Skip to main content

Key Product Details

Species Reactivity

Validated:

Human

Cited:

Human, Mouse, Rat

Applications

Validated:

Immunohistochemistry, Western Blot, Neutralization, Simple Western

Cited:

Immunohistochemistry-Paraffin, Western Blot, Neutralization, Immunocytochemistry

Label

Unconjugated

Antibody Source

Polyclonal Goat IgG

Product Specifications

Immunogen

E. coli-derived recombinant human FGF acidic/FGF1
Phe16-Asp155
Accession # P05230

Specificity

Detects human FGF acidic/FGF1 in direct ELISAs and Western blots. In direct ELISAs, approximately 100% cross-reactivity with recombinant mouse FGF acidic/FGF1 is observed. Neutralizes the biological activity of rhFGF acidic/FGF1. It will also neutralize the biological activity of rh beta-ECGF and bovine FGF acidic/FGF1, although 2‑3 times the amount of IgG is required to neutralize bovine FGF acidic/FGF1 biological activity.

Clonality

Polyclonal

Host

Goat

Isotype

IgG

Endotoxin Level

<0.10 EU per 1 μg of the antibody by the LAL method.

Scientific Data Images for Human FGF acidic/FGF1 Antibody

Detection of Human FGF acidic/FGF1 antibody by Western Blot.

Detection of Human FGF acidic/FGF1 by Western Blot.

Western blot shows lysates of human brain (hypothalamas) tissue and human heart tissue. PVDF membrane was probed with 0.25 µg/mL of Goat Anti-Human FGF acidic/FGF1 Antigen Affinity-purified Polyclonal Antibody (Catalog # AF232) followed by HRP-conjugated Anti-Goat IgG Secondary Antibody (Catalog # HAF017). A specific band was detected for FGF acidic/FGF1 at approximately 16-17 kDa (as indicated). This experiment was conducted under reducing conditions and using Immunoblot Buffer Group 1.
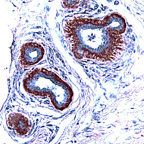
FGF acidic/FGF1 antibody in Human Breast by Immunohistochemistry (IHC-P).

FGF acidic/FGF1 in Human Breast.

FGF acidic/FGF1 was detected in immersion fixed paraffin-embedded sections of human breast using Goat Anti-Human FGF acidic/FGF1 Antigen Affinity-purified Polyclonal Antibody (Catalog # AF232) at 15 µg/mL overnight at 4 °C. Tissue was stained using the Anti-Goat HRP-DAB Cell & Tissue Staining Kit (brown; Catalog # CTS008) and counterstained with hematoxylin (blue). Specific staining was localized to epithelial cells. View our protocol for Chromogenic IHC Staining of Paraffin-embedded Tissue Sections.
Cell Proliferation Induced by FGF acidic/FGF1 and Neutralization by Human FGF acidic/FGF1 Antibody.

Cell Proliferation Induced by FGF acidic/FGF1 and Neutralization by Human FGF acidic/FGF1 Antibody.

Recombinant Human FGF acidic/FGF1 aa 16-155 (Catalog # 232-FA) stimulates proliferation in the the NR6R-3T3 mouse fibroblast cell line in a dose-dependent manner (orange line). Proliferation elicited by Recombinant Human FGF acidic/FGF1 aa 16-155 (0.75 ng/mL) is neutralized (green line) by increasing concentrations of Goat Anti-Human FGF acidic/FGF1 Antigen Affinity-purified Polyclonal Antibody (Catalog # AF232). The ND50 is typically < 2 µg/mL in the presence of heparin (10 µg/mL).

Applications for Human FGF acidic/FGF1 Antibody

Application
Recommended Usage

Immunohistochemistry

5-15 µg/mL
Sample: Immersion fixed paraffin-embedded sections of human breast

Simple Western

2.5 µg/mL
Sample: Human brain (hypothalamus) tissue

Western Blot

0.25 µg/mL
Sample: Human brain (hypothalamas) tissue and human heart tissue

Neutralization

Measured by its ability to neutralize FGF acidic/FGF1-induced proliferation in the NR6R‑3T3 mouse fibroblast cell line. Rizzino, A. et al. (1988) Cancer Res. 48:4266. The Neutralization Dose (ND50) is typically < 2 µg/mL in the presence of 0.75 ng/mL Recombinant Human FGF acidic/FGF1 aa 16‑155 and 10 µg/mL heparin.

Formulation, Preparation, and Storage

Purification

Antigen Affinity-purified

Reconstitution

Reconstitute at 0.2 mg/mL in sterile PBS. For liquid material, refer to CoA for concentration.

Reconstitution Buffer Available:
Size / Price
Qty
Loading...

