been identified to date. The galectins have been classified into the prototype galectins (-1, -2, -5, -7, -10, -11, -13, -14), which contain one CRD and exist either as a monomer or a noncovalent homodimer; the chimera galectins (galectin-3) containing one CRD linked to a nonlectin domain; and the tandem-repeat galectins (-4, -6, -8, -9, -12) consisting of two CRDs joined by a linker peptide. Galectins lack a classical signal peptide and can be localized to the cytosolic compartments where they have intracellular functions. However, via one or more as yet unidentified non-classical secretory pathways, galectins can also be secreted to function extracellularly. Individual members of the galectin family have different tissue distribution profiles and exhibit subtle differences in their carbohydrate-binding specificities. Each family member may preferentially bind to a unique subset of cell-surface glycoproteins.

Galectin-1, also known as L-14, BHL and galaptin, is a monomeric or homodimeric prototype galectin that is expressed in a variety of cells and tissues including muscle, heart, liver, prostate, lymph nodes, spleen, thymus, placenta, testis, retina, macrophages, B cells, T cells, dendritic cells, and tumor cells. It preferentially binds laminin, fibronectin, 90K/Mac-2BP, CD45, CD43, CD7, CD2, CD3, and ganglioside GM1. Galectin-1 modulates cell growth and proliferation, either positively or negatively, depending on the cell type and activation status. It controls cell survival by inducing apoptosis of activated T cells and immature thymocytes. It modulates cytokine secretion by inducing Th2 type cytokines and inhibiting pro-inflammatory cytokine production. Galectin-1 can also modulate cell-cell as well as cell-matrix interactions and depending on the cell type and developmental stage, promote cell attachment or detachment. Galectin-1 has immunosuppressive and anti-inflammatory properties and has been shown to suppress acute and chronic inflammation and autoimmunity. Human and mouse galectin-1 share about 88% amino acid sequence similarity.

Alternate Names

BHL, Galaptin, Galectin1, GBP, L-14, LGALS1

Entrez Gene IDs

3956 (Human); 16852 (Mouse)

Gene Symbol

LGALS1

UniProt

Additional Galectin-1 Products

Product Documents for Human Galectin-1 Antibody

Certificate of Analysis

To download a Certificate of Analysis, please enter a lot number in the search box below.

Note: Certificate of Analysis not available for kit components.

Product Specific Notices for Human Galectin-1 Antibody

For research use only

Loading...
Loading...
Loading...
Loading...
Loading...