Skip to main content

Key Product Details

Validated by

Biological Validation

Species Reactivity

Validated:

Human

Cited:

Human, Mouse

Applications

Validated:

Immunohistochemistry, Western Blot

Cited:

Immunohistochemistry, Western Blot

Label

Unconjugated

Antibody Source

Polyclonal Goat IgG

Product Specifications

Immunogen

E. coli-derived recombinant human FRA-1
Gly146-Ala247
Accession # P15407

Specificity

Detects human and mouse FRA-1 in Western blots.

Clonality

Polyclonal

Host

Goat

Isotype

IgG

Scientific Data Images for Human FRA-1 Antibody

Detection of Human FRA-1 antibody by Western Blot.

Detection of Human FRA‑1 by Western Blot.

Western blot shows lysates of A172 human glioblastoma cell line untreated (-) or treated (+) with 100 ng/mL Recombinant Human EGF (Catalog # 236-EG) for 18 hours. PVDF membrane was probed with 0.2 µg/mL of Goat Anti-Human FRA-1 Polyclonal Antibody (Catalog # AF4935), followed by HRP-conjugated Anti-Goat IgG Secondary Antibody (Catalog # HAF109). A specific band was detected for FRA-1 at approximately 45 kDa (as indicated). This experiment was conducted under reducing conditions and using Immunoblot Buffer Group 1.
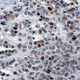
FRA-1 antibody in Human Melanoma by Immunohistochemistry (IHC-P).

FRA‑1 in Human Melanoma.

FRA-1 was detected in immersion fixed paraffin-embedded sections of human melanoma using Goat Anti-Human FRA-1 Antigen Affinity-purified Polyclonal Antibody (Catalog # AF4935) at 3 µg/mL overnight at 4 °C. Before incubation with the primary antibody, tissue was subjected to heat-induced epitope retrieval using Antigen Retrieval Reagent-Basic (Catalog # CTS013). Tissue was stained using the Anti-Goat HRP-DAB Cell & Tissue Staining Kit (brown; Catalog # CTS008) and counterstained with hematoxylin (blue). Specific staining was localized to nuclei. View our protocol for Chromogenic IHC Staining of Paraffin-embedded Tissue Sections.

Applications for Human FRA-1 Antibody

Application
Recommended Usage

Immunohistochemistry

5-15 µg/mL
Sample: Immersion fixed paraffin-embedded sections of human melanoma

Western Blot

0.2 µg/mL
Sample: A172 human glioblastoma cell line treated with Recombinant Human EGF (Catalog # 236-EG)

Formulation, Preparation, and Storage

Purification

Antigen Affinity-purified

Reconstitution

Reconstitute at 0.2 mg/mL in sterile PBS. For liquid material, refer to CoA for concentration.

Reconstitution Buffer Available:
Size / Price
Qty
Loading...

Formulation

Lyophilized from a 0.2 μm filtered solution in PBS with Trehalose. *Small pack size (SP) is supplied either lyophilized or as a 0.2 µm filtered solution in PBS.

Shipping

Lyophilized product is shipped at ambient temperature. Liquid small pack size (-SP) is shipped with polar packs. Upon receipt, store immediately at the temperature recommended below.

Stability & Storage

Use a manual defrost freezer and avoid repeated freeze-thaw cycles.
  • 12 months from date of receipt, -20 to -70 °C as supplied.
  • 1 month, 2 to 8 °C under sterile conditions after reconstitution.
  • 6 months, -20 to -70 °C under sterile conditions after reconstitution.

Background: FRA-1

FRA-1 is a member of the leucine zipper Fos family of transcription factors. Fos family members have been associated with cellular proliferation, differentiation and transformation. In accordance with these findings, overexpression of FRA-1 correlates with a malignant phenotype in breast cancer. In lung epithelia cells, FRA-1 promotes motility, invasion, and anchorage independent growth. FRA-1 knock out mice rescued for the FRA-1 placental defect are viable but show reduced bone formation that may be due to a defect in the osteoblast differentiation.

Long Name

Fos-related antigen 1

Alternate Names

FOSL1, FRA1

Entrez Gene IDs

8061 (Human); 14283 (Mouse); 25445 (Rat)

Gene Symbol

FOSL1

UniProt

Additional FRA-1 Products

Product Documents for Human FRA-1 Antibody

Certificate of Analysis

To download a Certificate of Analysis, please enter a lot number in the search box below.

Note: Certificate of Analysis not available for kit components.

Product Specific Notices for Human FRA-1 Antibody

For research use only

Loading...
Loading...
Loading...
Loading...