Skip to main content

Key Product Details

Species Reactivity

Human

Applications

Immunohistochemistry, Multiplex Immunofluorescence, Western Blot

Label

Unconjugated

Antibody Source

Monoclonal Mouse IgG1 Clone # 949330

Product Specifications

Immunogen

Synthetic peptide containing human Fibrinogen A Peptide
Accession # P02671

Specificity

Detects human Fibrinogen A in direct ELISAs.

Clonality

Monoclonal

Host

Mouse

Isotype

IgG1

Scientific Data Images for Human Fibrinogen A Antibody

Detection of Fibrinogen A in human Liver via seqIF™ staining on COMET™

Fibrinogen A was detected in immersion fixed paraffin-embedded sections of human Liver using Mouse Anti-human Fibrinogen A, Monoclonal Antibody (Catalog # MAB9898) at 10ug/mL at 37°Celsius for 4 minutes. Before incubation with the primary antibody, tissue underwent an all-in-one dewaxing and antigen retrieval preprocessing using PreTreatment Module (PT Module) and Dewax and HIER Buffer H (pH 9; Epredia Catalog # TA-999-DHBH). Tissue was stained using the Alexa Fluor™ 647 Goat anti-Mouse IgG Secondary Antibody at 1:200 at 37 ° Celsius for 2 minutes. (Yellow; Lunaphore Catalog # DR647MS) and counterstained with DAPI (blue; Lunaphore Catalog # DR100). Specific staining was localized to the cytoplasm. Protocol available in COMET™ Panel Builder.​​
Detection of Human Fibrinogen A antibody by Western Blot.

Detection of Human Fibrinogen A by Western Blot.

Western blot shows human serum (negative control) and human plasma. PVDF membrane was probed with 1 µg/mL of Mouse Anti-Human Fibrinogen A Monoclonal Antibody (Catalog # MAB9898) followed by HRP-conjugated Anti-Mouse IgG Secondary Antibody (Catalog # HAF018). A specific band was detected for Fibrinogen A at approximately 70 kDa (as indicated). This experiment was conducted under reducing conditions and using Immunoblot Buffer Group 1.
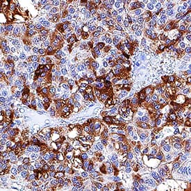
Fibrinogen A antibody in Human Liver by Immunohistochemistry (IHC-P).

Fibrinogen A in Human Liver.

Fibrinogen A was detected in immersion fixed paraffin-embedded sections of human liver using Mouse Anti-Human Fibrinogen A Monoclonal Antibody (Catalog # MAB9898) at 5 µg/mL for 1 hour at room temperature followed by incubation with the Anti-Mouse IgG VisUCyte™ HRP Polymer Antibody (Catalog # VC001). Before incubation with the primary antibody, tissue was subjected to heat-induced epitope retrieval using Antigen Retrieval Reagent-Basic (Catalog # CTS013). Tissue was stained using DAB (brown) and counterstained with hematoxylin (blue). Specific staining was localized to cytoplasm in hepatocytes. View our protocol for IHC Staining with VisUCyte HRP Polymer Detection Reagents.

Applications for Human Fibrinogen A Antibody

Application
Recommended Usage

Immunohistochemistry

5-25 µg/mL
Sample: Immersion fixed paraffin-embedded sections of human liver

Multiplex Immunofluorescence

10 µg/mL
Sample: Immersion fixed paraffin-embedded sections of human Liver.

Western Blot

1 µg/mL
Sample: Human plasma

Formulation, Preparation, and Storage

Purification

Protein A or G purified from hybridoma culture supernatant

Reconstitution

Reconstitute at 0.5 mg/mL in sterile PBS. For liquid material, refer to CoA for concentration.

Reconstitution Buffer Available:
Size / Price
Qty
Loading...

Formulation

Lyophilized from a 0.2 μm filtered solution in PBS with Trehalose. See Certificate of Analysis for details.
*Small pack size (-SP) is supplied either lyophilized or as a 0.2 µm filtered solution in PBS.

Shipping

Lyophilized product is shipped at ambient temperature. Liquid small pack size (-SP) is shipped with polar packs. Upon receipt, store immediately at the temperature recommended below.

Stability & Storage

Use a manual defrost freezer and avoid repeated freeze-thaw cycles.
  • 12 months from date of receipt, -20 to -70 °C as supplied.
  • 1 month, 2 to 8 °C under sterile conditions after reconstitution.
  • 6 months, -20 to -70 °C under sterile conditions after reconstitution.

Background: Fibrinogen A

Fibrinogen is a 340 kDa, secreted glycoprotein complex that is found in blood at concentrations of 150-400 mg/dL. It is secreted primarily by hepatocytes, but is also reported to be expressed by fibroblasts, type I alveolar epithelium, intestinal epithelium and some tumor cells. Fibrinogen is a homodimer that is composed of two, three-polypeptide chain subunits. In human, each subunit contains one 847amino acid (aa) alpha chain, one 461 aa beta chain, and one 427 aa gamma chain. Multiple interchain disulfide bonds link all three polypeptides. Fibrinogen plays a central role in clot formation. Conversion of fibrinogen to fibrin is triggered by thrombin, which cleaves fibrinopeptides A and B from alpha and beta chains, and thus exposes the N-terminal polymerization sites responsible for the formation of the soft clot. The soft clot is converted into the hard clot by factor XIIIA which catalyzes the epsilon-(gamma-glutamyl)lysine cross-linking between gamma chains (stronger) and between alpha chains (weaker) of different monomers. Fibrinogen is also a component of the ECM and binds to cell surface molecules on inflammatory cells. Mature human alpha, beta and gamma -chains share 67%, 85% and 83% aa identity with mouse alpha, beta and gamma -chains, respectively.

Alternate Names

FGA, Fib2, Fibrinogen alpha chain, Fibrinogen alpha subunit, Fibrinogen Type I, FPA

Entrez Gene IDs

2243 (Human); 14161 (Mouse); 361969 (Rat)

Gene Symbol

FGA

UniProt

Additional Fibrinogen A Products

Product Documents for Human Fibrinogen A Antibody

Certificate of Analysis

To download a Certificate of Analysis, please enter a lot number in the search box below.

Note: Certificate of Analysis not available for kit components.

Product Specific Notices for Human Fibrinogen A Antibody

For research use only

Loading...
Loading...
Loading...
Loading...