Skip to main content

Key Product Details

Species Reactivity

Human

Applications

Immunohistochemistry, Western Blot, Simple Western

Label

Unconjugated

Antibody Source

Monoclonal Mouse IgG2A Clone # 1067503

Product Specifications

Immunogen

E. coli-derived human G6PD
Ala2-Leu515
Accession # P11413

Specificity

Detects human G6PD in direct ELISA.

Clonality

Monoclonal

Host

Mouse

Isotype

IgG2A

Scientific Data Images for Human G6PD Antibody

Detection of Human G6PD by Western Blot.

Western Blot shows lysates of A549 human lung carcinoma cell line and MCF-7 human breast cancer cell line. PVDF membrane was probed with 1 µg/ml of Mouse Anti-Human G6PD Monoclonal Antibody (Catalog # MAB11467) followed by HRP-conjugated Anti-Mouse IgG Secondary Antibody (Catalog # HAF018). A specific band was detected for G6PD at approximately 59 kDa (as indicated). This experiment was conducted under reducing conditions and using Western Blot Buffer Group 1.

Detection of Human G6PD by Simple WesternTM.

Simple Western shows lysates of MCF-7 human breast cancer cell line, Jurkat human acute T cell leukemia cell line and A549 human lung carcinoma cell line, loaded at 0.2 mg/ml. A specific band was detected for G6PD at approximately 58 kDa (as indicated) using 10 µg/mL of Mouse Anti-Human G6PD Monoclonal Antibody (Catalog # MAB11467) followed by 1:50 dilution of HRP-conjugated Anti-Mouse IgG Secondary Antibody (Catalog # HAF018). This experiment was conducted under reducing conditions and using the 12-230 kDa separation system.

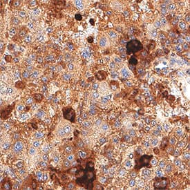
Detection of G6PD in Liver Cancer.

G6PD was detected in immersion fixed paraffin-embedded sections of liver cancer using Mouse Anti-Human G6PD Monoclonal Antibody (Catalog # mab11467) at 1 µg/ml for 1 hour at room temperature followed by incubation with the Anti-Mouse IgG VisUCyte™ HRP Polymer Antibody (Catalog # VC001). Before incubation with the primary antibody, tissue was subjected to heat-induced epitope retrieval using VisUCyte Antigen Retrieval Reagent-Basic (Catalog # VCTS021). Tissue was stained using DAB (brown) and counterstained with hematoxylin (blue). Specific staining was localized to cytoplasm. View our protocol for Chromogenic IHC Staining of Paraffin-embedded Tissue Sections.

Applications for Human G6PD Antibody

Application
Recommended Usage

Immunohistochemistry

3-25 µg/mL
Sample: Immersion fixed paraffin-embedded sections of liver cancer

Simple Western

10 µg/mL
Sample: MCF-7 human breast cancer cell line, Jurkat human acute T cell leukemia cell line and A549 human lung carcinoma cell line

Western Blot

1 µg/mL
Sample: A549 human lung carcinoma cell line and MCF-7 human breast cancer cell line

Formulation, Preparation, and Storage

Purification

Protein A or G purified from hybridoma culture supernatant

Reconstitution

Reconstitute at 0.5 mg/mL in sterile PBS. For liquid material, refer to CoA for concentration.

Reconstitution Buffer Available:
Size / Price
Qty
Loading...

Formulation

Lyophilized from a 0.2 μm filtered solution in PBS with Trehalose. *Small pack size (SP) is supplied either lyophilized or as a 0.2 µm filtered solution in PBS.

Shipping

Lyophilized product is shipped at ambient temperature. Liquid small pack size (-SP) is shipped with polar packs. Upon receipt, store immediately at the temperature recommended below.

Stability & Storage

Use a manual defrost freezer and avoid repeated freeze-thaw cycles.
  • 12 months from date of receipt, -20 to -70 °C as supplied.
  • 1 month, 2 to 8 °C under sterile conditions after reconstitution.
  • 6 months, -20 to -70 °C under sterile conditions after reconstitution.

Background: G6PD

Glucose-6-phosphate dehydrogenase (G6PD) converts D-glucose 6-phosphate (G6P) into 6-phosphoglucono-delta -lactone and generate co-enzyme nicotinamide adenine dinucleotide phosphate (NADPH) (1). G6PD is the rate-limiting enzyme of the pentose phosphate pathway that supplies reducing energy to cells by maintaining the level of NADPH, which in turn maintains the level of glutathione in these cells that helps protect the red blood cells against oxidative damage from compounds like hydrogen peroxide (1, 2). More importantly, NADPH is used for biosynthesis of fatty acids or isoprenoids. G6PD is generally found as a dimer of two identical monomers (3). Depending on conditions, such as pH, these dimers can themselves dimerize to form tetramers. Each monomer in the complex has a substrate binding site that binds to G6P, and a catalytic coenzyme binding site that binds to NADP+/NADPH using the Rossman fold (4). Its activity is stimulated by the substrate G6P and NADP+. Clinically, genetic deficiency of G6PD predisposes a person to non-immune hemolytic anemia (5). G6PD is remarkable for its genetic diversity. Many variants of G6PD have been described with wide-ranging levels of enzyme activity and associated clinical symptoms. G6PD is frequently used as a coupling enzyme for measuring the enzymatic activity of glucose kinase (6).

References

  1. Au, S.W. et al. (2000). Structure 8:293.
  2. Thomas, D. et al. (1991). The EMBO Journal 10:547.
  3. Kiani, F. et al. (2007). PLOS One 2:e625.
  4. Kotaka, M. et al. (2005). Acta Crystallographica D 61:495.
  5. Cappellini, M.D. and Fiorelli, G. (2008). Lancet 371:64.
  6. Goward, C.R. et al. (1986) Biochemical Journal 237:415.

Long Name

Glucose-6-Phosphate Dehydrogenase

Alternate Names

G6PDH

Entrez Gene IDs

2539 (Human); 14381 (Mouse)

Gene Symbol

G6PD

UniProt

Additional G6PD Products

Product Documents for Human G6PD Antibody

Certificate of Analysis

To download a Certificate of Analysis, please enter a lot number in the search box below.

Note: Certificate of Analysis not available for kit components.

Product Specific Notices for Human G6PD Antibody

For research use only

Loading...
Loading...
Loading...
Loading...
Loading...