Formulation

Lyophilized from a 0.2 μm filtered solution in PBS with Trehalose. *Small pack size (SP) is supplied either lyophilized or as a 0.2 µm filtered solution in PBS.

Shipping

Lyophilized product is shipped at ambient temperature. Liquid small pack size (-SP) is shipped with polar packs. Upon receipt, store immediately at the temperature recommended below.

Stability & Storage

Use a manual defrost freezer and avoid repeated freeze-thaw cycles.
  • 12 months from date of receipt, -20 to -70 °C as supplied.
  • 1 month, 2 to 8 °C under sterile conditions after reconstitution.
  • 6 months, -20 to -70 °C under sterile conditions after reconstitution.

Background: FGF acidic/FGF1

FGF acidic, also known as FGF1, ECGF, and HBGF-1, is a 17 kDa nonglycosylated member of the FGF family of mitogenic peptides. FGF acidic, which is produced by multiple cell types, stimulates the proliferation of all cells of mesodermal origin and many cells of neuroectodermal, ectodermal, and endodermal origin. It plays a number of roles in development, regeneration, and angiogenesis (1-3). Human FGF acidic shares 54% amino acid sequence identity with FGF basic and 17%‑33% with other human FGFs. It shares 92%, 96%, 96%, and 96% aa sequence identity with bovine, mouse, porcine, and rat FGF acidic, respectively, and exhibits considerable species crossreactivity. Alternate splicing generates a truncated isoform of human FGF acidic that consists of the N-terminal 40% of the molecule and functions as a receptor antagonist (4). During its nonclassical secretion, FGF acidic associates with S100A13, copper ions, and the C2A domain of synaptotagmin 1 (5). It is released extracellularly as a disulfide-linked homodimer and is stored in complex with extracellular heparan sulfate (6). The ability of heparan sulfate to bind FGF acidic is determined by its pattern of sulfation, and alterations in this pattern during embryogenesis thereby regulate FGF acidic bioactivity (7). The association of FGF acidic with heparan sulfate is a prerequisite for its subsequent interaction with FGF receptors (8, 9). Ligation triggers receptor dimerization, transphosphorylation, and internalization of receptor/FGF complexes (10). Internalized FGF acidic can translocate to the cytosol with the assistance of Hsp90 and then migrate to the nucleus by means of its two nuclear localization signals (11-13). The phosphorylation of FGF acidic by nuclear PKC delta triggers its active export to the cytosol where it is dephosphorylated and degraded (14, 15). Intracellular FGF acidic functions as a survival factor by inhibiting p53 activity and proapoptotic signaling (16).

References

  1. Jaye, M. et al. (1986) Science 233:541.
  2. Galzie, Z. et al. (1997) Biochem. Cell Biol. 75:669.
  3. Presta, M. et al. (2005) Cytokine Growth Factor Rev. 16:159.
  4. Yu, Y.L. et al. (1992) J. Exp. Med. 175:1073.
  5. Rajalingam, D. et al. (2007) Biochemistry 46:9225.
  6. Guerrini, M. et al. (2007) Curr. Pharm. Des. 13:2045.
  7. Allen, B.L. and A.C. Rapraeger (2003) J. Cell Biol. 163:637.
  8. Robinson, C.J. et al. (2005) J. Biol. Chem. 280:42274.
  9. Mohammadi, M. et al. (2005) Cytokine Growth Factor Rev. 16:107.
  10. Wiedlocha, A. and V. Sorensen (2004) Curr. Top. Microbiol. Immunol. 286:45.
  11. Wesche, J. et al. (2006) J. Biol. Chem. 281:11405.
  12. Imamura, T. et al. (1990) Science 249:1567.
  13. Wesche, J. et al. (2005) Biochemistry 44:6071.
  14. Wiedlocha, A. et al. (2005) Mol. Biol. Cell 16:794.
  15. Nilsen, T. et al. (2007) J. Biol. Chem. 282:26245.
  16. Bouleau, S. et al. (2005) Oncogene 24:7839.

Long Name

Fibroblast Growth Factor acidic

Alternate Names

alpha-ECGF, beta-ECGF, FGF acidic, FGF-1, HBGF-1

Entrez Gene IDs

2246 (Human); 14164 (Mouse); 25317 (Rat); 281160 (Bovine)

Gene Symbol

FGF1

UniProt

Additional FGF acidic/FGF1 Products

Product Documents for Human FGF acidic/FGF1 Antibody

Certificate of Analysis

To download a Certificate of Analysis, please enter a lot number in the search box below.

Note: Certificate of Analysis not available for kit components.

Product Specific Notices for Human FGF acidic/FGF1 Antibody

For research use only

Loading...
Loading...
Loading...
Loading...