Skip to main content

Key Product Details

Species Reactivity

Validated:

Human

Cited:

Human, Mouse

Applications

Validated:

Immunohistochemistry, Western Blot, ELISA, Simple Western

Cited:

Immunohistochemistry, Western Blot, Immunocytochemistry

Label

Unconjugated

Antibody Source

Polyclonal Goat IgG

Product Specifications

Immunogen

E. coli-derived recombinant human FABP4/A‑FABP
Cys2-Ala132
Accession # P15090

Specificity

Detects human FABP4/A‑FABP in direct ELISAs and Western blots. In direct ELISAs, approximately 60% cross-reactivity with recombinant mouse (rm) FABP4 is observed, approximately 30% cross‑reactivity with recombinant human (rh) FABP3 is observed, and less than 5% cross‑reactivity with rhFABP1, -2, -5, -6, -7, -8, -9, and rmFABP9 is observed.

Clonality

Polyclonal

Host

Goat

Isotype

IgG

Scientific Data Images for Human FABP4/A-FABP Antibody

Detection of Human, Mouse, and Rat FABP4/A-FABP antibody by Western Blot.

Detection of Human, Mouse, and Rat FABP4/A‑FABP by Western Blot.

Western blot shows lysates of human heart tissue, rat heart tissue, mouse heart tissue, human adipose tissue, rat adipose tissue, and mouse adipose tissue. PVDF membrane was probed with 1 µg/mL of Goat Anti-Human FABP4/A-FABP Antigen Affinity-purified Polyclonal Antibody (Catalog # AF3150) followed by HRP-conjugated Anti-Goat IgG Secondary Antibody (HAF019). A specific band was detected for FABP4/A-FABP at approximately 14 kDa (as indicated). This experiment was conducted under reducing conditions and using Immunoblot Buffer Group 1.
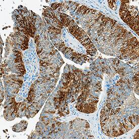
FABP4/A-FABP antibody in Human Bladder Cancer Tissue by Immunohistochemistry (IHC-P).

FABP4/A‑FABP in Human Bladder Cancer Tissue.

FABP4/A-FABP was detected in immersion fixed paraffin-embedded sections of human bladder cancer tissue using Goat Anti-Human FABP4/A-FABP Antigen Affinity-purified Polyclonal Antibody (Catalog # AF3150) at 3 µg/mL overnight at 4 °C. Tissue was stained using the Anti-Goat HRP-DAB Cell & Tissue Staining Kit (brown; CTS008) and counterstained with hematoxylin (blue). Specific staining was localized to cytoplasm. View our protocol for Chromogenic IHC Staining of Paraffin-embedded Tissue Sections.
Detection of Human and Mouse FABP4/A-FABP antibody by Simple WesternTM.

Detection of Human and Mouse FABP4/A‑FABP by Simple WesternTM.

Simple Western lane view shows lysates of human heart tissue and mouse heart tissue, loaded at 0.2 mg/mL. A specific band was detected for FABP4/A-FABP at approximately 19 kDa (as indicated) using 10 µg/mL of Goat Anti-Human FABP4/A-FABP Antigen Affinity-purified Polyclonal Antibody (Catalog # AF3150) followed by 1:50 dilution of HRP-conjugated Anti-Goat IgG Secondary Antibody (Catalog # HAF109). This experiment was conducted under reducing conditions and using the 12-230 kDa separation system.

Applications for Human FABP4/A-FABP Antibody

Application
Recommended Usage

ELISA

This antibody functions as an ELISA detection antibody when paired with Rat Anti-Human/Mouse FABP4/A‑FABP Monoclonal Antibody (Catalog # MAB3150).

This product is intended for assay development on various assay platforms requiring antibody pairs. We recommend the Human FABP4/A-FABP DuoSet ELISA Kit (Catalog # DY3150-05) for convenient development of a sandwich ELISA or the Human FABP4 Quantikine ELISA Kit (Catalog # DFBP40) for  a complete optimized ELISA.

Immunohistochemistry

5-15 µg/mL
Sample: Immersion fixed paraffin-embedded sections of human normal adipose, normal heart, and bladder cancer tissue

Simple Western

10 µg/mL
Sample: Human heart tissue and mouse heart tissue

Western Blot

1 µg/mL
Sample: Human heart tissue, rat heart tissue, mouse heart tissue, human adipose tissue, rat adipose tissue, and mouse adipose tissue

Reviewed Applications

Read 1 review rated 4 using AF3150 in the following applications:

Formulation, Preparation, and Storage

Purification

Antigen Affinity-purified

Reconstitution

Reconstitute at 0.2 mg/mL in sterile PBS. For liquid material, refer to CoA for concentration.

Reconstitution Buffer Available:
Size / Price
Qty
Loading...

Formulation

Lyophilized from a 0.2 μm filtered solution in PBS with Trehalose. *Small pack size (SP) is supplied either lyophilized or as a 0.2 µm filtered solution in PBS.

Shipping

Lyophilized product is shipped at ambient temperature. Liquid small pack size (-SP) is shipped with polar packs. Upon receipt, store immediately at the temperature recommended below.

Stability & Storage

Use a manual defrost freezer and avoid repeated freeze-thaw cycles.
  • 12 months from date of receipt, -20 to -70 °C as supplied.
  • 1 month, 2 to 8 °C under sterile conditions after reconstitution.
  • 6 months, -20 to -70 °C under sterile conditions after reconstitution.

Background: FABP4/A-FABP

FABP4, also known as adipocyte P2 and A-FABP (adipocyte FABP), is a FABP family member that is expressed in adipocytes and monocyte-derived foam cells. It is a lipid transport protein that binds long chain fatty acid and retinoic acid. Human and mouse FABP4 share 91% amino acid sequence homology.

Long Name

Fatty Acid-Binding Protein 4

Alternate Names

A-FABP, AFABP, aP2

Entrez Gene IDs

2167 (Human); 11770 (Mouse); 79451 (Rat)

Gene Symbol

FABP4

UniProt

Additional FABP4/A-FABP Products

Product Documents for Human FABP4/A-FABP Antibody

Certificate of Analysis

To download a Certificate of Analysis, please enter a lot number in the search box below.

Note: Certificate of Analysis not available for kit components.

Product Specific Notices for Human FABP4/A-FABP Antibody

For research use only

Loading...
Loading...
Loading...
Loading...