Skip to main content

Key Product Details

Species Reactivity

Validated:

Human

Cited:

Human

Applications

Validated:

Immunohistochemistry, Western Blot, Simple Western

Cited:

Immunohistochemistry-Paraffin, Western Blot, ELISA Detection

Label

Unconjugated

Antibody Source

Polyclonal Goat IgG

Product Specifications

Immunogen

Mouse myeloma cell line NS0-derived recombinant human Fetuin A/AHSG

Specificity

Detects human Fetuin A in direct ELISAs and Western blots. In direct ELISAs, less than 5% cross-reactivity with recombinant mouse Fetuin A and recombinant rat Fetuin A is observed.

Clonality

Polyclonal

Host

Goat

Isotype

IgG

Scientific Data Images for Human Fetuin A/AHSG Antibody

Detection of Human Fetuin A/AHSG antibody by Western Blot.

Detection of Human Fetuin A/AHSG by Western Blot.

Western blot shows human plasma. PVDF membrane was probed with 0.1 µg/mL of Goat Anti-Human Fetuin A/AHSG Antigen Affinity-purified Polyclonal Antibody (Catalog # AF1184) followed by HRP-conjugated Anti-Goat IgG Secondary Antibody (Catalog # HAF017). A specific band was detected for Fetuin A/AHSG at approximately 55 kDa (as indicated). This experiment was conducted under reducing conditions and using Immunoblot Buffer Group 1.
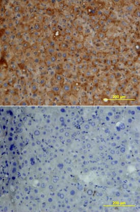
Fetuin A/AHSG antibody in Human Liver by Immunohistochemistry (IHC-P).

Fetuin A/AHSG in Human Liver.

Fetuin A/AHSG was detected in immersion fixed paraffin-embedded sections of human liver array using Goat Anti-Human Fetuin A/AHSG Antigen Affinity-purified Polyclonal Antibody (Catalog # AF1184) at 15 µg/mL overnight at 4 °C. Tissue was stained using the Anti-Goat HRP-DAB Cell & Tissue Staining Kit (brown; Catalog # CTS008) and counterstained with hematoxylin (blue). Lower panel shows a lack of labeling if primary antibodies are omitted and tissue is stained only with secondary antibody followed by incubation with detection reagents. View our protocol for Chromogenic IHC Staining of Paraffin-embedded Tissue Sections.

Detection of Human Fetuin A/AHSG by Simple WesternTM.

Simple Western lane view shows lysates of HepG2 human hepatocellular carcinoma cell line, Human Liver, loaded at 0.2 mg/mL. A specific band was detected for Fetuin A/AHSG at approximately 63 kDa (as indicated) using 2.5 µg/mL of Goat Anti-Human Fetuin A/AHSG Antigen Affinity-purified Polyclonal Antibody (Catalog # AF1184) . This experiment was conducted under reducing conditions and using the 12-230 kDa separation system.

Applications for Human Fetuin A/AHSG Antibody

Application
Recommended Usage

Immunohistochemistry

5-15 µg/mL
Sample: Immersion fixed paraffin-embedded sections of human liver

Simple Western

2.5 µg/mL
Sample: HepG2 human hepatocellular carcinoma cell line and Human Liver

Western Blot

0.1 µg/mL
Sample: Human plasma

Formulation, Preparation, and Storage

Purification

Antigen Affinity-purified

Reconstitution

Reconstitute at 0.2 mg/mL in sterile PBS. For liquid material, refer to CoA for concentration.

Reconstitution Buffer Available:
Size / Price
Qty
Loading...

Formulation

Lyophilized from a 0.2 μm filtered solution in PBS with Trehalose. *Small pack size (SP) is supplied either lyophilized or as a 0.2 µm filtered solution in PBS.

Shipping

Lyophilized product is shipped at ambient temperature. Liquid small pack size (-SP) is shipped with polar packs. Upon receipt, store immediately at the temperature recommended below.

Stability & Storage

Use a manual defrost freezer and avoid repeated freeze-thaw cycles.
  • 12 months from date of receipt, -20 to -70 °C as supplied.
  • 1 month, 2 to 8 °C under sterile conditions after reconstitution.
  • 6 months, -20 to -70 °C under sterile conditions after reconstitution.

Background: Fetuin A/AHSG

Human Fetuin A, also known as alpha2-Heremans-Schmid glycoprotein, is encoded by the AHSG gene. It is a major plasma protein and a member of the cystatin superfamily of protease inhibitors (1, 2). It is expressed by hepatocytes, the principal cell source, and by monocyte/macrophages (3). The major form of plasma Fetuin A corresponds to a disulfide bond-linked two chains derived from the single chain (4). Human Fetuin A has a number of functions. It is a negative acute-phase protein with normal circulating levels in adults (300-600 μg/mL), which fall significantly (30-50%) during injury and infection (5). It enhances entry of cationic inhibitors into macrophages (6). It inhibits both insulin receptor autophosphorylation and undesirable calcification (6, 7). The purified rhFetuin A corresponds to the single chain, which can be converted to the two-chain form by rhFurin (R&D Systems, Catalog # 1503-SE) in vitro. However, the conversion does not enhance its inhibitory activity against rhCathpesin V, a cysteine protease.

References

  1. Kellemann, J. et al. (1989) J. Biol. Chem. 264:14121.
  2. Dziegielewska, K.M. et al. (1990) J. Biol. Chem. 265:4354.
  3. Dziegielewska, K.M. et al. (1996) Histochem. Cell Biol. 106:319.
  4. Gejyo, F. and K. Schmid (1981) Biochim. Biophys. Acta. 671:78.
  5. Wang, H. et al. (1998) Proc. Natl. Acad. Sci. USA 95:14429.
  6. Mathews, S.T. et al. (2000) Mol. Cell Endocrinol. 164:87.
  7. Schäfer, C. et al. (2003) J. Clin. Invest. 112:357.

Long Name

alpha-2-HS Glycoprotein

Alternate Names

AHSG, alpha-2-HS-glycoprotein

Entrez Gene IDs

197 (Human); 11625 (Mouse); 25373 (Rat)

Gene Symbol

AHSG

Additional Fetuin A/AHSG Products

Product Documents for Human Fetuin A/AHSG Antibody

Certificate of Analysis

To download a Certificate of Analysis, please enter a lot number in the search box below.

Note: Certificate of Analysis not available for kit components.

Product Specific Notices for Human Fetuin A/AHSG Antibody

For research use only

Loading...
Loading...
Loading...
Loading...